Kristjana Ásbjörnsdóttir
banner
kristjana.bsky.social
Kristjana Ásbjörnsdóttir
@kristjana.bsky.social
Epidemiologist, feminist, lottery immigrant 🇮🇸🇺🇸, nerd. She/her.
Associate Prof at University of Iceland via University of Washington.
Goddamnit, you've got to be kind.
Reposted by Kristjana Ásbjörnsdóttir
Vaccine-preventable diseases, however, DO cause child deaths. Today, in high-income countries with excellent health care. Measles doesn’t have a cure or specific treatment. When complications arise, only supportive care is available; most kids recover, some don’t. Some do and die later.
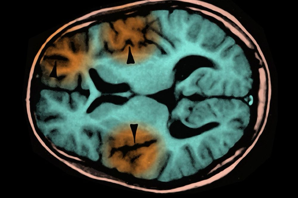
Measles in the Brain Can Kill Years after Infection, Child’s Death Shows
A child in Los Angeles County has died from a rare but always fatal brain disorder that develops years after a measles infection. Experts underscore the need for vaccination to protect the most vulner...
www.scientificamerican.com
November 20, 2025 at 8:51 AM
This will kill kids. Anyone with a conscience would have been chastened by the deaths his disinformation contributed to in Samoa, but RFK Jr lied under oath for the chance to scale up his efforts.
November 20, 2025 at 7:55 AM
Reposted by Kristjana Ásbjörnsdóttir
Apparently RFK Jr. promised Senator Bill Cassidy that he wouldn’t remove the statement

“Vaccines do not cause autism” from the CDC website.

So what RFK Jr. did instead is spit in his face by leaving the statement there and adding this:
November 20, 2025 at 4:53 AM
In my field we don’t tend to interpret a trend as”boosting” anything if our prediction intervals go from “everything is awesome” to “we all die”.
AI could end scarcity, end humanity - or boost trend growth by 0.2 percentage points
November 8, 2025 at 9:18 PM
Reposted by Kristjana Ásbjörnsdóttir
A terrorist targeted federal workers last week. There wasn’t much reporting on it. But I’m not finished thinking about it! 🧵

An anti-vaxxer fired more than 500 gunshots into CDC Atlanta, shattering 150 “blast-proof” windows on 6 buildings. Employees were pinned down in terror.
August 17, 2025 at 1:35 AM
We wanted the robots to *do* the manual labor jobs and free us up for other pursuits. Not do our thinking and creating so we could all go back to the mines.
“Humans can just go get manual labor jobs if desk jobs are repaired with AI” is both not going to suffice to provide enough jobs and is also going to result in massive societal anger because manual labor jobs often *are terrible*, which is why people have worked hard to avoid them for generations.
Even if society provided the food/shelter level needs for everyone, humans also need to perform useful work just for basic fulfillment. The vast majority of people cannot sit around all day letting AI and robots do everything.

(The definition of “useful work” here is malleable but still essential)
November 2, 2025 at 8:23 PM
Reposted by Kristjana Ásbjörnsdóttir
Dr. Peter Hotez: RFK Jr.'s take on autism is 'increasingly untethered to reality'…

www.houstonchronicle.com/opinion/outl...
'Absurd': Hotez responds to RFK Jr. claims of autism-circumcision link
RFK Jr.'s statements about autism are “increasingly untethered to reality,” says Peter Hotez.
www.houstonchronicle.com
October 12, 2025 at 1:09 AM
Reposted by Kristjana Ásbjörnsdóttir
The acting CDC Director has no knowledge, training or experience in science/public health. Trump has no knowledge, training or experience in science/public health.

Both are calling to make the MMR vaccine into 3 separate shots, which makes absolutely no scientific or public health sense.
Acting CDC boss wants to break up MMR vaccine into three shots
Jim O’Neill joins President Donald Trump’s call for three distinct measles, mumps and rubella shots, claiming a separation would ‘reduce the risk of side effects’ and ‘maximize parental choice’
www.independent.co.uk
October 9, 2025 at 1:01 AM
Reposted by Kristjana Ásbjörnsdóttir
Decades of research have found that acetaminophen is safe for children when administered as recommended. Misleading claims link the medicine to autism. These false claims send a dangerous message to parents and does a disservice to autistic individuals. www.aap.org/en/news-room...
September 23, 2025 at 9:25 PM
Reposted by Kristjana Ásbjörnsdóttir
Really cool, conceptually simple approach here: cross-referencing grant proposal scores with literature citations and explicit acknowledgments in drug patents to identify patents linked to projects that wouldn't have been funded given a smaller budget
September 25, 2025 at 9:32 PM
Reposted by Kristjana Ásbjörnsdóttir
NEW: Nature trained AI to predict which NIH grants from 2014 would have been cut if the Trump admin had its way back then — and what science would have been lost to history.

"The results show the damage that cuts in funding can do to research, and the unpredictable nature of the research process."
September 25, 2025 at 2:49 PM
Reposted by Kristjana Ásbjörnsdóttir
This ought to be engraved somewhere.
September 23, 2025 at 2:56 AM
This is the core of the wellness industry’s and RFK’s philosophy on illness generally. If health is fully within individual control, then the responsibility for disease or disability is our own, so why should the government help?
Whether they're blaming vaccines and Tylenol, or selling dubious "remedies," what they're really doing is promoting the perception that families (and especially mothers) can prevent and treat Autism. And thus also the perception that people with Autism and their families don't need social support.
September 23, 2025 at 10:48 AM
Ah yes. The true cause of autism, “liquid”.
Trump: "It's too much liquid. Too many different things are going into that baby at too big a number. The size of this thing when you look at it. It's like 80 different vaccines and beyond vaccines."
September 23, 2025 at 10:32 AM
Sure, yeah, quiet part loud. Next let’s make RFK Jr the Secretary of Sickness.
Trump: "We decided to go woke and we changed the name to Department of Defense. So we're going to Department of War ... I think it's a much more appropriate name especially in light of where the world is right now."
September 5, 2025 at 8:43 PM
Reposted by Kristjana Ásbjörnsdóttir
Sen. Bill Cassidy: "Do you agree with me that President Trump deserves a Nobel Prize for Operation Warp Speed?"

RFK: "Absolutely."

Sen. Bill Cassidy: "But you just told Sen. Bennet that the Covid vaccine killed more people than Covid?"
September 4, 2025 at 5:13 PM
Reposted by Kristjana Ásbjörnsdóttir
I miss the old brand #CDC
August 28, 2025 at 10:00 PM
Reposted by Kristjana Ásbjörnsdóttir
Kennedy today in cabinet meeting: "We’re finding interventions, certain interventions now that are clearly almost certainly causing autism, and we’re going to be able to address those in September."

We already know he's employed grifters to implicate vaccines. Get them while you can.
August 26, 2025 at 9:27 PM
Reposted by Kristjana Ásbjörnsdóttir
this pretty much sums it up www.theguardian.com/us-news/2025...
August 21, 2025 at 3:05 PM
Reposted by Kristjana Ásbjörnsdóttir
this work saved millions of lives in 2021, won the Nobel Prize in 2023, and is cancelled in 2025
"The U.S. Department of Health and Human Services (HHS) today announced the beginning of a coordinated wind-down of its mRNA vaccine development activities...."

cc: Sen. Bill Cassidy
August 5, 2025 at 9:58 PM
Reposted by Kristjana Ásbjörnsdóttir
"we reviewed the science"

lie.
August 5, 2025 at 9:37 PM
You’ve got to be KIDDING me! mRNA vaccines have prevented millions of Covid deaths. mRNA vaccines have since shown great promise against HIV and cancer. So of course RFK Jr’s aggressive ignorance demands he destroy their progress.
"The U.S. Department of Health and Human Services (HHS) today announced the beginning of a coordinated wind-down of its mRNA vaccine development activities...."

cc: Sen. Bill Cassidy
August 5, 2025 at 10:16 PM
Reposted by Kristjana Ásbjörnsdóttir
A fun reminder that a loss of 60,000 jobs in and around academia is ~50% more than all coal mining jobs in the entire country.
The US could see a 30-40% decline in new international student enrollment, resulting in nearly $7 billion in lost revenue and more than 60,000 fewer American jobs. https://www.nafsa.org/fall-2025-international-student-enrollment-outlook-and-economic-impact
August 4, 2025 at 12:02 AM
Proud to announce the results of the DeWorm3 trial are out in @thelancet.com today! This study was a mammoth. Three study sites, collaborators in seven countries, hundreds of personnel, hundreds of thousands of participants, a million-ish doses of albendazole.
Feasibility of interrupting the transmission of soil-transmitted helminths: the DeWorm3 community cluster-randomised controlled trial in Benin, India, and Malawi
Soil-transmitted helminths are targeted for elimination as a public health problem. This study assessed whether, with high coverage, community-wide ma…
www.sciencedirect.com
August 1, 2025 at 9:00 PM
I’m trying to access my SSA account from abroad and have had to jump through so many hoops I stopped a couple of times to make sure I was on the real site and not in the process of having my identity stolen. Now locked out because my phone number changed five years ago. This feels deliberate.
July 29, 2025 at 9:34 AM