INMED
banner
inmed.bsky.social
INMED
@inmed.bsky.social
Institute of Neurobiology of the Mediterranean sea located in Marseille, France. We study brain development, plasticity and associated disorders.
Reposted by INMED
Happy to see our recent work with @juliekoeniggambini.bsky.social on hippocampal distance coding featured in today’s issue of “La Provence” @inserm.fr @insermpacacorse.bsky.social @univ-amu.fr @inmed.bsky.social
October 21, 2025 at 2:18 PM
Reposted by INMED
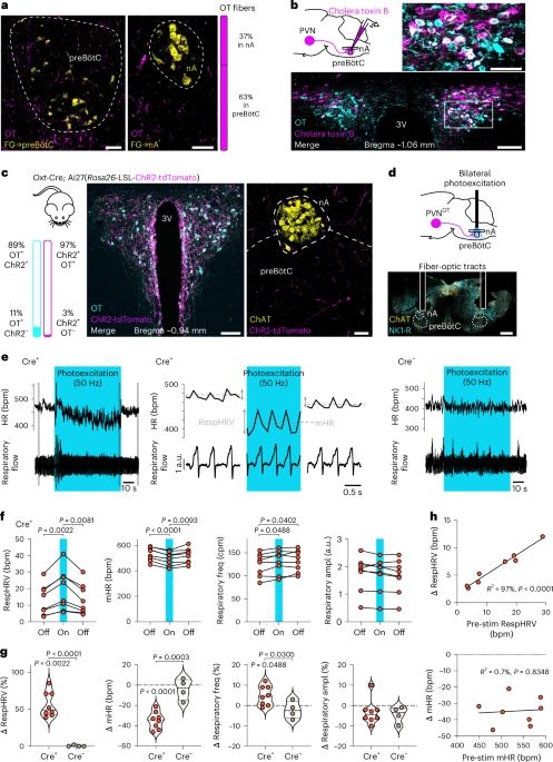
Paper alert!
I’m very pleased to announce the publication of my PhD work, which I carried out under the amazing supervision of Clément Menuet at @inmed.bsky.social
!
Link to the paper in @natneuro.nature.com: www.nature.com/articles/s41...

#RespHRV #oxytocin #RSA #brainstem #HRV
Oxytocin modulates respiratory heart rate variability through a hypothalamus–brainstem–heart neuronal pathway - Nature Neuroscience
Buron et al. show that oxytocin enhances heart rate variability linked to breathing during recovery from stress. This calming and cardio-protective effect is produced through a hypothalamus–brainstem ...
www.nature.com
October 21, 2025 at 7:26 AM
Reposted by INMED
📢 [PARUTION] "QUI VEUT LA PEAU DE LA SCIENCE?"
Un numéro spécial du @le1hebdo.bsky.social, conçu avec amU, à l’occasion du Festival des Sciences et des Arts "Science & croyances" (16–20 sept).
September 10, 2025 at 10:00 AM
Reposted by INMED
Dear colleagues, we have an open PhD position in computational neuroscience - spatial memory models and intracranial recordings - fully funded. Re-advertised, candidates are ideally available in the near future. A collab. with 4 labs. Apply here: tinyurl.com/yc84ctap
PhD position or a Doctoral Candidate in computational neuroscience. (m/f/d) | Karriereportal Max-Planck-Institut für Kognitions- und Neurowissenschaften
PhD position or a Doctoral Candidate in computational neuroscience. (m/f/d) | Karriereportal Max-Planck-Institut für Kognitions- und Neurowissenschaften
tinyurl.com
September 8, 2025 at 1:00 PM
Reposted by INMED
Happy to share our new paper with Mathilde Nordlund and Julie Koenig out @currentbiology.bsky.social. We used virtual reality in mice to study hippocampal distance coding. Our results suggest a primary contribution of grid cells to distance over cue-dependent place cell coding.
shorturl.at/63yFo
September 11, 2025 at 1:23 PM
📣 New paper out ! An international expert recommendation led by Clément Menuet (Inmed) and Alexander Gourine (UCL) to redefine “respiratory sinus arrhythmia” as “respiratory heart rate variability”.
@inmed.bsky.social @ccmnlondon.bsky.social @univamu.fr @insermpacacorse.bsky.social

rdcu.be/ekUMa
Redefining respiratory sinus arrhythmia as respiratory heart rate variability: an international Expert Recommendation for terminological clarity
Nature Reviews Cardiology - The physiological phenomenon whereby heart rate varies in phase with breathing in vertebrates has been known as ‘respiratory sinus arrhythmia’. In this...
rdcu.be
June 5, 2025 at 12:19 PM
New work from Elodie Fino's team Striatal SOM interneurons set the pace of early motor learning by shaping initial learning through network-level remodeling with S. Rotariu, G. Zalcman and @elofino.bsky.social
@inmed.bsky.social @univamu.fr @insermpacacorse.bsky.social
shorturl.at/zxpwW
Somatostatin interneurons select dorsomedial striatal representations of the initial motor learning phase
The dorsomedial striatum (DMS) is an associative node involved in the initial formation of motor sequences and the adaptation of ongoing actions. Duri…
www.sciencedirect.com
May 28, 2025 at 1:07 PM
Reposted by INMED
🔴 New deadline!
You have until March 27 included to submit an abstract for a poster presentation at #NeuroFrance2025

Don't miss this great opportunity to present your research to a broad multidisciplinary audience

Registration & abstract submission: www.neurosciences.asso.fr/SN25/
March 14, 2025 at 9:23 AM
Reposted by INMED
🌊 Nestled in the heart of the Calanques of Marseille, the IBDM offers an exceptional work environment 🌿✨

🔬 Conduct research with a sea view
🌞 Work in an inspiring natural setting
🌍 Combine scientific excellence with quality of life

Join us as a Group Leader: https://tinyurl.com/ukf2rn2x
March 14, 2025 at 9:02 AM
Reposted by INMED
Our university @univ-amu.fr has launch an initiative to welcome scientists from the US🇺🇸 See details below 👇 DM me if interested to join @inmed.bsky.social
March 14, 2025 at 10:37 AM
Reposted by INMED
Reminder that @europepmc.org is a mirror of Pubmed with better search and that it indexes *all* bioRxiv preprints (as well as ResearchSquare), not just the ones funded by NIH like chauvinist Pubmed
I’m very scared to see what happens to PubMed
January 31, 2025 at 8:44 PM
Reposted by INMED
Want to do a PhD? Are you interested in cortical development and how altered cortical development leads to epilepsy? 🧠⚡

Come and work with us in Marseille at @inmed.bsky.social

Apply to Neuroschool PhD program for international students @neuromarseille.bsky.social

www.fens.org/careers/job-...
PhD position - Multimodal profiling of epilepsy onset and progression in preclinical models of cortical malformations - Federation of European Neuroscience Societies
www.fens.org
March 11, 2025 at 3:30 PM
Reposted by INMED
Our crew from @inmed.bsky.social together with many researchers from @univ-amu.fr standing up for science in front of the natural history museum in Marseille today.
March 7, 2025 at 3:31 PM
Reposted by INMED
⚠️2025 NeuroPSI call for new group leaders
▶️ We are open to a wide range of research topics, from molecules to cognition and from embryo to adult.
▶️ We offer generous lab and office space.
▶️ Junior and mid-career scientists: apply before May the 30th!

Learn more: neuropsi.cnrs.fr/ao2025/
Offres nouvelles équipes - Institut des Neurosciences Paris‑Saclay
Appel pour de nouveaux chefs d'équipes à l'Institut NeuroPSI.
neuropsi.cnrs.fr
March 3, 2025 at 8:08 AM
Reposted by INMED
Science does matter! The French Neuroscience Society signs @fens.org statement👇
📣 Science matters!

#FENS and its allies unite in solidarity with the U.S. scientific community facing challenges to research, collaboration, and academic freedom. 🔬

🔗 Read the full statement: loom.ly/cn7vJR4

#sciencematters #standupforscience #sciencenotsilence #scienceforall
March 5, 2025 at 2:21 PM
Reposted by INMED
Rendez-vous vendredi 7 mars ⤵️
Rassemblement à Marseille à 12h devant le Museum d'Histoire Naturelle au Palais Longchamp.
Toutes les infos ici : www.univ-amu.fr/fr/public/ac...
March 5, 2025 at 5:06 PM
Reposted by INMED
📢 Mobilisons-nous pour les Sciences le 7 mars ! 🌟

En écho à la journée Stand Up for Science initiée aux États-Unis, Aix Marseille Université, appelle à des actions de mobilisation le 7 mars !
March 5, 2025 at 5:06 PM
New from the Cossart lab: Tracking the activity of a hundred neurons for weeks during early postnatal development with the Track-2P algorithm by Jure Manjik @juremaj.bsky.social, Jean-Claude Platel, Rosa Cossart and colleagues

Congrats to all !

@univ-amu.fr @insermpacacorse.bsky.social
How does a neuron get its activity? 👀

Check out our latest preprint, where we tracked the activity of the same neurons throughout early postnatal development: www.biorxiv.org/content/10.1...

see 🧵 (1/?)
March 3, 2025 at 2:26 PM
New work from @antoinedechevigny.bsky.social and colleagues from @inmed.bsky.social
@univ-amu.fr @insermpacacorse.bsky.social

Fantastic atlas of the evolution of ligand-receptor interactions between cortical neuronal subtypes during mouse development
Congrats Antoine !
Delighted to showcase our atlas for the inference of ligand-receptor mediated interactions between neuronal subtypes during mouse cortex development. Herculean endeavor by former PhD student Rémi Mathieu (now @alleninstitute.bsky.social) and team, in collaboration with
@LudovicTelley

Thread
🧵
February 28, 2025 at 1:26 PM
Reposted by INMED
Do you do Neuropixel recordings and are you struggling with preprocessing? I'm introducing the Power Pixels Pipeline! An end-to-end pipeline from raw data to single neurons in Allen Atlas brain regions.

Github 👉 github.com/NeuroNetMem/...

Read more 👇🧵
#neuroscience
GitHub - NeuroNetMem/PowerPixelsPipeline
Contribute to NeuroNetMem/PowerPixelsPipeline development by creating an account on GitHub.
github.com
November 13, 2024 at 10:33 AM
Reposted by INMED
The CSHL Ion Channels in Synaptic & Neural Circuit Physiology course applications are open.

meetings.cshl.edu/courses.aspx...

Hands-on training in patch-clamp, Neuropixels, and optogenetics. Daily lectures and data sessions ensure you leave ready to run experiments.

❗Deadline: March 1.
Ion Channels in Synaptic & Neural Circuit Physiology
Cold Spring Harbor Laboratory Meetings & Courses -- a private, non-profit institution with research programs in cancer, neuroscience, plant biology, genomics, bioinformatics.
meetings.cshl.edu
February 12, 2025 at 7:22 AM
Reposted by INMED
✨ Fierté ! J'ai eu l'honneur incroyable de prêter ma voix à la vidéo de présentation de l' @academiesciences.bsky.social ! 🎙️

Merci l’Académie des sciences pour cette confiance et merci @grandlabo.com d'avoir permis ça 🙏
🎬 L'Académie des sciences comme vous ne l’avez jamais vue ! 🔬✨
L’Académie des sciences dévoile son nouveau film institutionnel, une plongée inédite au cœur de cette institution emblématique.
www.youtube.com/watch?v=FVxy...
L'Académie des sciences comme vous ne l’avez jamais vue !
YouTube video by Académie des sciences
www.youtube.com
February 12, 2025 at 1:36 PM
Congrats Hugh !
Introducing our next Early Career Scientist Grant winner - Hugh Takemoto of INMED, France! 🎉

Hugh is a PhD student in Ede Rancz’s lab who told us how the $500 grant will support his attendance at a GRC conference in Switzerland: ow.ly/HqEl50USu4x

#sciencefunding #lifescientists #lifescience
Meet our Early Career Scientist Grant Winner Hugh Takemoto
Introducing Hugh Takemoto, the latest winner of our monthly Early Career Scientist Grant! Hugh is a PhD student working at the Institut de Neurobiologie de la Méditerranée (INMED) in Marseille, France...
ow.ly
February 4, 2025 at 7:15 PM
Nice discussion with @davidrobbe.bsky.social in the Brain Inspired podcast about "Why our brain doesn't measure time ?" youtu.be/vvmPE4r1GlM
BI 204 David Robbe: Your Brain Doesn't Measure Time
YouTube video by Brain Inspired
youtu.be
January 30, 2025 at 4:00 PM