Neil Neumann MD, PhD
banner
neilneumann.bsky.social
Neil Neumann MD, PhD
@neilneumann.bsky.social
Physician-scientist dermatopathologist studying melanoma metastasis. Clinical instructor and postdoctoral fellow at Rockefeller University in the Tavazoie Lab; Research fellow in the dermatopathology division at MSKCC.
Reposted by Neil Neumann MD, PhD
EXCITED to share my PhD work in @cellpress.bsky.social. We found that the chance of developing metastasis is partly decided by the DNA we inherited. We identified a germline variant in PCSK9 present in 70% of the white women conferring higher risk of breast cancer metastasis. (1/9)
December 9, 2024 at 7:52 PM
Reposted by Neil Neumann MD, PhD
Skin Cancer Research: Melanoma and beyond. A space for patient advocates, scientists, physicians, institutions, and journals dedicated to advancing skin cancer research. 🧫🧑‍🔬🔬

Leave a comment and let me know if you'd like to join!

#Cure #SkinCancer #Research

go.bsky.app/2wqZKrA
December 8, 2024 at 2:28 PM
Reposted by Neil Neumann MD, PhD
Ok #medsky, here's my first attempt at a #dermsky #starterpack! Join us and follow along for all those interested in skin health, fun, and chatter!

Let me know if I missed someone so I can add them on here!

go.bsky.app/AkuEjW
November 19, 2024 at 12:13 AM
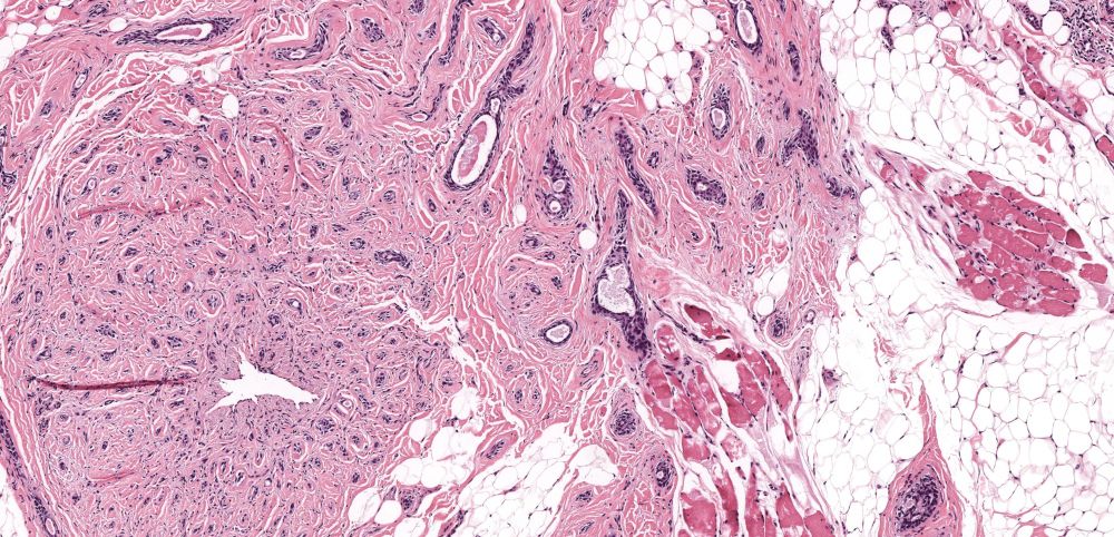
T-cell Tuesday

71M presents with red patches on legs which generalized over 2 yrs. Initially responded to tx followed by presentation 2 yrs later with multiple nodules distributed over his body. Here is a right axilla punch biopsy.

Your diagnosis? Which stains would you like to see?
November 26, 2024 at 4:55 PM
Reposted by Neil Neumann MD, PhD
Have made a melanoma starter pack for people interested in melanoma - let me know if you want to be added

go.bsky.app/CVcGfDd
November 15, 2024 at 7:18 AM
Reposted by Neil Neumann MD, PhD
Calling all metastasis researchers - don't forget to join us for our next webinar on Dec 3rd as Dr. Nathan Reticker-Flynn discusses "Lymph node metastasis and the orchestration of adaptive immune responses to tumors". Sign-up today! us02web.zoom.us/webinar/regi...
November 20, 2024 at 8:15 PM
Reposted by Neil Neumann MD, PhD
Truly brilliant work. Calling it a foundation model is a stretch (a mistake many people in the field make). But, the only single-cell AI model in its class that I think is worth the GPU energy expended and one that I excited to utilize. My stamp of approval. www.nature.com/articles/s41...
A cell atlas foundation model for scalable search of similar human cells - Nature
Nature - A cell atlas foundation model for scalable search of similar human cells
www.nature.com
November 22, 2024 at 10:34 PM
Reposted by Neil Neumann MD, PhD
Getting in on the starter pack game for folks focusing on studying tumor-immune interactions during metastasis — DM/comment if you want to be added!

go.bsky.app/GyZxUDH
November 21, 2024 at 6:28 PM
Reposted by Neil Neumann MD, PhD

Starting a list of oncology related peopl. Please tell me more to add. Or any similar listd go.bsky.app/GKXp9Fy @n8pennell.bsky.social
November 10, 2024 at 9:54 PM
ASDP now has Treasures from the Vault, with paired WSI and diagnosis. Wonderful resource!

Here is their first case - what's your diagnosis?
asdp-vsl.pathpresenter.net/public/prese...

#DermPath #PathSky
November 23, 2024 at 2:55 PM
Reposted by Neil Neumann MD, PhD
I haven’t seen a #pathsky starter pack yet! I’ve tried to keep up with all of the new pathologists joining, but I know I have missed many! Please tag yourselves/others below and I will follow them and add them 😁 @kmirza.bsky.social @clilleymd.bsky.social @brettkurpiel.bsky.social go.bsky.app/6bWDSjT
November 13, 2024 at 9:03 PM
Reposted by Neil Neumann MD, PhD
I didn't find a specific mechanotransduction starter pack, so I open one myself😊. There are still a lot of people to be added, but it's late, so please drop me a message or post here to nominate yourself for the Mechanotransduction community.

go.bsky.app/2PXf5SC
November 21, 2024 at 1:42 AM
Reposted by Neil Neumann MD, PhD
A growth, and then a metastasis, of cancer researchers (two starter packs)...

by @johannajoyce.bsky.social

bsky.app/starter-pack...

bsky.app/starter-pack...
November 23, 2024 at 12:06 PM
@mopathguy.bsky.social count me in for the pathologist starter pack. Thanks for organizing!
November 23, 2024 at 11:22 AM
Reposted by Neil Neumann MD, PhD
The human proteomic revolution proceeds with high-throughput assessment, AI analytics, correlation with health and disease, drug interactions, biomarkers
www.cell.com/cell/fulltex...
November 22, 2024 at 6:05 PM