Aaron DeVries
devries-aaron.bsky.social
Aaron DeVries
@devries-aaron.bsky.social
He/Him, Infectious Disease, Healthcare Leadership, Epidemiologist,🚴‍♂️enthusiast, personal account #IDSky #EpiSky
Reposted by Aaron DeVries
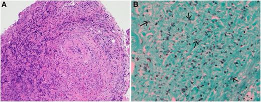
Interesting #OneHealth case: two die of histoplasmosis after using bat guano for fertilizer to grow cannabis.

#fungaldisease
“Exposure to bat guano among cannabis growers appears to be a recent trend that can lead to histoplasmosis cases and outbreaks….Commercial biofertilizers containing bat guano should be tested for H capsulatum before reaching the market.”

academic.oup.com/ofid/article...
Histoplasmosis Associated With Bat Guano Exposure in Cannabis Growers: 2 Cases
Abstract. Histoplasma capsulatum is a pathogenic dimorphic fungus with evolving epidemiology. Initially described as endemic to the Ohio and Mississippi ri
academic.oup.com
December 19, 2024 at 4:31 AM
Reposted by Aaron DeVries
Percentage of available positions that filled in yesterday’s fellowship match.
December 5, 2024 at 2:10 PM
Reposted by Aaron DeVries
🎉 We’re thrilled to welcome to our newest fellows who are joining us on this journey of advancing infectious diseases care, research, and education. 🌟 #MatchDay
December 4, 2024 at 9:27 PM
Reposted by Aaron DeVries
For my inaugural post, Im proud to announce the publication of our Safer@Home care model. This is going to change how medicine is practiced. No need to admit pts "for IV antibiotics" anymore. Or just for IV diuresis in CHF. Or just for EtOH withdrawal. Etc.
jamanetwork.com/journals/jam...
Virtual Home Care for Patients With Acute Illness
This cohort study compares outcomes of patients receiving care in an outpatient, virtual, home-based acute care model with outcomes of patients receiving standard hospital care.
jamanetwork.com
November 30, 2024 at 9:24 PM
Stand up for #caturday
November 30, 2024 at 3:22 PM
Urban Turkeys are agents of chaos.

They don’t give a damn. “They don’t owe us civility. They know it”.

Loved the context of urban and rural adaptation and stress hormone differences. Thank you @Maggiek.bsky.social

www.startribune.com/the-triumph-...
Koerth: The triumph of the urban turkey
Here’s how they came to be such a presence. (It was a joint effort.)
www.startribune.com
November 27, 2024 at 11:31 AM
Reposted by Aaron DeVries
Bluesky Public Health Hive Mind:

Has anyone had discussions about #pertussis vaccine boosters for healthcare workers? I understand that recommending additional boosters for HCWs was not considered cost-effective historically, but as we continue to deal with increased pertussis cases...
November 26, 2024 at 8:50 PM
Reposted by Aaron DeVries
Hey there, it’s Spud! 🌟 A quick reminder from your friendly potato: no matter how tough it gets, you’ve got what it takes. Start small, stay grounded, and keep growing. Even the hardest challenges can turn golden with effort. Let’s mash it today, friends!
November 25, 2024 at 9:57 AM
Reposted by Aaron DeVries
Nice job at the Emerging Infections conference yesterday, @dimitridrekonja.bsky.social ! (Per usual though - I always expect expert and entertaining MC'ing from you.)
November 24, 2024 at 12:27 AM
Reposted by Aaron DeVries
We're here now! @sheaepi.bsky.social
November 21, 2024 at 10:23 PM
Reposted by Aaron DeVries
Next talk: Hot Topics: Infectious Diseases. By Nick Lenhertz, MD, MPH, MHS; from MN dept of health. Always a great session…
November 22, 2024 at 4:49 PM
Reposted by Aaron DeVries
November 22, 2024 at 7:30 PM
Reposted by Aaron DeVries
Why influenza control so hard; people/animals not as nearly siloed as we think
November 22, 2024 at 3:53 PM
Reposted by Aaron DeVries
Huh- I totally missed that now a chikungunya vaccine available in US for travelers.

www.cdc.gov/chikungunya/....
Chikungunya Vaccine Information for Healthcare Providers
Learn about chikungunya vaccine recommendations.
www.cdc.gov
November 22, 2024 at 3:25 PM
Reposted by Aaron DeVries
Tool to explore impact of climate in MN:

climate.umn.edu/MN-CliMAT
Minnesota CliMAT (Climate Mapping and Analysis Tool) | UMN Climate Adaptation Partnership
climate.umn.edu
November 22, 2024 at 2:47 PM
Reposted by Aaron DeVries
Cross-country ski star Jessie Diggins is taking on her toughest test yet
Cross-country ski star Jessie Diggins is taking on her toughest test yet
The three-time Olympic medalist and two-time World Cup overall champion is widely considered the best Nordic skier in US history. This year she has bigger goals Every April, Jessie Diggins sits down with her longtime coach, Jason Cork, to discuss the…
dlvr.it
November 21, 2024 at 9:26 AM
Reposted by Aaron DeVries
We heard you and we are verified on Bluesky!

Follow the World Health Organization here for public health updates.🎉
November 20, 2024 at 4:50 PM
Reposted by Aaron DeVries
BALANCE is out! 7 days of antibiotics non-inferior to 14 days for bacteremia (excluding S. aureus).

this is a practice-changing study that should have huge impacts on antibiotic prescribing.

i also can't say enough about the study team (esp. nick daneman). inspiring.

www.nejm.org/doi/full/10....
Antibiotic Treatment for 7 versus 14 Days in Patients with Bloodstream Infections | NEJM
Bloodstream infections are associated with substantial morbidity and mortality. Early, appropriate antibiotic therapy is important, but the duration of treatment is uncertain. In a multicenter, non...
www.nejm.org
November 20, 2024 at 3:12 PM
Reposted by Aaron DeVries
Hello!
So now we are also here - on BlueSky, to talk about #PublicHealth!

Hope you will tag along and help us on this interesting adventure!

#ECDCisOnBlueSky!
November 19, 2024 at 6:51 PM
Reposted by Aaron DeVries
Open Access: Among adults diagnosed with RSV in outpatient settings, the risk of all-cause hospitalization within 28 days ranged from 4.5% to 6.2%, with the highest risk observed in older age groups and individuals with specific chronic conditions. #IDSky ja.ma/4fXQ30B
Hospitalization Following Outpatient Diagnosis of RSV in Adults
This cohort study assesses absolute risk of 28-day, all-cause hospitalization following outpatient medically attended respiratory syncytial virus (RSV) infections in adults during the 2016 to 2022 RSV...
ja.ma
November 19, 2024 at 7:11 PM
Reposted by Aaron DeVries
Influenza A activity starting to pick up. Time to get your flu vaccine if you’ve waited (some evidence supports waiting) or if you’ve been distracted syndromictrends.com
November 16, 2024 at 8:34 PM
Reposted by Aaron DeVries
Y’all are going to need some infectious diseases experts

#IDSky Starter Packs

IDSky 1 go.bsky.app/LnAQjdq
IDSky 2 go.bsky.app/JNfSvQT
IDSky 3 go.bsky.app/FeogT7o
IDSky 4 go.bsky.app/D1zxj4E
IDSky 5 go.bsky.app/NgGSPeF
IDSky 6 go.bsky.app/22VBL8z

#MedSky
a man in a lab coat says no reason in front of a wall of cards
Alt: a man in a lab coat says “no reason”
media.tenor.com
November 15, 2024 at 12:33 AM