Waggoner Lab
@labwaggoner.bsky.social
Focused on innate immune mechanisms governing pathogenesis of disease and on NK-cell based therapies for disease. Opinions expressed are Dr. Waggoner's alone and not on behalf of lab staff or employer.
GPR34 is a splenic cDC1 receptor that is required for efferocytosis and for the cross-presentation of apoptotic cell–associated antigen to CD8 T cells @jem.org
rupress.org/jem/article/...
rupress.org/jem/article/...
November 10, 2025 at 5:59 PM
GPR34 is a splenic cDC1 receptor that is required for efferocytosis and for the cross-presentation of apoptotic cell–associated antigen to CD8 T cells @jem.org
rupress.org/jem/article/...
rupress.org/jem/article/...
Inhibition of a cancer-specific transcript LISRR makes human drug-tolerant persister cells visible to the immune system and re-sensitizes cancer cells to immune checkpoint blockade @jem.org @leuccilrcb.bsky.social
rupress.org/jem/article/...
rupress.org/jem/article/...
November 10, 2025 at 5:58 PM
Inhibition of a cancer-specific transcript LISRR makes human drug-tolerant persister cells visible to the immune system and re-sensitizes cancer cells to immune checkpoint blockade @jem.org @leuccilrcb.bsky.social
rupress.org/jem/article/...
rupress.org/jem/article/...
THDF2 in dendritic cells negatively regulates antitumor immunity of radiotherapy @jem.org
rupress.org/jem/article/...
rupress.org/jem/article/...
November 10, 2025 at 5:53 PM
THDF2 in dendritic cells negatively regulates antitumor immunity of radiotherapy @jem.org
rupress.org/jem/article/...
rupress.org/jem/article/...
Distinct autoreactive CD19– plasma cell subsets accumulate in lupus-prone mice @natcomms.nature.com
www.nature.com/articles/s41...
www.nature.com/articles/s41...
November 10, 2025 at 5:50 PM
Distinct autoreactive CD19– plasma cell subsets accumulate in lupus-prone mice @natcomms.nature.com
www.nature.com/articles/s41...
www.nature.com/articles/s41...
Review @natrevgastrohep.nature.com
IL-1 family of cytokines in gastrointestinal and liver disorders
www.nature.com/articles/s41...
IL-1 family of cytokines in gastrointestinal and liver disorders
www.nature.com/articles/s41...
IL-1 family of cytokines in gastrointestinal and liver disorders - Nature Reviews Gastroenterology & Hepatology
In this Review, the authors discuss the role of the main IL-1 family members in gastrointestinal and liver diseases, focusing on preclinical and clinical research. Opportunities for therapeutic interv...
www.nature.com
November 10, 2025 at 5:49 PM
Review @natrevgastrohep.nature.com
IL-1 family of cytokines in gastrointestinal and liver disorders
www.nature.com/articles/s41...
IL-1 family of cytokines in gastrointestinal and liver disorders
www.nature.com/articles/s41...
Respiratory immunization using antibiotic-inactivated Bordetella pertussis confers T cell-mediated protection against nasal infection in mice
www.nature.com/articles/s41...
@natmicrobiol.nature.com @tcddublin.bsky.social
www.nature.com/articles/s41...
www.nature.com/articles/s41...
@natmicrobiol.nature.com @tcddublin.bsky.social
www.nature.com/articles/s41...
November 10, 2025 at 5:47 PM
Respiratory immunization using antibiotic-inactivated Bordetella pertussis confers T cell-mediated protection against nasal infection in mice
www.nature.com/articles/s41...
@natmicrobiol.nature.com @tcddublin.bsky.social
www.nature.com/articles/s41...
www.nature.com/articles/s41...
@natmicrobiol.nature.com @tcddublin.bsky.social
www.nature.com/articles/s41...
Deep immune profiling delineates hallmarks of disease heterogeneity in extrapulmonary tuberculosis
@natcomms.nature.com
www.nature.com/articles/s41...
@natcomms.nature.com
www.nature.com/articles/s41...
November 10, 2025 at 5:45 PM
Deep immune profiling delineates hallmarks of disease heterogeneity in extrapulmonary tuberculosis
@natcomms.nature.com
www.nature.com/articles/s41...
@natcomms.nature.com
www.nature.com/articles/s41...
CLEC12A signaling represses protective immune responses and contributes to hippocampal pathology in neurotropic picornavirus infection
www.nature.com/articles/s41...
www.nature.com/articles/s41...
November 10, 2025 at 5:43 PM
CLEC12A signaling represses protective immune responses and contributes to hippocampal pathology in neurotropic picornavirus infection
www.nature.com/articles/s41...
www.nature.com/articles/s41...
131 genetic loci highlight immunological pathways and tissues in nasal polyposis and asthma @natcomms.nature.com
www.nature.com/articles/s41...
www.nature.com/articles/s41...
November 10, 2025 at 5:43 PM
131 genetic loci highlight immunological pathways and tissues in nasal polyposis and asthma @natcomms.nature.com
www.nature.com/articles/s41...
www.nature.com/articles/s41...
Review @natrevgastrohep.nature.com @ahadjihambi.bsky.social @mkbholt.bsky.social @warwicklifesci.bsky.social
Mechanistic insights into the liver–brain axis during chronic liver disease
www.nature.com/articles/s41...
Mechanistic insights into the liver–brain axis during chronic liver disease
www.nature.com/articles/s41...
Mechanistic insights into the liver–brain axis during chronic liver disease - Nature Reviews Gastroenterology & Hepatology
The liver is a key metabolic organ that influences metabolic homeostasis by communicating with the central nervous system. This Review discusses the role of gut–liver–brain communication in chronic li...
www.nature.com
November 10, 2025 at 5:41 PM
Review @natrevgastrohep.nature.com @ahadjihambi.bsky.social @mkbholt.bsky.social @warwicklifesci.bsky.social
Mechanistic insights into the liver–brain axis during chronic liver disease
www.nature.com/articles/s41...
Mechanistic insights into the liver–brain axis during chronic liver disease
www.nature.com/articles/s41...
Review @natrevmicro.nature.com
Genome sequencing for prevention of health-care-associated bacterial infections
www.nature.com/articles/s41...
Genome sequencing for prevention of health-care-associated bacterial infections
www.nature.com/articles/s41...
Genome sequencing for prevention of health-care-associated bacterial infections - Nature Reviews Microbiology
Microbial whole-genome sequencing is an important element of health-care-associated infection (HAI) prevention strategies. Focusing on specific high-priority antibiotic-resistant bacterial pathogens, ...
www.nature.com
November 10, 2025 at 5:39 PM
Review @natrevmicro.nature.com
Genome sequencing for prevention of health-care-associated bacterial infections
www.nature.com/articles/s41...
Genome sequencing for prevention of health-care-associated bacterial infections
www.nature.com/articles/s41...
Perspective @naturemedicine.bsky.social @jjaimemiranda.bsky.social
Maximizing researcher–policymaker engagement in global public health
www.nature.com/articles/s41...
Maximizing researcher–policymaker engagement in global public health
www.nature.com/articles/s41...
November 10, 2025 at 5:38 PM
Perspective @naturemedicine.bsky.social @jjaimemiranda.bsky.social
Maximizing researcher–policymaker engagement in global public health
www.nature.com/articles/s41...
Maximizing researcher–policymaker engagement in global public health
www.nature.com/articles/s41...
Review @natrevmicro.nature.com
SARS-CoV-2 variants: biology, pathogenicity, immunity and control
www.nature.com/articles/s41...
SARS-CoV-2 variants: biology, pathogenicity, immunity and control
www.nature.com/articles/s41...
SARS-CoV-2 variants: biology, pathogenicity, immunity and control - Nature Reviews Microbiology
This Review explores the evolution of SARS-CoV-2 since its emergence in late 2019 and discusses how the changes in the various variants and subvariants have affected the viral life cycle and ongoing t...
www.nature.com
November 10, 2025 at 5:37 PM
Review @natrevmicro.nature.com
SARS-CoV-2 variants: biology, pathogenicity, immunity and control
www.nature.com/articles/s41...
SARS-CoV-2 variants: biology, pathogenicity, immunity and control
www.nature.com/articles/s41...
Robust evidence that Knowing two or more languages may experience a later onset of dementia symptoms
www.nature.com/articles/s43...
@nataging.nature.com nature.com/articles/s43... @bcbl.bsky.social
www.nature.com/articles/s43...
@nataging.nature.com nature.com/articles/s43... @bcbl.bsky.social
A multilingual guide to slowing aging - Nature Aging
People who speak two or more languages may experience a later onset of dementia symptoms, yet whether multilingualism promotes healthy aging in a generalizable or even actionable manner remains unclea...
www.nature.com
November 10, 2025 at 5:36 PM
Robust evidence that Knowing two or more languages may experience a later onset of dementia symptoms
www.nature.com/articles/s43...
@nataging.nature.com nature.com/articles/s43... @bcbl.bsky.social
www.nature.com/articles/s43...
@nataging.nature.com nature.com/articles/s43... @bcbl.bsky.social
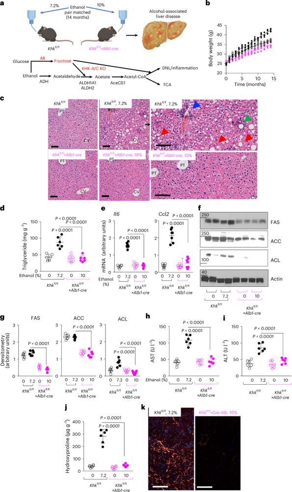
Firewater, fructose and appetite @natmetabolism.nature.com
www.nature.com/articles/s42... @cudenver.bsky.social
www.nature.com/articles/s42...
www.nature.com/articles/s42... @cudenver.bsky.social
www.nature.com/articles/s42...
November 10, 2025 at 5:31 PM
Firewater, fructose and appetite @natmetabolism.nature.com
www.nature.com/articles/s42... @cudenver.bsky.social
www.nature.com/articles/s42...
www.nature.com/articles/s42... @cudenver.bsky.social
www.nature.com/articles/s42...
Clearance of intracranial debris by ultrasound reduces inflammation and improves outcomes in hemorrhagic stroke models airan-lab.stanford.edu @stanforduniversity.bsky.social
www.nature.com/articles/s41... @natbiotech.nature.com
www.nature.com/articles/s41...
www.nature.com/articles/s41... @natbiotech.nature.com
www.nature.com/articles/s41...
November 10, 2025 at 5:27 PM
Clearance of intracranial debris by ultrasound reduces inflammation and improves outcomes in hemorrhagic stroke models airan-lab.stanford.edu @stanforduniversity.bsky.social
www.nature.com/articles/s41... @natbiotech.nature.com
www.nature.com/articles/s41...
www.nature.com/articles/s41... @natbiotech.nature.com
www.nature.com/articles/s41...
Nirmatrelvir-ritonavir should be prescribed immediately after COVID-19 diagnosis for achieving its greatest benefit on improving post-COVID outcomes
www.nature.com/articles/s41...
@natcomms.nature.com
www.nature.com/articles/s41...
@natcomms.nature.com
November 10, 2025 at 5:25 PM
Nirmatrelvir-ritonavir should be prescribed immediately after COVID-19 diagnosis for achieving its greatest benefit on improving post-COVID outcomes
www.nature.com/articles/s41...
@natcomms.nature.com
www.nature.com/articles/s41...
@natcomms.nature.com
Chromatin remodeling enhances MAP3K8 expression in HTLV-1-associated myelopathy: a key pathogenesis for therapeutic intervention @natcomms.nature.com
www.nature.com/articles/s41...
www.nature.com/articles/s41...
November 10, 2025 at 5:23 PM
Chromatin remodeling enhances MAP3K8 expression in HTLV-1-associated myelopathy: a key pathogenesis for therapeutic intervention @natcomms.nature.com
www.nature.com/articles/s41...
www.nature.com/articles/s41...
Gut intraepithelial lymphocytes interact with neutrophils during sepsis and facilitate NETosis, which activates Kupffer cells to contribute to sepsis-induced liver injury @natcomms.nature.com
www.nature.com/articles/s41...
www.nature.com/articles/s41...
November 10, 2025 at 5:21 PM
Gut intraepithelial lymphocytes interact with neutrophils during sepsis and facilitate NETosis, which activates Kupffer cells to contribute to sepsis-induced liver injury @natcomms.nature.com
www.nature.com/articles/s41...
www.nature.com/articles/s41...
Review: Auto-Abs against type I IFNs: Strong, common, and global determinants of severe arboviral diseases @jhumimmunity.org @casanovalab.bsky.social @shenyingzhang1.bsky.social rupress.org/jhi/article/...
November 10, 2025 at 5:03 PM
Review: Auto-Abs against type I IFNs: Strong, common, and global determinants of severe arboviral diseases @jhumimmunity.org @casanovalab.bsky.social @shenyingzhang1.bsky.social rupress.org/jhi/article/...
A systematic literature review of CVID reveals pervasive detrimental noninfectious manifestations @jhumimmunity.org
rupress.org/jhi/article/...
rupress.org/jhi/article/...
November 10, 2025 at 5:01 PM
A systematic literature review of CVID reveals pervasive detrimental noninfectious manifestations @jhumimmunity.org
rupress.org/jhi/article/...
rupress.org/jhi/article/...
Review @jhumimmunity.org @casanovalab.bsky.social
The seven enigmas of SARS-CoV-2: From the past to the future
rupress.org/jhi/article/...
The seven enigmas of SARS-CoV-2: From the past to the future
rupress.org/jhi/article/...
November 10, 2025 at 4:59 PM
Review @jhumimmunity.org @casanovalab.bsky.social
The seven enigmas of SARS-CoV-2: From the past to the future
rupress.org/jhi/article/...
The seven enigmas of SARS-CoV-2: From the past to the future
rupress.org/jhi/article/...
@natrevrheum.nature.com Cutaneous lupus erythematosus — from pathogenesis to targeted therapy @kahlenberglab.bsky.social
www.nature.com/articles/s41...
www.nature.com/articles/s41...
Cutaneous lupus erythematosus — from pathogenesis to targeted therapy - Nature Reviews Rheumatology
This Review discusses latest advances in the field of cutaneous lupus, including the improved understanding of disease pathogenesis and emerging targeted therapies.
www.nature.com
November 9, 2025 at 10:35 PM
@natrevrheum.nature.com Cutaneous lupus erythematosus — from pathogenesis to targeted therapy @kahlenberglab.bsky.social
www.nature.com/articles/s41...
www.nature.com/articles/s41...
Review: Pathogenic drivers of lupus myocarditis and potential therapeutic targets @taejoonw.bsky.social
www.nature.com/articles/s12...
www.nature.com/articles/s12...
November 9, 2025 at 10:34 PM
Review: Pathogenic drivers of lupus myocarditis and potential therapeutic targets @taejoonw.bsky.social
www.nature.com/articles/s12...
www.nature.com/articles/s12...
The methyl-CpG-binding protein 2 inhibits cGAS-associated signaling @natcomms.nature.com
www.nature.com/articles/s41...
www.nature.com/articles/s41...
November 9, 2025 at 10:33 PM
The methyl-CpG-binding protein 2 inhibits cGAS-associated signaling @natcomms.nature.com
www.nature.com/articles/s41...
www.nature.com/articles/s41...