Katrina Collins || Pathologist
banner
katcollmd.bsky.social
Katrina Collins || Pathologist
@katcollmd.bsky.social
#slidearchiveseries #macrovsmicro
Which matters more: talent or luck? In games like poker, luck is clear. In life, it shows up as unexpected chances or being in the right place at the right time. #readinglist #goodread

🔗 www.worldscientific.com/doi/10.1142/...
August 6, 2025 at 1:21 PM
📚 #readinglist #mustreads
Perfect for those starting their careers, Fragale strikes a balance between smart and approachability. Her advice offers actionable tips that help leverage strengths to own your space. @alisonfragale

📖 Have you read it? If not, add it to your list!!
July 24, 2025 at 5:32 PM
#slidearchiveseries urothelial carcinoma in situ colonizing prostatic urethra #gupath
July 11, 2025 at 2:15 AM
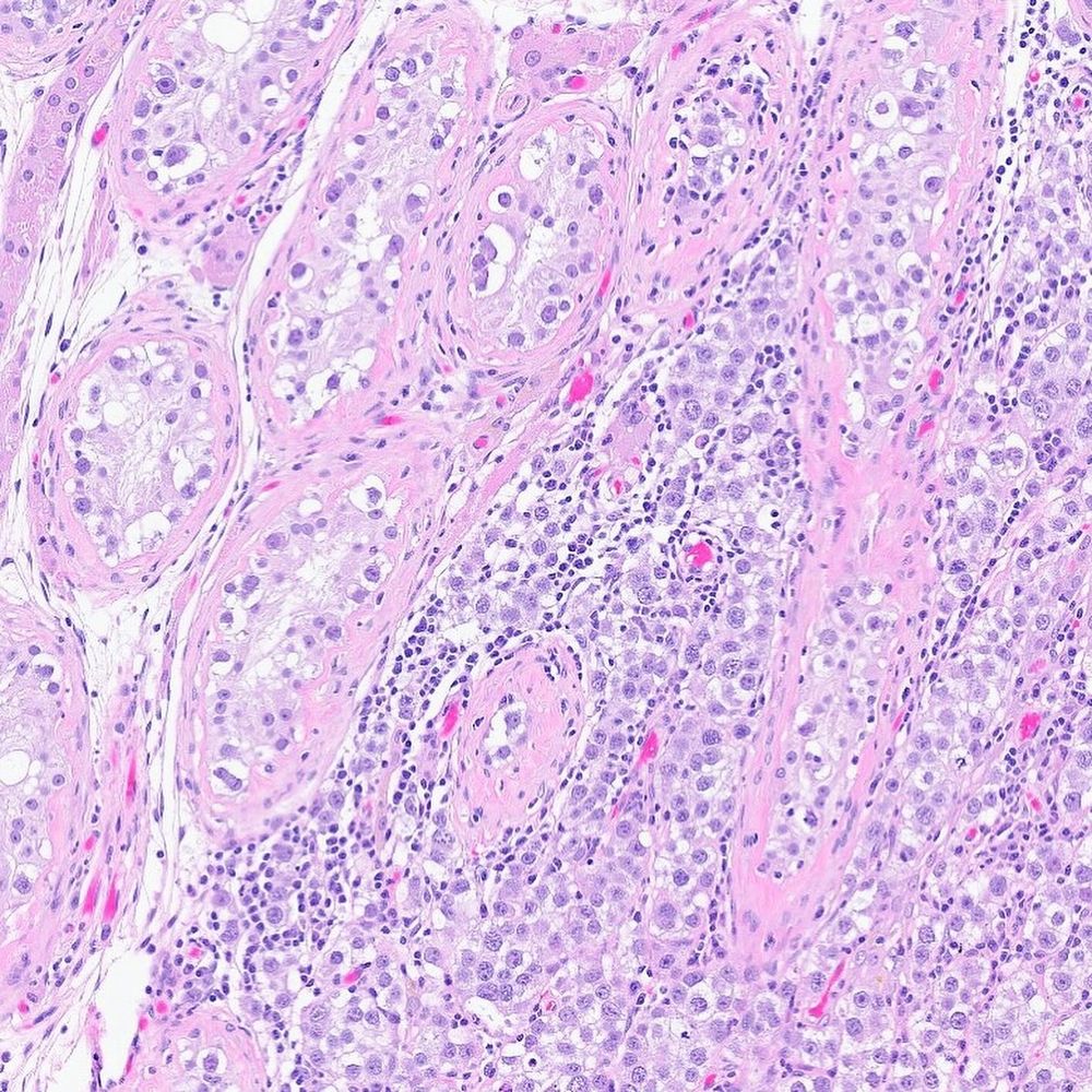
#slidearchiveseries seminal vesicle invasion #gupath #prostatecancer

1️⃣ spreading along the ejaculatory duct
2️⃣ direct invasion at the base of the prostate or extension into peri-SV soft tissue and then into the wall of the SV
3️⃣ discontinuous metastases (rare)

🔗 doi.org/10.1038/modp...
June 24, 2025 at 11:49 PM
#slidearchiveseries history of nephrectomy for renal cell carcinoma, received immunotherapy with complete response, later developed upper GI bleeding from metastases to the proximal jejunum #gupath #gipath
June 16, 2025 at 10:53 AM
Can you spot treatment effects in prostate cancer and distinguish secondary tumors involving the prostate? This case-based CME session covers ADT/radiation changes, rare variants, and more.

Check out this session—plan on joining us at #CAP25!

🔗 events.cap.org/event/cap25/...
June 7, 2025 at 7:18 PM
#slidearchiveseries chromophobe renal cell carcinoma #gupath #pathsky #pathoutpic

✅ solid sheet-like architecture
✅ plant-like cell borders (vegetable cells)
✅ irregular, wrinkled nuclei (raisinoid)
✅ binucleation and perinuclear halos
🎨 CK7, CD117, Hale colloidal iron
June 7, 2025 at 2:52 PM
#macrovsmicro total nephrectomy, tan to red, nodular, heterogeneous, well-delineated, focally hemorrhagic/necrotic mass #gupath #pathsky #pathoutpic #kidneytumor
June 7, 2025 at 2:52 PM
Our pathology team is walking to fight kidney disease and support the life-changing work of the @nkf-professionals.bsky.social! On June 21, we walk for all who’ve been impacted by this chronic illness. Join us or donate to help make a difference: www.kidneywalk.org/indy/IUPatho...
#kidneywalk
May 28, 2025 at 4:45 AM
#slidearchiveseries clear cell renal cell carcinoma with rhabdoid differentiation #gupath

🔬 large eccentric nuclei with prominent nucleoli, abundant eosinophilic cytoplasm, globular eosinophilic intracytoplasmic inclusions
May 26, 2025 at 10:09 PM
Honored to host Dr. Mukhopadhyay @smlungpathguy.bsky.social at this week's Grand Rounds. Grateful for the opportunity to learn from one of the best—his depth of knowledge and gift for teaching truly shine through #lungpath
May 16, 2025 at 8:59 AM
#publicationalert 🚨
α-SMA loss in the inner circular layer of jejunal muscle was common in both motility disorder cases and controls, making it an unreliable marker of dysfunction #gipath #pathsky
🔗 pubmed.ncbi.nlm.nih.gov/40328644/
May 7, 2025 at 6:22 PM
Thrilled to share USCAP’s U²P² program — supporting pathologists from under-resourced countries to train at leading institutions! Fully funded by the @uscap.org, it’s a bold step toward global collaboration and education in pathology! #pathtwitter #U2P2
🔗 foundation.uscap.org/u2p2/
April 29, 2025 at 11:43 AM
🚨 #publicationalert #gupath
Our study reveals somatic-type malignancies in GCTs may derive from YST, with epigenetic and signaling alterations
pathsocjournals.onlinelibrary.wiley.com/doi/full/10....
March 31, 2025 at 2:57 PM
🚨 #publicationalert #gupath MEIS1::NCOA1 primitive renal sarcomas resemble MEIS1::NCOA2 cases. These neoplasms mimic malignant MEST and show a spectrum from low to high grade, requiring long-term follow-up.
🔗 journals.lww.com/ajsp/abstrac...
March 31, 2025 at 2:52 PM
#slidearchiveseries urinary bladder, inflammatory myofibroblastic tumor #gupath #pathsky #pathoutpic

🔬 Diverse patterns: myxoid, fascicular, hyalinized
🎨 ALK IHC (diffuse cytoplasmic) in 40-60%
🧬 50-60% ALK fusions (EML4, TPM3/4, CARS, RANBP2, IGFBP5…)
March 29, 2025 at 4:19 PM
#slidearchiveseries urothelial carcinoma, clear cell (glycogen-rich) #gupath

🎨 IHC profile similar to conventional urothelial carcinoma (GATA3, p63)
⚠️ distinguish from metastatic CCRCC and clear cell adenocarcinoma
March 29, 2025 at 3:38 PM
#slidearchiveseries history of DLBCL s/p chemotherapy with residual retroperitoneal lymphadenopathy, s/p radiation therapy for bulky cauda equina leptomeningeal disease, now for management of prostate abscess #gupath #malakoplakia
March 29, 2025 at 2:35 PM
Happy Histotechnology Professionals Day! 🎉 Shoutout to all the histotechs who make diagnosis possible with their hard work behind the scenes. Take a moment to appreciate the histologists in your lab today! 🧫🔬 #HPD #Histotechnology #LabLife
March 10, 2025 at 11:06 AM
IU Pathology and IUHMG are expanding! We're recruiting a GI-focused surgical pathologist (≥5 years post-fellowship) to join our team. Additional subspecialty expertise welcome! #gipath #pathtwitter #pathX
🔗 indiana.peopleadmin.com/postings/28535
March 3, 2025 at 1:38 PM
IU Pathology and IUHMG are recruiting anatomic pathologists in:

🔬 Pediatric Pathology
🔬 Head & Neck Pathology
🔬 Thoracic-Pulmonary Pathology
🔬 Dermatopathology
🔬 Gastrointestinal Pathology

Additional subspecialty training is welcome!
🔗 indiana.peopleadmin.com/postings/28097
March 3, 2025 at 1:37 PM
Completely agree—a diagnosis that can be made even at low power! 🤩 #pathsky #gupath
March 1, 2025 at 3:10 PM
🚨 #publicationalert #gupath
We developed a deep learning-based classifier to distinguish renal oncocytoma from low-grade oncocytic tumor (LOT) in whole slide images with high accuracy.

Link to our article: doi.org/10.5858/arpa...
February 22, 2025 at 1:17 PM
#slidearchiveseries seminoma with brisk lymphocytes, rete testis invasion, and GCNIS—classic 'fried egg' 🍳 appearance with a dash of pepper #gupath #testistumor #pathoutpic
February 22, 2025 at 2:50 AM
#macrovsmicro orchiectomy, tan-white, firm, homogeneous, faintly lobulated, well-delineated mass abutting the rete testis #gupath #pathsky #pathoutpic

🩺 increased testicular pain and swelling, evaluation for torsion; 3.9 cm mass on ultrasound 🧪 AFP 3.8, HCG 2.5
February 22, 2025 at 2:50 AM