Cryptococcus neoformans
Immunocompromised host
: lung, CNS, cutaneous manifestation
Infected from: bird droppings, soil
✅️varying size yeasts with thin walls
✅️encapsulated by thick capsule of glucuronoxylomannan
▶️ GMS+, mucicarmine+, PAS+
#pathsky #pathology #IDpath #lungpath #cryptococcus
Immunocompromised host
: lung, CNS, cutaneous manifestation
Infected from: bird droppings, soil
✅️varying size yeasts with thin walls
✅️encapsulated by thick capsule of glucuronoxylomannan
▶️ GMS+, mucicarmine+, PAS+
#pathsky #pathology #IDpath #lungpath #cryptococcus
December 1, 2024 at 2:03 AM
Cryptococcus neoformans
Immunocompromised host
: lung, CNS, cutaneous manifestation
Infected from: bird droppings, soil
✅️varying size yeasts with thin walls
✅️encapsulated by thick capsule of glucuronoxylomannan
▶️ GMS+, mucicarmine+, PAS+
#pathsky #pathology #IDpath #lungpath #cryptococcus
Immunocompromised host
: lung, CNS, cutaneous manifestation
Infected from: bird droppings, soil
✅️varying size yeasts with thin walls
✅️encapsulated by thick capsule of glucuronoxylomannan
▶️ GMS+, mucicarmine+, PAS+
#pathsky #pathology #IDpath #lungpath #cryptococcus
✨ Celebrating our Cardiothoracic Fellow & Team at their end-of-year gathering! Thank you for being the "heart" of our Department! #pathology #path2path #PathSky #cardiacpath #pulmpath #lungpath
May 22, 2025 at 8:05 PM
✨ Celebrating our Cardiothoracic Fellow & Team at their end-of-year gathering! Thank you for being the "heart" of our Department! #pathology #path2path #PathSky #cardiacpath #pulmpath #lungpath
November 20, 2024 at 11:12 AM
Honored to host Dr. Mukhopadhyay @smlungpathguy.bsky.social at this week's Grand Rounds. Grateful for the opportunity to learn from one of the best—his depth of knowledge and gift for teaching truly shine through #lungpath
May 16, 2025 at 8:59 AM
Honored to host Dr. Mukhopadhyay @smlungpathguy.bsky.social at this week's Grand Rounds. Grateful for the opportunity to learn from one of the best—his depth of knowledge and gift for teaching truly shine through #lungpath
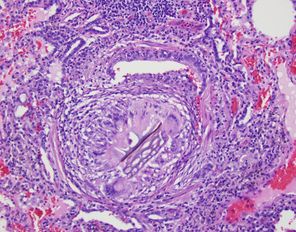
Granulomatous inflammation in lung due to aspiration of food particles #PathSky #LungPath #PulmSky @smlungpathguy.bsky.social
August 25, 2025 at 10:08 PM
Granulomatous inflammation in lung due to aspiration of food particles #PathSky #LungPath #PulmSky @smlungpathguy.bsky.social
January 10, 2025 at 4:12 PM
Teaching #Pathology to a fantastic group of medical students at the Universidad Unicampo Biomedico in Roma. First session on #lungpath.
Thank you!
Thank you!
December 3, 2024 at 2:20 PM
Teaching #Pathology to a fantastic group of medical students at the Universidad Unicampo Biomedico in Roma. First session on #lungpath.
Thank you!
Thank you!
November 22, 2024 at 11:47 AM