AndrewFolpe
banner
folpe-mn-st.bsky.social
AndrewFolpe
@folpe-mn-st.bsky.social
I like my wife and family, bikes, music, dogs, baking bread and soft tissue tumors. Only the last here though.
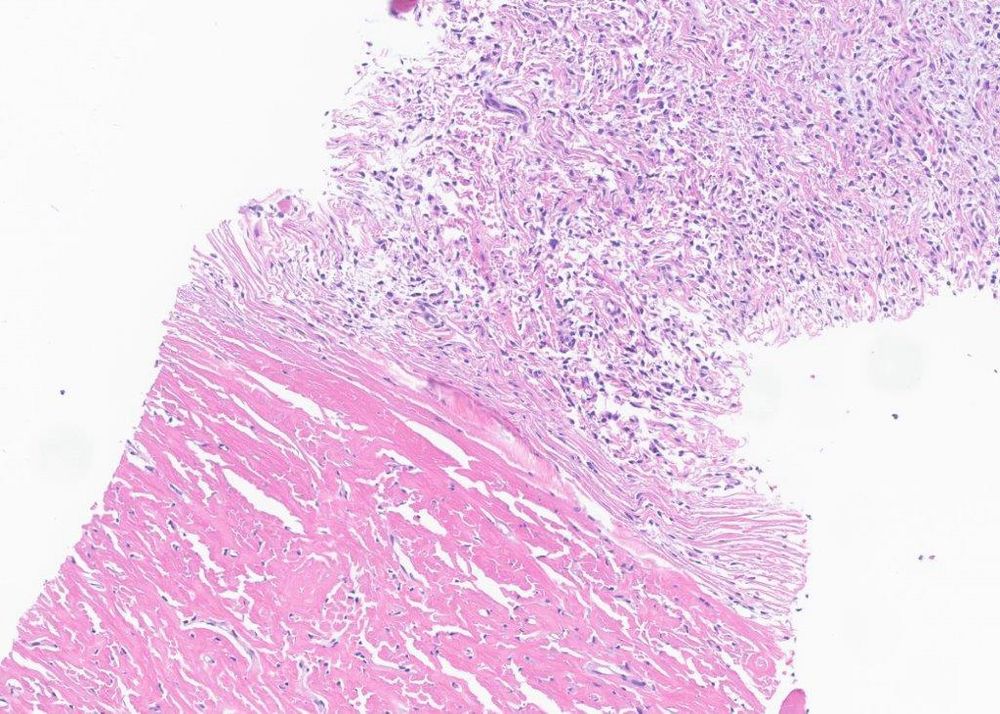
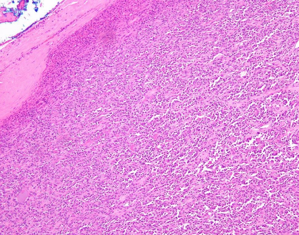
#PathSky Laryngeal mass, older adult male. Primitive, highly vascular round cell neoplasm for the most part.
June 12, 2025 at 9:00 PM
#PathSky 53F with shortness of breath and “ground glass” pulmonary opacity. Not a hard dx, but a spectacular (if very unfortunate) case.
June 5, 2025 at 7:14 PM
#PathSky Abdominal wall mass, middle aged woman. Women basically only get 3 abdominal wall tumors, so it’s got to be a desmoid, DFSP or endometriosis. Classic desmoid morphology, aberrant nuclear beta-catenin. I can hear the cries of “boring..”
May 30, 2025 at 5:31 PM
#PathSky Someone shared a chest wall Ewing sarcoma with me today, and I queried them about exactly what they were Askin. I should probably retire today.
May 23, 2025 at 4:42 PM
#PathSky Middle aged woman, leg mass. It all looks like this. More nuclear palisading/ Verocay bodies than you’ve seen in your entire career. Nerve sheath? S100/Sox10 negative. LMS? Negative for all the muscle markers. Any other ideas?
May 20, 2025 at 9:30 PM
#PathSky Right femur lesion in an older woman. Diffusely keratin-positive with 3 different antibodies.
May 14, 2025 at 3:20 PM
#PathSky 45 with a forearm skin tumor. Highly cellular, monomorphic spindle cell tumor with a “packeted” pattern and deep, nodular lymphoid aggregates.
May 8, 2025 at 4:36 PM
#PathSky Large, left sided abdominal/retroperitoneal mass in an older adult. Spindle cell proliferation with associated inflammation. All the outside IHC were negative. What to do next? MDM2 FISH? NGS? Methylation?
May 2, 2025 at 6:22 PM
#PathSky 43M, forearm mass. At first glance, it looks like some kind of inflammatory process, maybe a synovitis with plasma cells, fibrosis and foamy macrophages.
April 29, 2025 at 6:38 PM
#PathSky 55F, large retroperitoneal mass. Outside pathologist quite reasonably thought of WDL, but MDM2 FISH was negative. Any other ideas?
April 23, 2025 at 7:43 PM
#PathSky Large, myxoid paraspinal mass, 79M. Transferred from HemePath to BST as “myxoid sarcoma”. MDM2 was negative.
April 15, 2025 at 6:02 PM
#PathSky Middle-aged woman with a long-standing neck mass.
April 3, 2025 at 7:09 PM
Reposted by AndrewFolpe
www.sciencedirect.com/science/arti...

This article discusses the very rare intraosseous RMS harboring FET::TFCP2 or MEIS1::NCOA2 fusions.

Was a pleasuring writing this with @folpe-mn-st.bsky.social
Rhabdomyosarcomas of Bone: An Update
www.sciencedirect.com
April 2, 2025 at 8:19 PM
#PathSky Abdominal wall mall mass, 65M. Multinodular with thick fibrous septa. Bland spindled to ovoid cells surrounding prominent vessels. Microcystic, pseudoglandular spaces.
April 2, 2025 at 7:42 PM
#PathSky 37M with a colonic mass. PMH significant only for a thin melanoma of the arm. Long sweeping fascicles of myofibroblasts, thin-walled vessels, perivascular edema, nuclear beta-catenin. “Desmoid- next case.” So why share it here?
March 21, 2025 at 7:24 PM
#PathSky 64M, upper chest wall skin lesion. There was some discussion of whether this strikingly “packeted”, strongly S100 protein-positive lesion might be a traumatic neuroma.
March 20, 2025 at 3:26 PM
#PathSky 84M with lung nodule, signed out as “adenocarcinoma, favor pulmonary origin”. There is supposed to be a bit of TTF1 expression, but it is subtle to say the least.
March 18, 2025 at 6:40 PM
#PathSky 12F with an intra-articular middle finger mass.
March 14, 2025 at 7:06 PM
#PathSky Judging from PubMed, it seems that the ratio of reported NFATC2-rearranged sarcomas to review articles about NFATC2-rearranged sarcomas is just about 1:1.
March 12, 2025 at 6:25 PM
#PathSky I’ve been bad about posting, my apologies. Ok, 86M with destructive T12 lesion. Sent in to subclassify the malignant spindle cell lesion. Keratins, melanocytic markers, muscle markers, SATB2 negative.
March 10, 2025 at 7:09 PM
#PathSky Large retroperitoneal mass in a 44M. Some of it looks like this.
February 28, 2025 at 8:37 PM
#PathSky I usually like to show cases where the morphology makes sense of the molecular, but here’s one where you kind of need the molecular. Axillary mass, 9 month male. Very hyalinized, infiltration of fat, cracking artifact. Strongly CD34-pos. Giant cell fibroblastoma?
February 24, 2025 at 8:32 PM
#PathSky 30F with shoulder mass. Nice example of low-grade fibromyxoid sarcoma, with heavily collagenized areas and a very abrupt transition to more cellular nodules with a whorling pattern and a well-developed vasculature. MUC4 IHC is confirmatory. This case has another helpful H+E feature (below)
February 20, 2025 at 9:44 PM
#PathSky Fatty-appearing thigh mass in a 69M. A solid nodule was present, concerning for dedifferentiation. The solid nodule is lateral in the mass.
February 13, 2025 at 10:51 PM
#PathSky Perianal mass, 38F. Well-circumscribed, modulated, myxoid. Diffusely S100-positive. Nerve sheath myxoma? Not quite right.
February 12, 2025 at 8:56 PM