Lee Machado
banner
drleemachado.bsky.social
Lee Machado
@drleemachado.bsky.social
Professor of Molecular Medicine @uninorthants researching #infection, #immunity and #cancer. Deputy Chair @BeaCitySixth
Looking forward to using our new Seahorse across a bunch of projects for metabolic studies…just having to re-learn my undergraduate biochemistry though 😉
September 26, 2025 at 11:01 PM
Great to catch up with my fab friend Tim (from our undergraduate days) who was recently promoted to Prof. in Structural Biology at the University of Birmingham.
September 9, 2025 at 5:24 PM
6/8 Supporting evidence:
Aggressive cancers often downregulate/mutate DMD.

Less aggressive cancers retain intact DMD.

So, DMD’s role is context-dependent.
August 21, 2025 at 12:48 PM
4/8 Pathway analysis revealed two contrasting patterns:

High DMD protective → ECM integrity & adhesion preserved.

High DMD harmful → morphogenesis & cellular plasticity promoted.
August 21, 2025 at 12:48 PM
3/8 Isoform analysis was crucial:

Dp71ab was the dominant transcript and mirrored survival patterns.

Dp40 also appeared consistently.

This suggests isoforms, not just total DMD drive the biology.
August 21, 2025 at 12:48 PM
2/8 Using TCGA data (33 cancers), we found DMD expression significantly linked to survival in 9 cancers.

But the direction split:

High DMD = ⬆️ survival (breast, lung, pancreas, AML, uveal melanoma)

High DMD = ⬇️ survival (glioma, thymoma, kidney and rectal)
August 21, 2025 at 12:48 PM
🚨 New in FEBS Open Bio!
During COVID, with labs disrupted, I undertook an MRes apprenticeship in bioinformatics. As a professor, I was suddenly a student again, learning coding to support my group.

Together with @Weekademia, we propose a unified model of DMD in cancer. 🧵👇
August 21, 2025 at 12:48 PM
6/🧬 RNAseq analysis revealed:

388 genes upregulated (muscle pathways).

30 genes downregulated (ribosome biogenesis, RNA processing).
Suggests DMD’s role extends beyond muscle—it may regulate cancer cell biology.
March 28, 2025 at 4:32 PM
Cell experiments: Overexpressing Dp71ab disrupted nuclei & slowed proliferation, hinting at tumor-suppressive effects.
March 28, 2025 at 4:32 PM
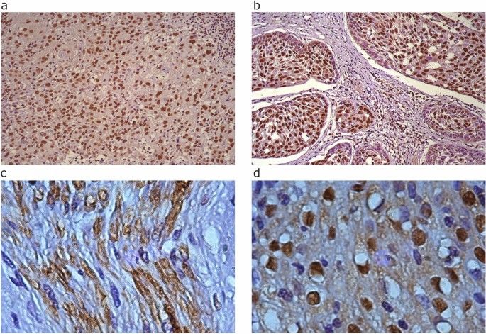
5/🔍 In tumor tissues:

Dystrophin protein was found in nuclei & cytoplasm.

High nuclear dystrophin = 31-month survival boost (p=0.0497).
March 28, 2025 at 4:32 PM
4/🦠 HPV status is a known HNSCC prognostic factor, but DMD added nuance:

HPV+ patients with low DMD had worse survival than HPV+ with high DMD.

Suggests DMD could refine risk stratification beyond HPV alone.
March 28, 2025 at 4:32 PM
3/📊 Dp71ab was the star: Patients with high levels had a 42-month survival advantage (p=0.0007). But Dp427m (full-length dystrophin) showed the opposite trend—high expression = worse survival. Context matters!
March 28, 2025 at 4:32 PM
2/🔬 DMD mutations cause muscle disorders, but growing evidence shows it’s involved in cancer. we focused on HNSCC, where high DMD expression correlated with:
-22-month longer median survival (p=0.0083)
-Better progression-free survival (p=0.0237)
-Key player? The Dp71ab isoform.
March 28, 2025 at 4:32 PM
1/🧵 Our new study in Scientific Reports reveals a surprising link between the Duchenne muscular dystrophy gene (DMD) and head & neck squamous cell carcinoma (HNSCC) survival. High DMD expression = better outcomes! #CancerResearch #HNSCC rdcu.be/efuJZ
March 28, 2025 at 4:32 PM
Delighted our team won best poster at #ESMORareCancers25 with work spearheaded by former PhD @LSJones4. Work coming out shortly in @SciReports #dmd #hnscc
March 21, 2025 at 8:49 PM
Looking forward to an exciting few days at #ESMOSarcomaAndRareCancers25
March 20, 2025 at 9:33 AM
Had the pleasure of presenting @LeicResearch head and neck m&m with @LSJones4 on our head and neck cancer work with @profkarena.bsky.social and Leanne's post-doc working @unibirmingham.bsky.social on the biology of #HPV
January 25, 2025 at 11:21 AM
Er no it doesn’t…
January 23, 2025 at 6:51 PM
Hello old friend..
December 2, 2024 at 9:27 PM
Lovely view over the Nene river this morning from campus
November 28, 2024 at 9:17 PM
Thanks!
November 22, 2024 at 9:37 PM
Great to see our new PhD researcher making a start in the lab 👍
November 20, 2024 at 1:22 PM