Dan Berney
danberney.bsky.social
Dan Berney
@danberney.bsky.social
GU/Endocrine pathologist Bartshealth and QMUL.
Editor of Histopathology.
British Association of Urological Pathologists Prostate Course at Guys and the wonderful Gordon Museum.
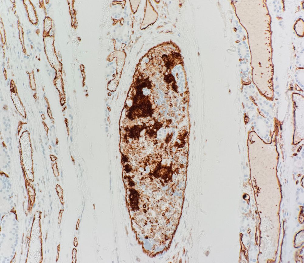
April 29, 2025 at 6:36 PM
Yolk sac tumour showing vascular invasion.
April 23, 2025 at 9:15 AM
I should have been at #USCAP25 until the Heathrow disaster. However, not being here enabled me to go to my mum’s 96th birthday party on Sunday unexpectedly. Not going was all worth it when she saw me. Family over work. Every time.
March 24, 2025 at 8:12 PM
Reposted by Dan Berney
One Week from Today!! Join the Genitourinary Pathology Society Meeting at #USCAP2025 - Details 👇🏻👇🏻 #gupath
Excited for the @GU_Path_Society Companion Society Meeting at #USCAP2025 featuring talks on:

#prostatecancer ML/AI
#kidneycancer diagnostics
#urothelialcancer biomarkers
March 16, 2025 at 2:50 PM
Reposted by Dan Berney
Really shameful that more than 2 years after we learned that Abiraterone, an inexpensive medicine, saves lives, it is STILL not available in the English NHS. Thanks @prostatecanceruk.bsky.social for highlighting the struggle many men, and their doctors, are facing.

www.bbc.com/news/article...
www.bbc.com
March 14, 2025 at 8:58 PM
Reposted by Dan Berney
Last few days for applying…..don’t miss out on a great opportunity!
March 14, 2025 at 2:49 PM
Is this a corpus amylaceous or a crystalloid? Very non binary….can’t exist….
March 13, 2025 at 10:14 AM
Reposted by Dan Berney
Excited for the @GU_Path_Society Companion Society Meeting at #USCAP2025 featuring talks on:

#prostatecancer ML/AI
#kidneycancer diagnostics
#urothelialcancer biomarkers
March 2, 2025 at 6:01 PM
Reasons why Barts is the best hospital to work in…you can nip out for a Beetroot Latte!!
February 4, 2025 at 9:26 AM
An unremarkable bronchial carcinoid with vascular invasion. Until you learn the IHC is for ACTH…
January 28, 2025 at 2:57 PM
Reposted by Dan Berney
Here’s what happens to regression 📈 when sample sizes are low…

even with a strong underlying correlation, sampling error will erode everything! 🧪 ‼️

#rstats simulation viz via the switchboard package for R
January 26, 2025 at 3:45 PM
Name that stain ( the blue one!). Suggested by my resident to help decision on vascular invasion…
January 25, 2025 at 1:48 PM
Long in the tooth as I am, this diagram on criteria for VI in follicular thyroid tumours remains invaluable.
January 17, 2025 at 6:17 PM
Today my work was taken up by lots of things a competent admin team could have done. So much NHS time treating patients is lost like this.
January 15, 2025 at 5:33 PM
Immunosuppressed patient with renal failure and a lymphadenopathy. Any ideas on the diagnosis and the diagnostic immunochemistry? #histopathology
January 10, 2025 at 8:38 PM
Reposted by Dan Berney
We know that black men have a higher chance of getting prostate cancer in their lifetime, but for most black men the cancer is curable when found. A good reason to consider a PSA check- prostate cancer is most easily cured when found early @npca-natcan.bsky.social
We report the annual number of new diagnoses per 1000 male population aged 65 to 84 years with a recorded stage at diagnosis, by stage and ethnicity, in England from 1st January 2021 to 31st December 2023.
January 10, 2025 at 3:08 PM
Reposted by Dan Berney
Molecular testing in lung cancer explained in ONE POWERPOINT SLIDE!!

Link:
youtu.be/KrgPeGrHaR8?...
Molecular testing in lung cancer explained in 1 slide by a thoracic pathologist
YouTube video by Sanjay Mukhopadhyay
youtu.be
January 6, 2025 at 2:54 AM
Reposted by Dan Berney
#PathSky 67M, long smoking hx, LN met. Keratin negative outside- “?sarcoma?” The hx suggests an undifferentiated pulmonary carcinoma with SMARCA4 loss. Our keratin was a bit positive and SMARCA4 is gone. These were originally thought to be thoracic sarcomas but have smoking related mutations.
December 24, 2024 at 7:24 PM
Reposted by Dan Berney
Don’t miss out on this great topic with detailed review for the 4️⃣th quarter of 2024 #gupath
Review by: Francesca Sanguedolce

#ISUP Journal Club Archives: isupweb.org/isup/blog/jo...

FREE LINK to @AJSPjournal article
journals.lww.com/ajsp/fulltex...
January 4, 2025 at 1:22 AM
Reposted by Dan Berney
Great to see Luke Littler, world darts champion at the age of 17, raising awareness of prostate cancer both during the match and in the press interviews this morning @prostatecanceruk.bsky.social
images.app.goo.gl/pTVfubYD8KkQ...
Google Image Result for https://ichef.bbci.co.uk/ace/standard/3840/cpsprodpb/dce3/live/9fc74ed0-c95f-11ef-87df-d575b9a434a4.jpg
images.app.goo.gl
January 4, 2025 at 9:39 AM
Have a look at the FREE TO READ! Annual Review Issue in Histopathology’s #hempath. ( Histopathology will shortly follow me here!) onlinelibrary.wiley.com/toc/13652559...
ANNUAL REVIEW ISSUE: HAEMATOLYMPHOID MALIGNANCIES: BEYOND THE CURRENT CLASSIFICATIONS: Histopathology: Vol 86, No 1
Click on the title to browse this issue
onlinelibrary.wiley.com
January 3, 2025 at 7:41 AM
So I have put my metaphorical pen down on the now vile X. Path twitter was lovely but will be posting #path exclusively here from now on. I can no longer live with myself supporting that vile creature in charge.
January 2, 2025 at 6:09 PM
Reposted by Dan Berney
Now, this is too accurate 👍
December 31, 2024 at 3:13 PM
Reposted by Dan Berney
A must-read for anyone with an interest in NHS whistleblowers. Shocking but highly readable, culminating in a surgeon being struck off, but only after many patients harmed #medsky #prostatecancer #nhs
December 26, 2024 at 9:51 AM