@arvind510.bsky.social
Kidney Doctor , Dad, F1
Reposted
Professor Ashley Jefferson, MD, shares information regarding the many advances in Minimal Change Disease in this Grand Rounds presentation on Diffuse Podocytopathy. #FSGS #MinimalChangeDisease #Podocyte #NephSky
@uwmedicine.bsky.social

Watch - youtu.be/lhy-p1212TI
Ashley Jefferson, MD, FRCP - Minimal Change Disease
YouTube video by University of Washington Division of Nephrology
youtu.be
May 6, 2025 at 8:03 PM
Reposted
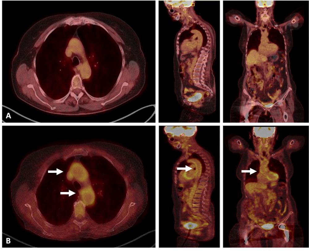
Large-vessel vasculitis relapse in an 83-year-old woman with biopsy-proven giant cell arteritis characterized by 3-week history of headache, scalp tenderness, jaw claudication, and constitutional symptoms.
Suggested management algorithm for patients with GCA relapses
#Medsky
December 24, 2024 at 9:02 PM
Reposted
December 6, 2024 at 10:39 PM
Reposted
Hyponatremia physiology in a minute, forty seconds. #IsHomeostasisAJokeToYou

youtu.be/Q93D_SjaOEY
physiology and pathophysiology of hyponatremia
YouTube video by Joel Topf
youtu.be
November 25, 2024 at 5:04 AM