Abbie Pugh🔬
banner
abbiepath.bsky.social
Abbie Pugh🔬
@abbiepath.bsky.social
NHS Histopathology/Cellular Pathology Consultant for BCPS with interests in thoracic pathology, dermatopathology & autopsy. ACP Chair of Council. 💕Pathology. All views my own. #PathSky #Pathology
You know you have a good APT when they’ve put your scrubs on the radiator to warm up before you arrive 😂 #autopsy
January 3, 2025 at 10:18 AM
A nice little spot diagnosis to finish up 2024! 67M Leg lesion. #pathsky #dermpath #dermpathsky
December 31, 2024 at 5:02 PM
I’m potentially overthinking my approach to this. Do other departments play this game?
December 12, 2024 at 9:45 AM
Pericardial cyst in a 53F. #pathsky #pulmpath #thoracicpath
November 23, 2024 at 8:05 AM
Found this in a robotic assisted middle lobectomy resection for adenocarcinoma 👀 #pathsky #pulmpath #thoracicpath
November 21, 2024 at 7:21 PM
Snowy fungi in my garden 🥰
November 21, 2024 at 4:18 PM
Kings Place is a great venue for the BMJ Future Health conference. I enjoyed a nice walk along the canal in the lunchbreak and came across some quirky shops on barges! #BMJFH #medsky
November 20, 2024 at 3:12 PM
Day 2 at the BMJ Future Health conference, kicking off with Patricia Odero who is talking about empowering women across the world through innovation #BMJFH #BMJFutureHealth
November 20, 2024 at 10:05 AM
Really enjoyed Day 1 of the BMJ Future Health conference. Highlights include the closing keynote from Baroness Martha Lane Fox, sustainability from Gareth Thompson and the BMJ Partner event on the Future of Society Publishing #medsky #bmjfh #bmjfuturehealth
November 19, 2024 at 7:59 PM
At the @bmj.com Future Health Conference. #medsky
November 19, 2024 at 10:09 AM
Excited to wake up to snow this morning! I love snow! ❄️
November 19, 2024 at 7:45 AM
Subpleural carcinoid tumourlet adjacent to a pulmonary adenocarcinoma #PathSky #Pulmpath
November 18, 2024 at 10:38 PM
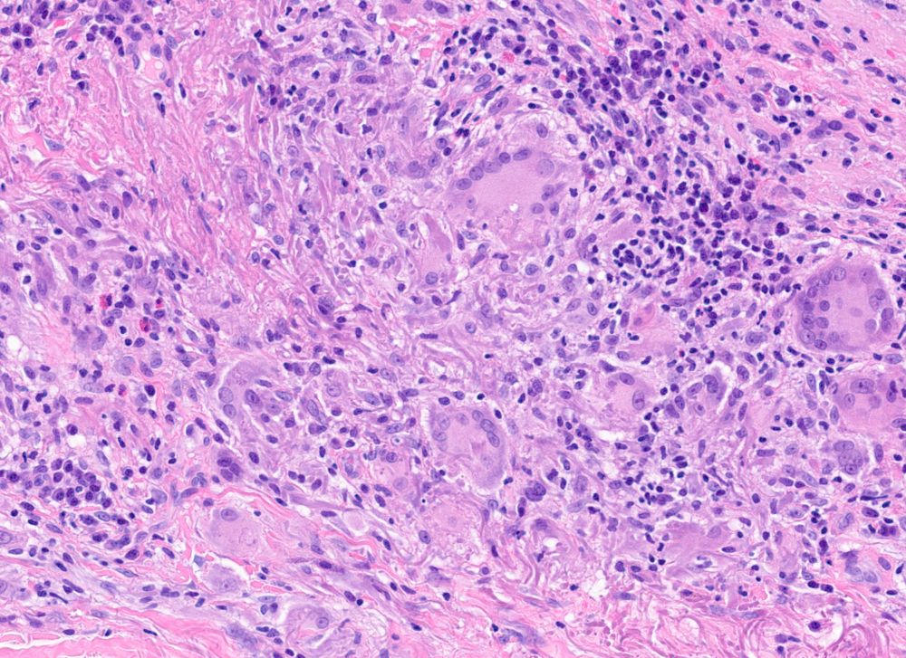
It’s an actinic granuloma sort of evening. The giant cells are enjoying their supper 🤣 #PathSky #dermpath
November 18, 2024 at 9:24 PM
Still the coolest mitosis I’ve found. #pathology #pathsky
November 17, 2024 at 11:40 PM
Been into fungus walks lately. Found this cool fungus on a fallen tree!
November 17, 2024 at 11:40 PM
Found this pretty heart in a lung specimen recently ❤️🫁 #pathology #PathSky
November 17, 2024 at 11:40 PM