#sca27b
Check out our latest review in NRN on sporadic late-onset cerebellar ataxia:

nature.com/articles/s4158…

In this article, we integrated
- The 2022 diagnostic criteria for Multiple System Atrophy
- Emerging biomarkers,
- Advances in SLOCA genetics (SCA27B, CANVAS)
- The future perspectives in SLOCA
https://nature.com/articles/s4158…
September 29, 2025 at 7:08 PM
Advancing molecular, phenotypic and mechanistic insights of FGF14 pathogenic expansions (SCA27B) https://www.medrxiv.org/content/10.1101/2024.01.15.23300194v1
Advancing molecular, phenotypic and mechanistic insights of FGF14 pathogenic expansions (SCA27B) https://www.medrxiv.org/content/10.1101/2024.01.15.23300194v1
Repeat expansions in the FGF14 gene have recently been identified as a frequent cause of autosomal d
www.medrxiv.org
January 16, 2024 at 3:41 PM
Genetic testing for SCA27B in Korean Multiple System Atrophy https://www.medrxiv.org/content/10.1101/2024.10.21.24315855v1
Genetic testing for SCA27B in Korean Multiple System Atrophy https://www.medrxiv.org/content/10.1101/2024.10.21.24315855v1
FGF14 (GAA)n repeat expansions are a common cause of idiopathic late-onset ataxia (SCA27B). The cere
www.medrxiv.org
October 22, 2024 at 11:26 PM
No cognitive issues at all here. Well, not yet anyway. Idiopathic too (but SCA27b does sound all too similar- not tested for the gene yet - as still incurable even if diagnosed, and have to go to Kilmarnock from Maybole for test, so will just do when I'm going up anyway).
November 23, 2024 at 4:58 PM
Somatic instability of the FGF14-SCA27B GAA·TTC repeat reveals a marked expansion bias in the cerebellum https://www.medrxiv.org/content/10.1101/2024.07.01.24309777v1
Somatic instability of the FGF14-SCA27B GAA·TTC repeat reveals a marked expansion bias in the cerebellum https://www.medrxiv.org/content/10.1101/2024.07.01.24309777v1
Spinocerebellar ataxia 27B (SCA27B) is a common autosomal dominant ataxia caused by an intronic GAA{
www.medrxiv.org
July 3, 2024 at 9:40 PM
La repetición GAA•TTC en FGF14-SCA27B muestra una marcada expansión somática, especialmente en el cerebelo.
Estudio completo aquí: [Somatic instability of the FGF14-SCA27B GAA•TTC repeat reveals a marked expansion bias in the cerebellum - PMC]. Más detalles en el hilo ⬇️
August 8, 2025 at 10:54 AM
Open Access UCL Research: Screening for SCA27B, CANVAS and other repeat expansion disorders in Greek patients with late-onset cerebellar ataxia suggests a need to update current diagnostic algorithms discovery.ucl.ac.uk/id/eprint/10...
Screening for SCA27B, CANVAS and other repeat expansion disorders in Greek patients with late-onset cerebellar ataxia suggests a need to update current diagnostic algorithms - UCL...
UCL Discovery is UCL's open access repository, showcasing and providing access to UCL research outputs from all UCL disciplines.
discovery.ucl.ac.uk
November 27, 2025 at 10:23 AM
7/ Conclusión del estudio: La expansión del GAA•TTC en FGF14 tiene un sesgo específico hacia el cerebelo. Esto podría explicar por qué la SCA27B afecta de forma tan “pura” al cerebelo y no a otras regiones cerebrales.
August 8, 2025 at 10:54 AM
Glad you're generally adapting well. We just learned we have ataxia (sca27b) in my household & just knowing what's going on seems to help with the coping. Oh! You knocked over another drink! It's ataxia!
December 1, 2024 at 8:50 PM
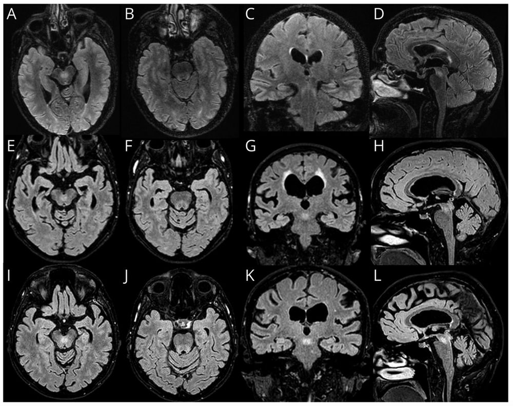
The superior cerebellar peduncle has been *the* imaging clue for POLR3A-related late-onset spastic ataxia. It has now been reported in 60% of a cohort of 87 patients with GAA-FGF14 ataxia (SCA27B), independent of disease duration or GAA size (≤300 vs >300).

www.neurology.org/doi/10.1212/...
March 2, 2025 at 2:05 PM
Open Access UCL Research: Somatic instability of the FGF14-SCA27B GAA•TTC repeat reveals a marked expansion bias in the cerebellum discovery.ucl.ac.uk/id/eprint/10...
Somatic instability of the FGF14-SCA27B GAA•TTC repeat reveals a marked expansion bias in the cerebellum - UCL Discovery
UCL Discovery is UCL's open access repository, showcasing and providing access to UCL research outputs from all UCL disciplines.
discovery.ucl.ac.uk
October 15, 2025 at 10:01 AM
FGF14 repeat length and mosaic interruptions: modifiers of SCA27b? https://www.medrxiv.org/content/10.1101/2024.11.21.24317532v1
FGF14 repeat length and mosaic interruptions: modifiers of SCA27b? https://www.medrxiv.org/content/10.1101/2024.11.21.24317532v1
Deep intronic FGF14 repeat expansions have been identified as a frequent genetic cause of late-onset
www.medrxiv.org
November 23, 2024 at 6:40 AM
My bestie sent me a book. I always open a new book to a random page and snap a pic, then send said pic back to her. This random page was perfect for the absolute "why me" day I was having. ❤️My bestie Bbq62! #fuckataxia #sca27b #fucknystagmus
March 20, 2025 at 11:25 PM
Open Access UCL Research: A common flanking variant is associated with enhanced stability of the FGF14-SCA27B repeat locus discovery.ucl.ac.uk/id/eprint/10...
A common flanking variant is associated with enhanced stability of the FGF14-SCA27B repeat locus - UCL Discovery
UCL Discovery is UCL's open access repository, showcasing and providing access to UCL research outputs from all UCL disciplines.
discovery.ucl.ac.uk
September 12, 2025 at 1:56 PM
🧵1/ La Ataxia espinocerebelosa tipo 27B(SCA27B) es una ataxia autosómica dominante causada por una expansión GAA•TTC en el gen FGF14.
Clínicamente: pérdida de coordinación y equilibrio.
Neuropatología: pérdida neuronal casi exclusiva del cerebelo. Pero…¿por qué tan selectivo?
August 8, 2025 at 10:54 AM
Neuroradiological findings in GAA-FGF14 ataxia (SCA27B): more than cerebellar atrophy. https://www.medrxiv.org/content/10.1101/2024.02.16.24302945v1
Neuroradiological findings in GAA-FGF14 ataxia (SCA27B): more than cerebellar atrophy. https://www.medrxiv.org/content/10.1101/2024.02.16.24302945v1
Background and Objectives GAA-FGF14 ataxia (SCA27B) is a recently reported late-onset cerebellar ata
www.medrxiv.org
February 18, 2024 at 8:27 PM