#PCR
Schon seit 2 Wochen drin. Morgen gibt es noch Influenza. Die ist dieses Jahr auch verdammt früh dran (hatten schon den ersten positiven PCR-Test).
November 12, 2025 at 5:44 PM
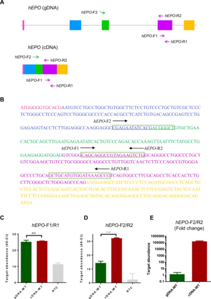
Gene doping is prohibited in sport, but it can be tough to detect. Authors found quantitative real-time PCR assays can detect transgenic human EPO (hEPO), but not when the hEPO gene has codon changes. Un-biased, sequencing-based detection tools are needed. #antidoping

www.nature.com/articles/s41...
Codon changes challenge PCR-based gene doping detection - Gene Therapy
Gene Therapy - Codon changes challenge PCR-based gene doping detection
www.nature.com
November 12, 2025 at 4:25 PM
yeah you got this!!!! a urologist might know more about PCR tests but I really dk how it works up there. I think it would just be good to rule out an infection.
November 12, 2025 at 3:45 PM
Aviation weather for German Olano airport in Puerto Carreño area (Colombia) is “SKPC 121500Z 05004KT 350V120 9999 SCT020 30/25 Q1012” : See what it means on https://www.bigorre.org/aero/meteo/skpc/en #germanolanoairport #airport #puertocarreno #colombia #skpc #pcr #metar #aviation […]
Original post on mastodon.social
mastodon.social
November 12, 2025 at 3:42 PM
In Ovo Sexing and Genotyping using PCR techniques: A Contribution to the 3R Principles in Chicken Breeding https://www.biorxiv.org/content/10.1101/2025.11.11.687802v1
November 12, 2025 at 3:35 PM
In Ovo Sexing and Genotyping using PCR techniques: A Contribution to the 3R Principles in Chicken Breeding https://www.biorxiv.org/content/10.1101/2025.11.11.687802v1
November 12, 2025 at 3:35 PM
UGHHHHHHH I'm so sorry. I wish I could help more all the PCR test manufacturers I know are in the US
November 12, 2025 at 3:24 PM
In clinical testing, the RSV test had 94% positive agreement with PCR for subjects within 5 days of symptom onset.
www.accessdata.fda.gov/cdrh_docs/re...
November 12, 2025 at 3:22 PM
i told them pyridium was making me sick and they were like "uhh who told you about pcr tests i dont even think we offer them for urine in this province" and then were like "well we can give you opioids if you dont want the pyridium" and im like no ill stick with the violent nausea thanks
November 12, 2025 at 3:03 PM
@gaycowboyjesus.bsky.social i thought you would find it funny they offered me opioids when i asked for a pcr test
November 12, 2025 at 3:00 PM
6 hours in the thermocycler later
November 12, 2025 at 2:55 PM
🆕📝 A new study in Academic Emergency Medicine evaluated the impact of a rapid (~15 min) multiplex PCR test — using the BIOFIRE® SPOTFIRE® System — on #antibiotic prescribing, provider confidence, patient satisfaction, and emergency department (ED) length of stay.

#MedSky #Diagnostics
Point‐Of‐Care Respiratory Diagnosis and Antibiotic Utilization in the Emergency Department: A Prospective Evaluation of Multiplex PCR
Rapid multiplex point-of-care (POC) PCR tests may reduce unnecessary antibiotic prescribing by quickly identifying viral etiologies in patients with acute respiratory infections (ARI). We evaluated the impact of a rapid (~15 min) multiplex PCR test on antibiotic prescribing, provider confidence, patient satisfaction, and emergency department (ED) length of stay (LOS).
spkl.io
November 12, 2025 at 2:51 PM
I am seeing a lot of people saying "everyone's ill, it's covid but no one is testing". Some thoughts: if we could distinguish the respiratory illnesses on cough & cold symptoms alone, we would not need PCR & bacterial culture; and actually, the data *from testing* says it's the common cold or flu.
November 12, 2025 at 1:45 PM
🎯 Post liver tx; agitation, hypersalivation, dystonia & dysphagia

🧠 T2/FLAIR hyperintensity frontal lobes (orange), hippocampi (green), thalami, caudate (yellow), and pons

⚠️ Rapid deterioration. Rabies encephalitis confirmed on PCR & antibody testing

👤 Sara Alharbi, radiopaedia.org/cases/66201
November 12, 2025 at 12:41 PM
Yes it is!!! I also love that it can hold both eppies and PCR tubes, super convenient 🤩
November 12, 2025 at 11:47 AM
Real-Time PCR (qPCR) Market Poised to Growth USD 10.8 Million by 2032 with Thriving CAGR of 5.00% www.einpresswire.com/article/7786...
Real-Time PCR (qPCR) Market Poised to Growth USD 10.8 Million by 2032 with Thriving CAGR of 5.00%
Real-Time PCR (qPCR) Market Insights: Used extensively in diagnostics, life sciences, and environmental testing
www.einpresswire.com
November 12, 2025 at 11:18 AM
Polymerase Chain Reaction (PCR) Market Revenue Estimated 35.09 (USD Billion) till 2034, Driving Technology, Demands and Global Trends www.barchart.com/story/news/3...
Polymerase Chain Reaction (PCR) Market Revenue Estimated 35.09 (USD Billion) till 2034, Driving Technology, Demands and Global Trends
"Polymerase Chain Reaction (PCR) Market"Growing demand for advanced diagnostic methods, the rise in the number of Contract Research Organizations (CROs), forensic and research laboratories, prenatal g...
www.barchart.com
November 12, 2025 at 11:17 AM
drehen, kannst du gegen wiederholte Einzelinfektionen im Nahbereich nichts machen. Ich vermisse die Zeit, als die Kita selbst jedes Kind testen durfte und Gruppen-PCR gemacht hat. Es wäre längst ausgestanden. Aber FREIHEIT! Ich bin wegen meines #PostCovid-Schubs krank geschrieben und habe /
November 12, 2025 at 8:42 AM
원익피앤이는 2차전지 제조 분야에서 포메이션 및 사이클러 장비,

PCR 솔루션을 중심으로 운영되는 기업,

최근 흑자 전환과 수익성 위주의 체질 개편을 진행 중.

국내외 대형 배터리 제조사와 협력하며 글로벌 시장에서 성장세를 기록,

2025년에는 연결 매출 2,215억 원을 목표로 하고 있다

다변화된 고객 기반과 효율적인 생산 기술로 지속 가능한 경쟁력을 확보

원익피앤이는 단기·중장기 구조적 모멘텀 모두 살아있는 종목이나, 단기 랠리 후 변동성 확대와 경쟁 심화, #원익피앤이
실적흑자+수주확대! 💡 원익피앤이 투자 전략 TOP3
원익피앤이는 2차전지 제조 분야에서 포메이션 및 사이클러 장비, PCR 솔루션을 중심으로 운영되는 기업, 최근 흑자 전환과 수익성 위주의 체질 개편을 진행 중. 국내외 대형 배터리 제조사와 협력하며 글로벌 시장에서 성장세를 기록, 2025년에는 연결 매출 2,215억 원을 목표로 하고 있다 다변화된 고객 기반과 효율적인 생산 기술로 지속 가능한 경쟁력을 확보.
stockhandbook.blog
November 12, 2025 at 8:14 AM
At his 1996 PCR hearing, during Wright's cross-examination of a veteran police detective James Dugan, the detective confessed to police misconduct in his case.
2/3
November 12, 2025 at 4:42 AM
Isaac Wright jr.
#isaacwrightjr
From Wikipedia:
With his direct appeal over, Wright motioned the trial court for Post Conviction Relief (PCR), claiming police and prosecutorial misconduct in his case. 1/3
November 12, 2025 at 4:42 AM
Using quantitative PCR, the researchers assessed the gut microbiome and calculated dietary indices like total antioxidant capacity, healthy eating, and inflammation. They found distinct microbial profiles across the groups, with healthier diets linked to beneficial gut bacteria.
November 12, 2025 at 2:15 AM
HOKi Packaging PCR Plastic Tubes, featuring disc lids and PCR material, offer excellent flexibility. Each squeeze delivers a satisfying user experience, suitable for diverse products and bringing a fresh take on packaging!
#packagingsupplies #packagingsolutions #glassbottle #hokipackaging
November 12, 2025 at 1:43 AM
Agree, Pluslife is PCR-level accuracy. It's part of our toolkit too. You can pool 4 people to a test, which makes the cost more reasonable.
November 12, 2025 at 1:05 AM