#slidearchiveseries renal oncocytoma #gupath
🔬solid-nested growth, edematous stroma
🎨 CD117 positive, CK7 negative or scattered single/small clusters of positive cells, Hale collodial iron negative (apical luminal positivity may be seen)
🔬solid-nested growth, edematous stroma
🎨 CD117 positive, CK7 negative or scattered single/small clusters of positive cells, Hale collodial iron negative (apical luminal positivity may be seen)
December 11, 2024 at 3:30 AM
#slidearchiveseries renal oncocytoma #gupath
🔬solid-nested growth, edematous stroma
🎨 CD117 positive, CK7 negative or scattered single/small clusters of positive cells, Hale collodial iron negative (apical luminal positivity may be seen)
🔬solid-nested growth, edematous stroma
🎨 CD117 positive, CK7 negative or scattered single/small clusters of positive cells, Hale collodial iron negative (apical luminal positivity may be seen)
Any other #gupath tweeps ? how to incorporate tertiary Gleason Patterns into Grade Groups? e.g., 4+3=7 w/tertiary 5 might belong in GG 4, based on language from original pubs (but not WHO book) & fig from@GladellPaner @rovingatuscap @Williamson_SR
ncbi.nlm.nih.gov/pubmed/26542947
ncbi.nlm.nih.gov/pubmed/26542947
December 5, 2024 at 4:35 PM
Any other #gupath tweeps ? how to incorporate tertiary Gleason Patterns into Grade Groups? e.g., 4+3=7 w/tertiary 5 might belong in GG 4, based on language from original pubs (but not WHO book) & fig from@GladellPaner @rovingatuscap @Williamson_SR
ncbi.nlm.nih.gov/pubmed/26542947
ncbi.nlm.nih.gov/pubmed/26542947
See you at #USCAP2025 #GUpath
📅 3-22 | 1-5 PM | 📍 Consultation Conference on IDCP (ISUP & GUPS)
📅 3-23 | 1:30-2 PM |📍 ISUP Annual General Meeting
📅 3-23 | 2-4 PM | 📍Companion Meeting
📅 3-24 | 5:30-6:30 PM |📍 ISUP Reception
📅 3-24 | 7-10 PM | 🍽 24th Grawitz Dinner | Serafina Seaport
📅 3-22 | 1-5 PM | 📍 Consultation Conference on IDCP (ISUP & GUPS)
📅 3-23 | 1:30-2 PM |📍 ISUP Annual General Meeting
📅 3-23 | 2-4 PM | 📍Companion Meeting
📅 3-24 | 5:30-6:30 PM |📍 ISUP Reception
📅 3-24 | 7-10 PM | 🍽 24th Grawitz Dinner | Serafina Seaport
March 12, 2025 at 11:00 AM
See you at #USCAP2025 #GUpath
📅 3-22 | 1-5 PM | 📍 Consultation Conference on IDCP (ISUP & GUPS)
📅 3-23 | 1:30-2 PM |📍 ISUP Annual General Meeting
📅 3-23 | 2-4 PM | 📍Companion Meeting
📅 3-24 | 5:30-6:30 PM |📍 ISUP Reception
📅 3-24 | 7-10 PM | 🍽 24th Grawitz Dinner | Serafina Seaport
📅 3-22 | 1-5 PM | 📍 Consultation Conference on IDCP (ISUP & GUPS)
📅 3-23 | 1:30-2 PM |📍 ISUP Annual General Meeting
📅 3-23 | 2-4 PM | 📍Companion Meeting
📅 3-24 | 5:30-6:30 PM |📍 ISUP Reception
📅 3-24 | 7-10 PM | 🍽 24th Grawitz Dinner | Serafina Seaport
#publicationalert 🚨
Isolated nodal disease post-NAC linked to higher recurrence, not worse survival after cystectomy #gupath
🔗 pubmed.ncbi.nlm.nih.gov/40250715/
Isolated nodal disease post-NAC linked to higher recurrence, not worse survival after cystectomy #gupath
🔗 pubmed.ncbi.nlm.nih.gov/40250715/
Differential Outcomes in Bladder Cancer After Neoadjuvant Chemotherapy: An International Multi-Institutional Study Comparing Isolated Nodal Disease versus Persistent Muscle-Invasive Disease - PubMed
Patients with isolated lymph node disease, despite complete local response after NAC, demonstrate higher recurrence risk compared to those with persistent muscle-invasive disease, although this does n...
pubmed.ncbi.nlm.nih.gov
April 20, 2025 at 12:25 AM
#publicationalert 🚨
Isolated nodal disease post-NAC linked to higher recurrence, not worse survival after cystectomy #gupath
🔗 pubmed.ncbi.nlm.nih.gov/40250715/
Isolated nodal disease post-NAC linked to higher recurrence, not worse survival after cystectomy #gupath
🔗 pubmed.ncbi.nlm.nih.gov/40250715/
#slidearchiveseries embryonal carcinoma #gupath #pathsky
🔬 pseudoendodermal sinus-like
🎨 OCT4
📑 pubmed.ncbi.nlm.nih.gov/29129333/
🏥 history of epididymo-orchitis; enlarged testicle with a heterogeneous mass-like area (increasing in size), serum tumor markers not known
🔬 pseudoendodermal sinus-like
🎨 OCT4
📑 pubmed.ncbi.nlm.nih.gov/29129333/
🏥 history of epididymo-orchitis; enlarged testicle with a heterogeneous mass-like area (increasing in size), serum tumor markers not known
December 12, 2024 at 11:17 PM
#slidearchiveseries embryonal carcinoma #gupath #pathsky
🔬 pseudoendodermal sinus-like
🎨 OCT4
📑 pubmed.ncbi.nlm.nih.gov/29129333/
🏥 history of epididymo-orchitis; enlarged testicle with a heterogeneous mass-like area (increasing in size), serum tumor markers not known
🔬 pseudoendodermal sinus-like
🎨 OCT4
📑 pubmed.ncbi.nlm.nih.gov/29129333/
🏥 history of epididymo-orchitis; enlarged testicle with a heterogeneous mass-like area (increasing in size), serum tumor markers not known
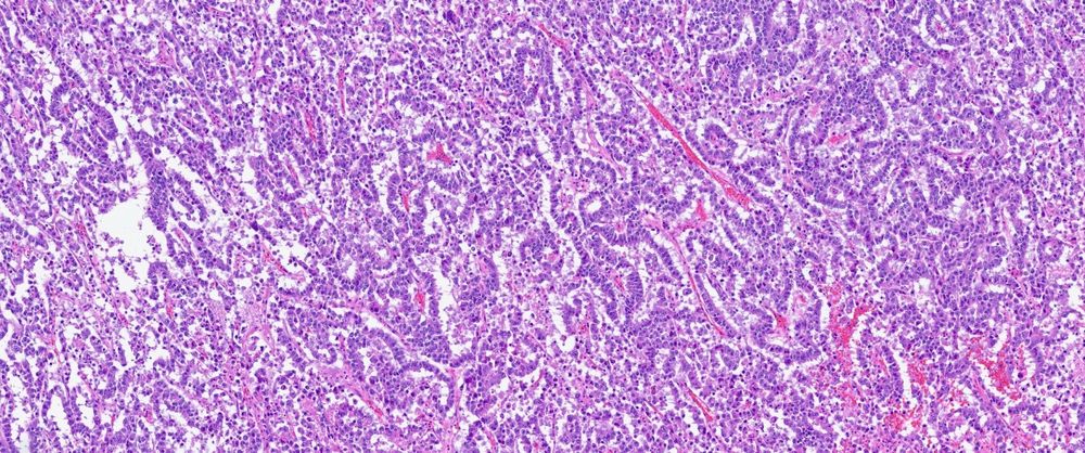
#slidearchiveseries urothelial carcinoma, high grade, muscle invasive, pT2 #gupath #bladdertumor #pathsky
December 11, 2024 at 11:23 AM
#slidearchiveseries urothelial carcinoma, high grade, muscle invasive, pT2 #gupath #bladdertumor #pathsky
👩🏻💻 #readinglist #pathreads
📊 Inconsistent examination in post-NACT cystectomies with no gross lesion
🗳️ Majority supports standardized protocols #gupath #pathsky
📄 academic.oup.com/ajcp/article...
📊 Inconsistent examination in post-NACT cystectomies with no gross lesion
🗳️ Majority supports standardized protocols #gupath #pathsky
📄 academic.oup.com/ajcp/article...
February 1, 2025 at 12:53 PM
👩🏻💻 #readinglist #pathreads
📊 Inconsistent examination in post-NACT cystectomies with no gross lesion
🗳️ Majority supports standardized protocols #gupath #pathsky
📄 academic.oup.com/ajcp/article...
📊 Inconsistent examination in post-NACT cystectomies with no gross lesion
🗳️ Majority supports standardized protocols #gupath #pathsky
📄 academic.oup.com/ajcp/article...
Who missed the #gupath lecture from Dr. Katrina Collins @katcollmd.bsky.social? Recorded lecture is available for all at the following link: www.youtube.com/@isuppresent...
Available for ~1 week for all to view, archived talks available to #ISUP members at any time!! isupweb.org
Available for ~1 week for all to view, archived talks available to #ISUP members at any time!! isupweb.org
🚨 ISUP Presents.....
🔬 Dr. Katrina Collins on "Treatment-related Changes in the Prostate"
📅 12 December 2024 at 1pm EST via Zoom @katcollmd @iupathology @IndianaPath @IUHealthPhys
Register here: us06web.zoom.us/webinar/regi...
🔬 Dr. Katrina Collins on "Treatment-related Changes in the Prostate"
📅 12 December 2024 at 1pm EST via Zoom @katcollmd @iupathology @IndianaPath @IUHealthPhys
Register here: us06web.zoom.us/webinar/regi...
December 17, 2024 at 3:05 AM
Who missed the #gupath lecture from Dr. Katrina Collins @katcollmd.bsky.social? Recorded lecture is available for all at the following link: www.youtube.com/@isuppresent...
Available for ~1 week for all to view, archived talks available to #ISUP members at any time!! isupweb.org
Available for ~1 week for all to view, archived talks available to #ISUP members at any time!! isupweb.org
#slidearchiveseries prostatic adenocarcinoma with mucinous component #gupath #pathsky
✅ prognosis similar to non-mucinous cancers of similar Gleason score
✅ subtract mucin, grade based on underlying architecture
✅ mucin present (≤25 🆚 >25%)
✅ final classification on resection
✅ prognosis similar to non-mucinous cancers of similar Gleason score
✅ subtract mucin, grade based on underlying architecture
✅ mucin present (≤25 🆚 >25%)
✅ final classification on resection
December 12, 2024 at 3:15 AM
#slidearchiveseries prostatic adenocarcinoma with mucinous component #gupath #pathsky
✅ prognosis similar to non-mucinous cancers of similar Gleason score
✅ subtract mucin, grade based on underlying architecture
✅ mucin present (≤25 🆚 >25%)
✅ final classification on resection
✅ prognosis similar to non-mucinous cancers of similar Gleason score
✅ subtract mucin, grade based on underlying architecture
✅ mucin present (≤25 🆚 >25%)
✅ final classification on resection
Don’t miss out on this great topic with detailed review for the 4️⃣th quarter of 2024 #gupath
Review by: Francesca Sanguedolce
#ISUP Journal Club Archives: isupweb.org/isup/blog/jo...
FREE LINK to @AJSPjournal article
journals.lww.com/ajsp/fulltex...
Review by: Francesca Sanguedolce
#ISUP Journal Club Archives: isupweb.org/isup/blog/jo...
FREE LINK to @AJSPjournal article
journals.lww.com/ajsp/fulltex...
January 4, 2025 at 1:22 AM
Don’t miss out on this great topic with detailed review for the 4️⃣th quarter of 2024 #gupath
Review by: Francesca Sanguedolce
#ISUP Journal Club Archives: isupweb.org/isup/blog/jo...
FREE LINK to @AJSPjournal article
journals.lww.com/ajsp/fulltex...
Review by: Francesca Sanguedolce
#ISUP Journal Club Archives: isupweb.org/isup/blog/jo...
FREE LINK to @AJSPjournal article
journals.lww.com/ajsp/fulltex...
New #prostatecancer Gleason Grade Groups challenged by ISUP, world's largest #gupath org.
December 5, 2024 at 4:32 PM
New #prostatecancer Gleason Grade Groups challenged by ISUP, world's largest #gupath org.
❌Superficial (Umbrella) cells
The cytoplasm of superficial (umbrella) cells is frothy and abundant, resulting in a low N:C.
Multinucleation is common, especially in instrumented samples
#GUPath #CytoPath #PathSky #PathTwitter
The cytoplasm of superficial (umbrella) cells is frothy and abundant, resulting in a low N:C.
Multinucleation is common, especially in instrumented samples
#GUPath #CytoPath #PathSky #PathTwitter
April 10, 2025 at 10:46 AM
❌Superficial (Umbrella) cells
The cytoplasm of superficial (umbrella) cells is frothy and abundant, resulting in a low N:C.
Multinucleation is common, especially in instrumented samples
#GUPath #CytoPath #PathSky #PathTwitter
The cytoplasm of superficial (umbrella) cells is frothy and abundant, resulting in a low N:C.
Multinucleation is common, especially in instrumented samples
#GUPath #CytoPath #PathSky #PathTwitter
chromophobe renal cell carcinoma showing its true colors! #gupath #kidneytumor #pathsky #pathoutpic
🎨 collodial iron special stain 🔵💥
🎨 collodial iron special stain 🔵💥
December 11, 2024 at 11:22 AM
chromophobe renal cell carcinoma showing its true colors! #gupath #kidneytumor #pathsky #pathoutpic
🎨 collodial iron special stain 🔵💥
🎨 collodial iron special stain 🔵💥
March 1, 2025 at 3:10 PM
Yesterday’s jointly hosted event was a success! We had ~150 in-person & 100+ online attendees. Experts delivered lectures that sparked lively discussions—as expected. More to come from the insights gained at this meeting! #gupath #uscap2025 @GU_Path_Society
March 23, 2025 at 12:37 PM
Yesterday’s jointly hosted event was a success! We had ~150 in-person & 100+ online attendees. Experts delivered lectures that sparked lively discussions—as expected. More to come from the insights gained at this meeting! #gupath #uscap2025 @GU_Path_Society
#slidearchiveseries urothelial carcinoma, plasmacytoid variant #gupath #pathsky #pathoutpic
🔬discohesive single tumor cells, eccentrically placed nuclei, eosinophilic cytoplasm
💥high grade, poor prognosis
🙅🏻♀️do not use CD138 in isolation to distinguish from plasma cells
🔬discohesive single tumor cells, eccentrically placed nuclei, eosinophilic cytoplasm
💥high grade, poor prognosis
🙅🏻♀️do not use CD138 in isolation to distinguish from plasma cells
December 12, 2024 at 8:11 PM
#slidearchiveseries urothelial carcinoma, plasmacytoid variant #gupath #pathsky #pathoutpic
🔬discohesive single tumor cells, eccentrically placed nuclei, eosinophilic cytoplasm
💥high grade, poor prognosis
🙅🏻♀️do not use CD138 in isolation to distinguish from plasma cells
🔬discohesive single tumor cells, eccentrically placed nuclei, eosinophilic cytoplasm
💥high grade, poor prognosis
🙅🏻♀️do not use CD138 in isolation to distinguish from plasma cells
#macrovsmicro radical nephrectomy, sarcomatoid components comprise sizeable areas displaying dense, tan-pink, or white areas within the tumor, typically with a firm and fleshy texture on cut surface #gupath #pathsky #kidneytumor
February 22, 2025 at 1:52 AM
#macrovsmicro radical nephrectomy, sarcomatoid components comprise sizeable areas displaying dense, tan-pink, or white areas within the tumor, typically with a firm and fleshy texture on cut surface #gupath #pathsky #kidneytumor
#slidearchiveseries urothelial carcinoma, clear cell (glycogen-rich) #gupath
🎨 IHC profile similar to conventional urothelial carcinoma (GATA3, p63)
⚠️ distinguish from metastatic CCRCC and clear cell adenocarcinoma
🎨 IHC profile similar to conventional urothelial carcinoma (GATA3, p63)
⚠️ distinguish from metastatic CCRCC and clear cell adenocarcinoma
March 29, 2025 at 3:38 PM
#slidearchiveseries urothelial carcinoma, clear cell (glycogen-rich) #gupath
🎨 IHC profile similar to conventional urothelial carcinoma (GATA3, p63)
⚠️ distinguish from metastatic CCRCC and clear cell adenocarcinoma
🎨 IHC profile similar to conventional urothelial carcinoma (GATA3, p63)
⚠️ distinguish from metastatic CCRCC and clear cell adenocarcinoma
Beautiful example of #amyloid in the bladder wall - courtesy of @magicmel.bsky.social - when this well-circumscribed can mimic muscularis propria at low magnification #gupath
Amyloid! Everyone’s favourite exam question. Seen here in a bladder biopsy for investigation of haematuria. A not uncommon isolated finding in this location. Amorphous eosinophilic material in the lamina propria, in this case associated with vessel walls. #pathsky #pathresidents
November 20, 2024 at 6:16 PM
Beautiful example of #amyloid in the bladder wall - courtesy of @magicmel.bsky.social - when this well-circumscribed can mimic muscularis propria at low magnification #gupath
#slidearchivenseries urothelial carcinoma, plasmacytoid variant #gupath #pathsky
📸 cystectomy after TURBT, irregular area of ulceration on bladder wall with no distinct mass, submitted entirely
🔬deeply infiltrating, discohesive small clusters and single tumor cells
📸 cystectomy after TURBT, irregular area of ulceration on bladder wall with no distinct mass, submitted entirely
🔬deeply infiltrating, discohesive small clusters and single tumor cells
December 12, 2024 at 11:06 PM
#slidearchivenseries urothelial carcinoma, plasmacytoid variant #gupath #pathsky
📸 cystectomy after TURBT, irregular area of ulceration on bladder wall with no distinct mass, submitted entirely
🔬deeply infiltrating, discohesive small clusters and single tumor cells
📸 cystectomy after TURBT, irregular area of ulceration on bladder wall with no distinct mass, submitted entirely
🔬deeply infiltrating, discohesive small clusters and single tumor cells
The resected specimen demonstrates numerous mitoses & "cigar-shape" nuclei ─ a "buzzword" for ____
A) PEComa
B) Malignant peripheral nerve sheath tumor
C) Leiomyosarcoma
D) Rhabdomyosarcoma
#CytoPath #GUPath #Pathology #PathSky
A) PEComa
B) Malignant peripheral nerve sheath tumor
C) Leiomyosarcoma
D) Rhabdomyosarcoma
#CytoPath #GUPath #Pathology #PathSky
April 21, 2025 at 11:33 AM
The resected specimen demonstrates numerous mitoses & "cigar-shape" nuclei ─ a "buzzword" for ____
A) PEComa
B) Malignant peripheral nerve sheath tumor
C) Leiomyosarcoma
D) Rhabdomyosarcoma
#CytoPath #GUPath #Pathology #PathSky
A) PEComa
B) Malignant peripheral nerve sheath tumor
C) Leiomyosarcoma
D) Rhabdomyosarcoma
#CytoPath #GUPath #Pathology #PathSky
December 2, 2024 at 7:09 PM
Go to isupweb.net to see more of the case! #gupath #pathtwitter #ISUPCOTM
Authors: Lisha Wang, MD, PhD, Yue Sun, MD; Department of Pathology, Beth Israel Deaconess Medical Center, Harvard Medical School, Boston, Massachusetts, USA
Authors: Lisha Wang, MD, PhD, Yue Sun, MD; Department of Pathology, Beth Israel Deaconess Medical Center, Harvard Medical School, Boston, Massachusetts, USA
September 3, 2025 at 1:33 AM
Go to isupweb.net to see more of the case! #gupath #pathtwitter #ISUPCOTM
Authors: Lisha Wang, MD, PhD, Yue Sun, MD; Department of Pathology, Beth Israel Deaconess Medical Center, Harvard Medical School, Boston, Massachusetts, USA
Authors: Lisha Wang, MD, PhD, Yue Sun, MD; Department of Pathology, Beth Israel Deaconess Medical Center, Harvard Medical School, Boston, Massachusetts, USA
Polycystic Horseshoe Kidney - coincidental association of ADPKD and horseshoe kidney. Incidence estimated to be between 1 in 134,000 to 8,000,000 live births. Case contributed to WebPathology by Dr. Nupur Pradhan, PGIMER, Chandigarh, India. #gupath
January 1, 2025 at 3:59 PM
Polycystic Horseshoe Kidney - coincidental association of ADPKD and horseshoe kidney. Incidence estimated to be between 1 in 134,000 to 8,000,000 live births. Case contributed to WebPathology by Dr. Nupur Pradhan, PGIMER, Chandigarh, India. #gupath
Extra GU, lung, and pancreas cyto cases for today 😉😉👇👇
pathologynotebook.com/cytology-mod...
#CytoPath #GUPath #Pathology #PathSky
pathologynotebook.com/cytology-mod...
#CytoPath #GUPath #Pathology #PathSky
April 21, 2025 at 11:33 AM
Extra GU, lung, and pancreas cyto cases for today 😉😉👇👇
pathologynotebook.com/cytology-mod...
#CytoPath #GUPath #Pathology #PathSky
pathologynotebook.com/cytology-mod...
#CytoPath #GUPath #Pathology #PathSky