Tan-Lucien Mohammed, MD, FACR
banner
tlhm-md.bsky.social
Tan-Lucien Mohammed, MD, FACR
@tlhm-md.bsky.social
🫁🫀 Radiologist by day || 🫁🫀 Radiologist by night, too || Equanimity under duress || RTs, ❤️s, follows ≠ support
November 20, 2025 at 7:31 PM
Happy people focus on what they have.
Unhappy people focus on what they are missing.
#Thoughtoftheday
#Thursdaythought
November 20, 2025 at 12:20 PM
🫁 Portable dynamic digital radiography captures bronchial stenosis in a lung transplant patient, right at the bedside. Real-time cine images reveal diaphragm & lung motion like never before! 📖

#radiology

pubs.rsna.org/doi/10.1148/...
Portable Dynamic Digital Radiography in Bronchial Stenosis after Lung Transplant | Radiology
pubs.rsna.org
November 19, 2025 at 5:43 PM
When things change inside you, things change around you.

#Thoughtoftheday
#Wednesdaythought
November 19, 2025 at 11:54 AM
Reposted by Tan-Lucien Mohammed, MD, FACR
Heard about the #GivingTuesday Challenge with @academyhealth.bsky.social?

Every dollar defends data, evidence & health research.

Help me win this competition while also advancing better health outcomes for all.

Donate ➡️ academyhealth.org/RasuShrestha...
Join my team ➡️ academyhealth.org/TeamRasu
November 18, 2025 at 5:14 PM
November 18, 2025 at 4:58 PM
When you wish good for others, good things come back to you.
This is the law of nature.
#Thoughtoftheday
#Tuesdaythought
November 18, 2025 at 12:11 PM
November marks #LungCancerAwarenessMonth, highlighting the importance of early detection and high-quality imaging. Radiologists are on the frontlines of screening, diagnosis and management, helping improve patient outcomes. 🫁

#radiology

@laurengroner.bsky.social

pubs.rsna.org/doi/10.1148/...
A 20-year Follow-up of the International Early Lung Cancer Action Program (I-ELCAP) | Radiology
The estimated cure rate of 80% using the 10-year lung cancer–specific survival of 484 International Early Lung Cancer Action Program (I-ELCAP) participants reported in 2006 has persisted after 20 y...
pubs.rsna.org
November 17, 2025 at 5:36 PM
Silence and smile are two powerful words.
Smile is the way to solve many problems and silence is the way to avoid many problems.

#Thoughtoftheday
#Mondaythought
November 17, 2025 at 1:55 PM
American College of Radiology updates imaging appropriateness criteria with 13 new topics 📖

radiologybusiness.com/topics/healt...

#radiology
American College of Radiology updates imaging appropriateness criteria with 13 new topics
Its latest update covers scenarios such as abdominal or chest pain in a pediatric patient, chronic pancreatis, and imaging after a liver transplant.
radiologybusiness.com
November 17, 2025 at 4:23 AM
November 16, 2025 at 2:45 PM
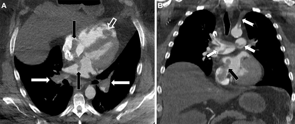
When clots take a detour! CT pulmonary angiography revealed multiple emboli, rt heart strain & thrombus sneaking through an undiagnosed ASD, causing paradoxical embolism w/ clot-in-transit 🫀

#Radiology

@stefantigges.bsky.social
@lameliav.bsky.social

pubs.rsna.org/doi/10.1148/...
Paradoxical Embolism with Clot-in-Transit in Atrial Septal Defect | Radiology
pubs.rsna.org
November 15, 2025 at 4:58 PM
Care about what other people think and you will always be their prisoner - Lao Tzu

#Thoughtoftheday
#Saturdaythought
November 15, 2025 at 11:35 AM
Investigators demonstrate that photon-counting detector (PCD) CT can lower radiation and contrast burden while maintaining diagnostic performance. 📖

#radiology

@mmahesh.bsky.social
@stefantigges.bsky.social

www.ajronline.org/doi/10.2214/...
Spectral Photon-Counting Detector Coronary CTA With Reduced Radiation and Contrast Media Doses in Inflammation-Associated Coronary Artery Disease: A Prospective Study | AJR
Background: Patients with inflammation-associated coronary artery disease (CAD) may exhibit rapid progression and require regular coronary imaging. Objectives: To evaluate the diagnostic performance o...
www.ajronline.org
November 15, 2025 at 12:46 AM
November 14, 2025 at 4:33 PM
Beautiful people are not always good, but good people are always beautiful.

#Thoughtoftheday
#Fridaythought
November 14, 2025 at 1:53 PM
November 13, 2025 at 4:40 PM
Discipline is choosing between-
What you want now
And what you want most

#Thoughtoftheday
#Thursdaythought
November 13, 2025 at 11:58 AM
AI-generated CXR drafts improved reporting efficiency & acceptance over time, while quality & agreement for abnormal cases remained variable. 📖

#radiology
#chestrad

@woojinkim.com
@laurengroner.bsky.social
@rasushrestha.bsky.social

www.jacr.org/article/S154...
Radiologist Interaction with Artificial Intelligence-Generated Preliminary Reports: A Longitudinal Multireader Study
To investigate the integration of multimodal AI-generated reports into radiology workflow over time, focusing on their impact on efficiency, acceptability, and report quality.
www.jacr.org
November 12, 2025 at 10:49 PM
Everyone must choose one of two pains: The pain of discipline or the pain of regret.

#Thoughtoftheday
#Wednesdaythought
November 12, 2025 at 12:36 PM
🥶🐊
November 11, 2025 at 6:06 PM