TheMoxinator
themoxinator.bsky.social
TheMoxinator
@themoxinator.bsky.social
One use for Pervitin: widely distributed among pilots in the Luftwaffe (the Nazi air force) to prime them for the rigors of long missions. Side effect: It stops you from sleeping (duh, it's meth), but it doesn't stop you from feeling fatigued. 👀
November 14, 2025 at 12:00 PM
Really dumb #Youtube - with vpn on you push this, but not if disconnected. Guess you think bots can't be outside of vpn? 😈
November 12, 2025 at 2:02 PM
November 7, 2025 at 11:44 AM
Sandwich Guy Aquitted. 👍

www.nbcnews.com/politics/jus...
November 7, 2025 at 11:38 AM
November 6, 2025 at 5:11 PM
Remember? 🤣
November 5, 2025 at 1:52 PM
🤣
November 3, 2025 at 1:44 PM
November 3, 2025 at 1:17 PM
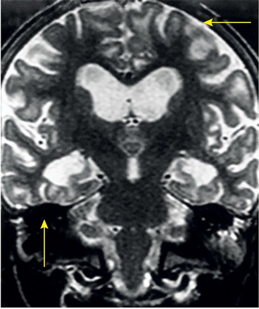
MRI of late-onset congenital syphilis with unusual brain abnormalities
October 27, 2025 at 12:35 PM
According to Bobby Brainworm - eat this, stay healthy.

www.theguardian.com/us-news/2025...
October 26, 2025 at 11:09 AM
TIME Photo Secretly Subverts Trump Cover With Nazi Reference 👍👍👍

www.thedailybeast.com/trumps-newes...
October 25, 2025 at 12:35 PM
Don't hand me 'supply and demand' bull. What's happened with beef prices is plain gouging of Americans mainly due to selling an outsized portion to other countries.

If ya wanna whine got a question for ya - did ya vote for Trump after his 1st term, indictments and felony convictions? If so...
October 21, 2025 at 1:41 PM
NEW FLASH ‼️

Putin donates lost Amber Room for Herr Führer's ballroom!
October 21, 2025 at 1:11 PM
Selling a "fully depreciated" sex trafficked girl to #Trump - #Epstein birthday book, page 156.

#ReleaseEpsteinFiles
October 12, 2025 at 1:19 PM
From #Epstein birthday book, page 155. Pic says it all...

#ReleaseEpsteinFiles
October 12, 2025 at 1:13 PM
Dear Trump's Little Johnson.

Hear me loudly.

You and your party are fascists and enemies of the state. Destroyers of democracy.

End transmission.
September 15, 2025 at 12:39 PM
On the way.
September 8, 2025 at 11:01 AM
Coming to a city near you, compliments of the

G uardians
O f
P edophiles

And #Fascists
September 7, 2025 at 11:56 AM
OMG - The lenghts they're going to to protect a pedophile-in-chief. I think we now know which Little Johnson knocked up Satan. 🤣
September 6, 2025 at 1:58 PM
Cap'n Cankles gets Newsome'd - again. 🤣
September 1, 2025 at 3:26 PM
Keep up the pressure, drive him (more) insane. The emperor has no cloths - or penis.

#Southpark rocks.
August 28, 2025 at 11:52 AM
Creating outrage and grifting over a f***ing logo. Who ever ponied up needs to get a real life. And Crackle Barrel can 🖕off for being such spinless pu**sies.
August 27, 2025 at 1:46 PM
Trump is a punk. Did this so he could replace portrait with one of his buddy and partner in crime. #ReleaseEpsteinFiles

crooksandliars.com/2025/08/out-...
August 11, 2025 at 4:29 PM
And when he's gone sometime between now and January 20, 2028 it will look like this.

www.thedailybeast.com/trump-puts-u...
August 5, 2025 at 1:09 PM
2025 - The year we officially replace the ficticious law firm...

Dewey, Cheatem and Howe

with the real one...

BLANCHE, BONDI and BOVE
July 28, 2025 at 1:16 PM