singjamied.bsky.social
@singjamied.bsky.social
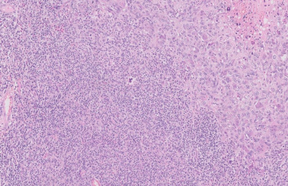
Trying out a post on Blue Sky! Fascinating large cutaneous tumour on an extremity. Pleomorphic / anaplastic sarcomatoid malignant neoplasm with abundant giant cells. I'm interested in areas reminiscent of angiomatoid fibrous histiocytoma at the periphery. IHC to follow. Comments welcome! #pathology
January 16, 2025 at 10:53 AM