Dr. Sara Thomasy (she/hers)
@sarathomasy.bsky.social
A veterinary ophthalmologist @ucdavis, 👁 scientist, & mom looking to make the 🌎 clearer for people & animals. Co-director of CMSTP T32 for DVMs getting their PhD. Views are my own. 🐴🦜🥰
https://covsl.vetmed.ucdavis.edu/
https://covsl.vetmed.ucdavis.edu/
Prospective students, join us for our virtual open house on Oct 30 from 12-1 pm PST to get all your questions answered, register here: ucdavis.zoom.us/meeting/regi...
October 16, 2025 at 9:16 PM
Prospective students, join us for our virtual open house on Oct 30 from 12-1 pm PST to get all your questions answered, register here: ucdavis.zoom.us/meeting/regi...
We had an amazing @GGIPstudents symposium with keynote @quinascience.bsky.social and @ucdavisvetmed.bsky.social associate dean of research and graduate education Danika Bannasch.
September 20, 2025 at 3:36 AM
We had an amazing @GGIPstudents symposium with keynote @quinascience.bsky.social and @ucdavisvetmed.bsky.social associate dean of research and graduate education Danika Bannasch.
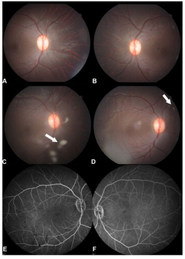
Super excited to contribute to this wonderful work from the Yiu lab @ucd_eyecenter and @CNPRCresearch looking at how systemic lipids and glucose affect drusen progression in a 🐒 model. doi.org/10.1167/iovs...
September 19, 2025 at 3:01 PM
Super excited to contribute to this wonderful work from the Yiu lab @ucd_eyecenter and @CNPRCresearch looking at how systemic lipids and glucose affect drusen progression in a 🐒 model. doi.org/10.1167/iovs...
Super proud of Drs. Handel, Lim, and Ripolles-Garcia and Ms. Khan for representing COVSL at the Bay Area Vision Research Day! #visionscience
September 13, 2025 at 2:42 PM
Super proud of Drs. Handel, Lim, and Ripolles-Garcia and Ms. Khan for representing COVSL at the Bay Area Vision Research Day! #visionscience
Super proud of the great research these two STARs - Jillyan and Jennifer - did @ucdavis.bsky.social. This amazing program giving DVMs a summer research experience was partially funded by NIH but sadly no longer. #science #visionscience @altnih4science.bsky.social
September 10, 2025 at 2:14 PM
Super proud of the great research these two STARs - Jillyan and Jennifer - did @ucdavis.bsky.social. This amazing program giving DVMs a summer research experience was partially funded by NIH but sadly no longer. #science #visionscience @altnih4science.bsky.social
How are you acquiring topical ophthalmic ripasudil for clinical trials? My sources in Japan are no longer shipping to the US due to tariffs. I have an ongoing preclinical trial in dogs and need to find it. studypages.com/s/investigat... #visionscience
August 29, 2025 at 2:02 AM
How are you acquiring topical ophthalmic ripasudil for clinical trials? My sources in Japan are no longer shipping to the US due to tariffs. I have an ongoing preclinical trial in dogs and need to find it. studypages.com/s/investigat... #visionscience
First-year ophthalmology resident, Dr. George Thelwell, rocked his first surgery on 🍒 🍅! We use fruit surgical simulants for our initial microsurgical training sessions. #visionscience
August 26, 2025 at 11:47 PM
First-year ophthalmology resident, Dr. George Thelwell, rocked his first surgery on 🍒 🍅! We use fruit surgical simulants for our initial microsurgical training sessions. #visionscience
Dogs get a similar condition to recurrent corneal erosions - we retrospectively review risk factors and treatment success rates for these spontaneous chronic corneal epithelial defects (SCCEDs) @ucdavisvetmed. onlinelibrary.wiley.com/doi/10.1111/...
August 20, 2025 at 4:06 AM
Dogs get a similar condition to recurrent corneal erosions - we retrospectively review risk factors and treatment success rates for these spontaneous chronic corneal epithelial defects (SCCEDs) @ucdavisvetmed. onlinelibrary.wiley.com/doi/10.1111/...
Congrats to @GGIPstudents and COVSL member Dr. Erin Hisey and her mentor @bcleonard on completing her exit seminar for her PhD! The future is super bright for her as she returns to complete her DVM @ucdavisvetmed.🍾🎉🎈#visionscience
August 6, 2025 at 11:57 PM
Congrats to @GGIPstudents and COVSL member Dr. Erin Hisey and her mentor @bcleonard on completing her exit seminar for her PhD! The future is super bright for her as she returns to complete her DVM @ucdavisvetmed.🍾🎉🎈#visionscience
Marie Burns delivers a fantastic talk on the role of microglia and monocytes in retinal degeneration @ucdavis.bsky.social. An amazing way to start the day with #visionscience.
August 5, 2025 at 2:40 PM
Marie Burns delivers a fantastic talk on the role of microglia and monocytes in retinal degeneration @ucdavis.bsky.social. An amazing way to start the day with #visionscience.
Glacier NP was spectacular - #43 for Char and #31 for Sierra. #workLifeBalance
July 19, 2025 at 5:20 PM
Glacier NP was spectacular - #43 for Char and #31 for Sierra. #workLifeBalance
It was a wonderful #ARVO2025 - a few of my favorite memories! I am so proud of the exceptional job our COVSL trainees did presenting their work. @bcleonard #visionscience
May 10, 2025 at 4:38 AM
It was a wonderful #ARVO2025 - a few of my favorite memories! I am so proud of the exceptional job our COVSL trainees did presenting their work. @bcleonard #visionscience
Check out the corneal immune populations in a🐁 model of evaporative dry eye disease by @ucdavisvetmed comparative #Ophthalmology resident Dr. Erinn Mills and her mentor @bcleonard. @arvoinfo.bsky.social
May 8, 2025 at 4:29 PM
Check out the corneal immune populations in a🐁 model of evaporative dry eye disease by @ucdavisvetmed comparative #Ophthalmology resident Dr. Erinn Mills and her mentor @bcleonard. @arvoinfo.bsky.social
Poster sessions now from @bcleonard on a murine dry eye model and @ucdavisvetmed ophthalmology resident Brett Story on gene therapy in a sheep model of Tay-Sachs disease. @ARVOinfo #ARVO2025
May 5, 2025 at 3:27 PM
Poster sessions now from @bcleonard on a murine dry eye model and @ucdavisvetmed ophthalmology resident Brett Story on gene therapy in a sheep model of Tay-Sachs disease. @ARVOinfo #ARVO2025
Come hear a great presentation from UCDavis DVM-PhD student Raneesh Ramarapu on the role of tubulins in corneal development at 10 in Ballroom C! @rogerslabucd.bsky.social @ARVOinfo #ARVO2025
May 5, 2025 at 3:07 PM
Come hear a great presentation from UCDavis DVM-PhD student Raneesh Ramarapu on the role of tubulins in corneal development at 10 in Ballroom C! @rogerslabucd.bsky.social @ARVOinfo #ARVO2025
Uche and Jaeguk rocked their poster presentations. It is so gratifying to see how far these amazing scientists have come! 🥳🤩
May 5, 2025 at 12:15 AM
Uche and Jaeguk rocked their poster presentations. It is so gratifying to see how far these amazing scientists have come! 🥳🤩
COVSL is representing today discussing the advantages and disadvantages of 🐒 and 🐁 models of autosomal dominant optic atrophy @ARVOinfo! See Drs. Jaeguk Lim and Uche Nlebedum present their posters at the 3:15 session. #arvo2025 #visionscience @bcleonard12.bsky.social
May 4, 2025 at 6:38 PM
COVSL is representing today discussing the advantages and disadvantages of 🐒 and 🐁 models of autosomal dominant optic atrophy @ARVOinfo! See Drs. Jaeguk Lim and Uche Nlebedum present their posters at the 3:15 session. #arvo2025 #visionscience @bcleonard12.bsky.social
Sunrise rainbow! What a beautiful morning. 😍
May 3, 2025 at 2:23 PM
Sunrise rainbow! What a beautiful morning. 😍
Super proud of Mia Miesen and William Stoehr for their excellent work on TAZ and tubulins during corneal development at the @ucdavis undergraduate research conference! Kudos to @GGIPstudents Raneesh Ramarapu and @rogerslabucd.bsky.social for the excellent mentorship!
April 26, 2025 at 1:00 PM
Super proud of Mia Miesen and William Stoehr for their excellent work on TAZ and tubulins during corneal development at the @ucdavis undergraduate research conference! Kudos to @GGIPstudents Raneesh Ramarapu and @rogerslabucd.bsky.social for the excellent mentorship!
I ❤️ BTs! My first study on how corneal endothelial dystrophy in this breed could be used as model for Fuchs’ endothelial corneal dystrophy. iovs.arvojournals.org/article.aspx...
April 22, 2025 at 7:44 PM
I ❤️ BTs! My first study on how corneal endothelial dystrophy in this breed could be used as model for Fuchs’ endothelial corneal dystrophy. iovs.arvojournals.org/article.aspx...
I had such a great time visiting @upenn for their vision science seminar series and perfectly timed the 🍒 blossoms. I really enjoyed my lunch with the trainees from the @RompolasLab and @CuiLab - what a bright future they have!
April 22, 2025 at 2:26 AM
I had such a great time visiting @upenn for their vision science seminar series and perfectly timed the 🍒 blossoms. I really enjoyed my lunch with the trainees from the @RompolasLab and @CuiLab - what a bright future they have!
Standing up for #Science in #Sacramento! Great representation by @ucdavis led by @doctheagrif.bsky.social who was instrumental organizing it with an excellent speech by @rogerslabucd.bsky.social.
March 7, 2025 at 11:43 PM
Standing up for #Science in #Sacramento! Great representation by @ucdavis led by @doctheagrif.bsky.social who was instrumental organizing it with an excellent speech by @rogerslabucd.bsky.social.
We demonstrate long-term safety of a novel drug delivery system for aflibercept in a 🐒 model in collaboration with Jennifer Kang-Mieler. 🥳 to @ucdavisvetmed #ophthalmology resident Brett Story for his 1st author pub! www.tandfonline.com/doi/full/10....
March 7, 2025 at 10:36 PM
We demonstrate long-term safety of a novel drug delivery system for aflibercept in a 🐒 model in collaboration with Jennifer Kang-Mieler. 🥳 to @ucdavisvetmed #ophthalmology resident Brett Story for his 1st author pub! www.tandfonline.com/doi/full/10....
Lazy Sunday at least for the dogs. I ran 6 miles.
March 2, 2025 at 6:35 PM
Lazy Sunday at least for the dogs. I ran 6 miles.