CHOP Pediatric Emergency Medicine
banner
pematchop.bsky.social
CHOP Pediatric Emergency Medicine
@pematchop.bsky.social
Official Bluesky account of the #PedsED at Children’s Hospital of Philadelphia. Caring for and #advocating for children. Advancing #Research, #MedEd, #QI, and #ClinicalCare.
🔊Research & advocacy efforts won’t have impact unless we share our work—dissemination is essential.

Last week Drs. VonHoltz & Murray kicked off the 1st session of a 3-part #Dissemination series for DoEM on making efforts active, intentional & targeted—and building strong plans.
November 21, 2025 at 5:00 PM
🚨 New Pub alert!

Lead author Dr. Prieto reports site-level variation in pediatric ED intubations.

🔬 NEAR4PEM is a growing multicenter collaborative improving pediatric airway management through research, QI, and education.
November 20, 2025 at 6:00 PM
Join CHOP's Dr. Danielle Cullen and UChicago's Dr. Jen Makelarski on Dec 3 (9–10am PT / 12–1pm ET) for their Shakespeare-inspired webinar, “To screen or not to screen, that is (an important) question”.
November 18, 2025 at 7:00 PM
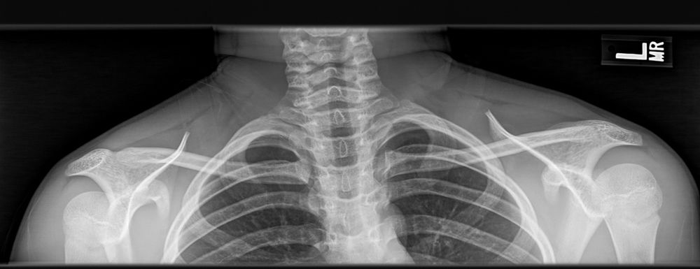
XR here:
November 17, 2025 at 9:04 PM
16y/o M presents after falling on R shoulder during a 🏈game. Multiple players fell on him. Complains of mid chest pain& can't fully flex @ the shoulder. Voice is a bit hoarse. What's your management?

1️⃣ <a href="https://poll.blue/p/KWjeET/1" class="hover:underline text-blue-600 dark:text-sky-400 no-card-link" target="_blank" rel="noopener" data-link="bsky">Motrin & d/c
2️⃣ <a href="https://poll.blue/p/KWjeET/2" class="hover:underline text-blue-600 dark:text-sky-400 no-card-link" target="_blank" rel="noopener" data-link="bsky">Sling & PT
3️⃣ <a href="https://poll.blue/p/KWjeET/3" class="hover:underline text-blue-600 dark:text-sky-400 no-card-link" target="_blank" rel="noopener" data-link="bsky">Needle decompression
4️⃣ <a href="https://poll.blue/p/KWjeET/4" class="hover:underline text-blue-600 dark:text-sky-400 no-card-link" target="_blank" rel="noopener" data-link="bsky">CT chest

📊 Show results
November 17, 2025 at 9:04 PM
Our #PEM fellows and #simulation faculty had a blast participating in and teaching pediatric resuscitation and teamwork skills to interdisciplinary teams at @PEMBASECamp @WeillCornell this weekend.
November 13, 2025 at 9:20 PM
🍎 Did you know? Every $1 in SNAP benefits generates $1.79 in economic activity — and for every 1 meal a food bank provides, SNAP provides 9. Protecting SNAP means protecting families. #EndChildHunger #AdvocacyInAction
November 12, 2025 at 10:53 PM
November 11, 2025 at 10:01 PM
Day 2 of PEM in Practice: An Interactive Course for Real-World Experience! ☕ The excitement continued as participants gathered in the HUB, ready for another full day of cutting-edge learning and hands-on PEM practice. #PEMinPractice #PEM #MedEd
November 10, 2025 at 9:40 PM
There was a palpable energy in the air as participants filled the HUB auditorium for Day 1 of #PEMCourse2025! Course directors Jill, Ellen, Josh, and Alex welcomed everyone with coffee, breakfast, and excitement for a packed day of learning. ☕📚
November 7, 2025 at 7:30 PM
💡 New research alert!
Drs. Joshi, Fein, & Krass show teens seen in the ED for depression/suicidality rarely get timely follow-up—only 1 in 5 see their PCP within 30 days.
📉 Major disparities by race, insurance & neighborhood opportunity.
Full study ⬇️

doi.org/10.1542/peds...
November 5, 2025 at 8:30 PM
It's Election Day! Make sure to get out and make a plan to vote! #votekids
November 5, 2025 at 2:04 AM
It's Election Day! Make sure to get out and make a plan to vote! #votekids
November 5, 2025 at 2:03 AM
Who wants some PEM CME? It's not too late to sign up for our annual #PEM in Practice CME course, in collaboration with Boston Children's Hospital. Click here for more information. We hope to see you there!

November 3, 2025 at 10:55 PM
October 31, 2025 at 3:30 PM
🎓 Education opportunity!
Last week, @T4CIP hosted a #StoreMedsSafe Webinar 💊

The full recording is now live! Watch the convo, revisit key takeaways, or share with others — available on T4CIP’s Medication Safe Storage Day of Action page:
👉 www.t4cip.org/medica...
October 30, 2025 at 5:40 PM
🎉Dr. Kristy Arbogast, PhD, received the Arthur K. Asbury Outstanding Faculty Mentor Award

A leader in #injuryprevention, Dr. Arbogast’s #mentorship has shaped generations of scientists, clinicians & innovators advancing child safety & public health
@ChildrensPhila @PennMedicine
October 29, 2025 at 5:30 PM
🌎 #AdvocacyInAction
Native American & Alaska Native children face higher health disparities—but Indigenous-led solutions are building pathways to resilience & wellness.
October 28, 2025 at 5:31 PM
Thanks everyone for your response!

Let’s discuss 📝
Infant’s EKG

Source - Academic Life in Emergency Medicine - we’ll share their post in our response next week.
October 27, 2025 at 6:59 PM
There is still time to register for our #PEM #CME course - in collaboration with Boston Children's Hospital.
October 24, 2025 at 6:03 PM
This #RespiratoryCareWeek, we celebrate the incredible Respiratory Therapists who help our patients breathe easier every day. Your expertise, compassion, and teamwork are essential to the care we provide. Thank you for all you do! 💙 #RCWeek #MedSky
October 23, 2025 at 6:00 PM
Reposted by CHOP Pediatric Emergency Medicine
📢 New Article!
Can AI spot which kids are at risk for sepsis before they become ill?

A @PECARNteam study led by Dr. Alpern shows machine learning models can predict #sepsis using EHR data—before it occurs

🔗 pubmed.ncbi.nlm.nih....

@LurieChildrens @ChildrensPhila #AI #PRIME
October 22, 2025 at 2:06 PM
🎉Congratulations to CHOP PEM fellow Dr. Cheyanne Smith on her publication Healing Injustice: Medicine and Anti-Trafficking Advocacy.

This is a narrative medicine piece on how why she went into medicine.
October 22, 2025 at 6:00 PM
Last week we were able to celebrate the accomplishments and upcoming retirement of one of the giants in PEM - Dr. Kathy Shaw!

Throughout her amazing career, she has shaped pediatric emergency medicine, quality improvement, and has served as a trusted mentor to many.
October 21, 2025 at 6:01 PM
Infant’s EKG

Source - Academic Life in Emergency Medicine - we’ll share their post in our response next week.
October 21, 2025 at 3:53 PM