Parisa Kaviani
banner
parisakaviani.bsky.social
Parisa Kaviani
@parisakaviani.bsky.social
MD | First Generation | Postdoctoral Research Fellow | @MGHimaging | @HarvardMed | #WithoutQuota | #Radres
Pinned
It was an incredible experience this year! I had the chance to meet many wonderful and talented individuals and learn from them. Every time I receive positive feedback, I am reminded of all the amazing people who supported and guided me along this journey. Thank you, @rsnasky.bsky.social!
Reposted by Parisa Kaviani
Honored to be invited to the RSNA Leadership Recognition Reception this year ✨
Looking forward to connecting with leaders in radiology at Union Station, Chicago!

#RSNA25 #Radiology #Leadership
@rsnasky.bsky.social
October 5, 2025 at 5:00 PM
Reposted by Parisa Kaviani
September 26, 2025 at 3:47 PM
Reposted by Parisa Kaviani
Update of the International Multidisciplinary Classification of the Interstitial Pneumonias 🚨

AIP? 🚫 IDAD? 👍🏽
DIP? 🚫 AMP 👍🏽

Bronchiolocentric Interstitial Pneumonitis is new nomenclature

🫁📖

Open Acess.

publications.ersnet.org/content/erj/ea…
August 18, 2025 at 5:17 PM
Reposted by Parisa Kaviani
A real CAT scan

#caturday
#radiology
August 16, 2025 at 3:11 PM
Reposted by Parisa Kaviani
#Chestrad- Hilar overlay sign!

Anterior mediastinal mass - non-invasive thymoma
M=F, middle age (commonly dx'd 40-50), a/w myasthenia gravis.
Tx: VATS/sternotomy

#radiology
#thoracicthursday

@danielvargasmd.bsky.social
@laurengroner.bsky.social
@mmestas.bsky.social
August 14, 2025 at 5:57 PM
Reposted by Parisa Kaviani
An AI algorithm for breast cancer screening has potential to enhance the performance of digital breast tomosynthesis (DBT), reducing interval cancers by up to one-third, according to a study published today in Radiology. bit.ly/45jTUkE
August 6, 2025 at 5:02 PM
Reposted by Parisa Kaviani
Junior #radres- normal or abnormal? Diagnosis? 🧐

#radiology
#chestrad
July 28, 2025 at 11:19 PM
Reposted by Parisa Kaviani
Lessons from a Chimp: AI "Scheming" and the Quest for Ape Language

🤔 Interesting paper. This paper critiques recent studies on AI 'scheming'.

arxiv.org/abs/2507.034...
Lessons from a Chimp: AI "Scheming" and the Quest for Ape Language
We examine recent research that asks whether current AI systems may be developing a capacity for "scheming" (covertly and strategically pursuing misaligned goals). We compare current research…
arxiv.org
July 18, 2025 at 1:11 AM
Reposted by Parisa Kaviani
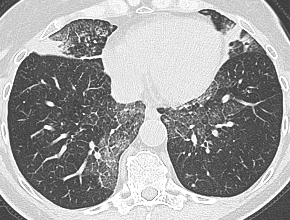
Lymphocytic interstitial pneumonia (LIP) from #amyloidosis 🫁

- mean age: 52-56 yrs
- a/w: Sjögren syndrome (MC), systemic lupus erythematosus, amyloidosis, HIV (peds)
- CT: thin-walled cysts, midlung-basilar gradient
- Rx: corticosteroids

#chestrad
#radiology

@danielvargasmd.bsky.social
July 17, 2025 at 2:34 PM
Reposted by Parisa Kaviani
Good luck to new faculty/trainees today! Here’s a cute #chestrads case to kick off the academic year!

🩻 Bronchiectasis, bronchitis, bronchiolitis, & volume loss preferential to RML/lingula = Lady Windermere syndrome
🩻 Centrilobular ground-glass micronodules w MAC = hot tub 🫁
#radsky #pulmsky
July 1, 2025 at 2:47 PM
Reposted by Parisa Kaviani
It’s July 1st!

Welcome interns!
July 1, 2025 at 3:58 PM
Reposted by Parisa Kaviani
Randomized study on @NEJM_AI found that :

« #Radiologists who failed to find an abnormality are viewed as more culpable when they used an #AI system that detected the abnormality. »

Always review AI outputs carefully before signing off. #Radiology #AI

ai.nejm.org/doi/full/10....
Randomized Study of the Impact of AI on Perceived Legal Liability for Radiologists
Artificial intelligence (AI) will have unintended consequences for radiology as the applications of AI use in patient care continue to expand. When a radiologist misses an abnormality on an image, ...
ai.nejm.org
June 30, 2025 at 8:39 PM
Excited to be invited by @rsnasky.bsky.social to serve as a reviewer for the 2025 Cutting-Edge Research abstracts! Thank you #RSNA for this amazing opportunity!!!

#RSNA2025
June 30, 2025 at 1:14 AM
Reposted by Parisa Kaviani
June 30, 2025 at 12:17 AM
Reposted by Parisa Kaviani
I’m an extrovert, but public speaking makes me nervous. Still, in 2024, I started attending/presenting at conferences bc a mentor told me that to have influence/effect change, dissemination is a must.

So, I’m grateful to receive the 2025 @arrsradiology.bsky.social Scientific Session Program🥉Award 🙏
June 22, 2025 at 6:14 PM
Reposted by Parisa Kaviani
June 18, 2025 at 2:56 PM
Reposted by Parisa Kaviani
#Chestrad- left upper lobe atelectasis

Look for left hemithorax volume loss, elevation of left hemidiaphragm & luftsichel (air crescent) surrounding aortic arch

In adults, think neoplasm
In kids, think foreign body

#radiology
#ThoracicThursday

@stefantigges.bsky.social
@laurengroner.bsky.social
June 12, 2025 at 3:16 PM
Thrilled to have been invited to join the @arrsradiology.bsky.social Resident Reviewer Program for 2025-2026! Excited to contribute as a reviewer for upcoming scientific abstracts and looking forward to future opportunities with the Abstract Review Subcommittee!
#Radiology
#ARRS
June 10, 2025 at 2:07 PM
Reposted by Parisa Kaviani
Starting the last day of #SIIM25 with an engaging, interactive session on the reality of post project discussions with @asset25.bsky.social @dalkhulaifat.bsky.social! We all have shared challenges in this space and have much to learn from each stakeholder perspective!
May 23, 2025 at 4:09 PM
Reposted by Parisa Kaviani
Pneumothorax or not? 🫁🤔

#radiology
#chestrad
May 23, 2025 at 3:51 PM
Honored to join the ACR’s Measurement & Assessment Committee for the 2025–2029 term! Looking forward to contributing to the strategic education plan and helping identify key practice gaps in radiology.

#Radiology
#Radres
May 15, 2025 at 8:20 PM
Reposted by Parisa Kaviani
A few #MTB cases/thoughts on #WorldTBDay, March 24, 2025 (🧵):

Disseminated TB
🫁 Miliary TB: diffuse, randomly distributed micronodules
🦴 Pott disease: L3/L4 osteomyelitis (vertebral destruction/enhancement) w L paraspinal abscesses/phlegmon extending to L psoas

#TB #radsky #pulmsky #IDsky

1/4
March 24, 2025 at 4:08 AM