Dr. Nikhil R M DNB, EDiR, DICR
banner
nikhilmehta.bsky.social
Dr. Nikhil R M DNB, EDiR, DICR
@nikhilmehta.bsky.social
#AIrad #MRI #CT ❤️ #NeuroImaging #PedsNeuroImaging
Reposted by Dr. Nikhil R M DNB, EDiR, DICR
Another highly recommended #neuroradiology #RadEd article: Anne G. Osborn et al. on the 2021 WHO CNS tumor classification and neuroimaging: doi.org/10.3174/ajnr.... More articles at www.zotero.org/groups/49578...
The 2021 World Health Organization Classification of Tumors of the Central Nervous System: What Neuroradiologists Need to Know
SUMMARY: Neuroradiologists play a key role in brain tumor diagnosis and management. Staying current with the latest classification systems and diagnostic markers is important to provide optimal patien...
doi.org
November 28, 2024 at 6:08 AM
November 25, 2024 at 5:20 AM
Reposted by Dr. Nikhil R M DNB, EDiR, DICR
November 24, 2024 at 11:48 PM
November 23, 2024 at 5:10 AM
35YF Right cranial neuropathy and headache. #neurology #neurorad #neuroradiology #medicine #radres #radiology #neurosurgery
November 22, 2024 at 10:16 AM
November 21, 2024 at 6:49 AM
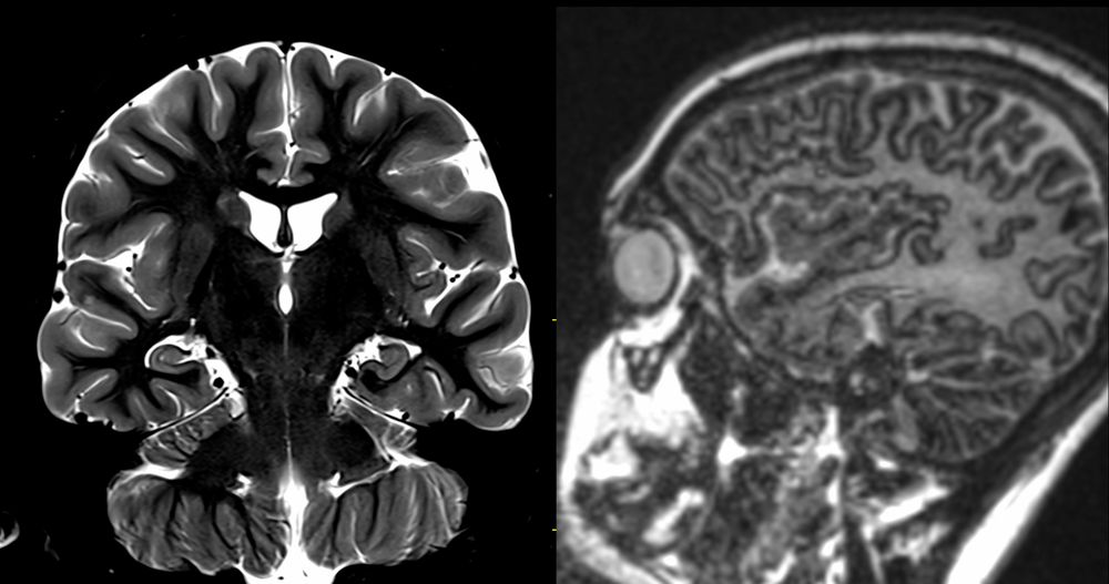
29 YF with longstanding epilepsy. What do you call this gyral appearance and morphology ? #neurorad #radres #radiology #neuroradiology #neurology #epilepsy
November 20, 2024 at 8:18 AM
45YF with acute onset bilateral blurred vision, loss of balance, giddiness and headache. #neuroradiology #Neurology #radiology #radres #medicine
November 19, 2024 at 7:41 AM
Longstanding Knee swelling with intermittent change in size and difficulty knee movements. #MSKrad #radiology
November 18, 2024 at 9:11 AM