ktkt(ことこと)
banner
ktmnktkt.bsky.social
ktkt(ことこと)
@ktmnktkt.bsky.social
大きな図書館と歴史のある街並みが恋しい
趣味と日常しかつぶやけません
門脈圧亢進で、前/後類洞性
October 24, 2025 at 12:00 PM
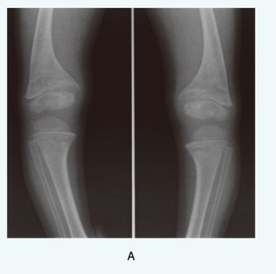
この図から、骨端部辺縁の拡大、杯状変形、辺縁不整などくる病に特徴的な初見が見える
また、膝の内反変形もみられる
October 16, 2025 at 12:46 PM
劇症肝炎の定義
October 16, 2025 at 12:42 PM
副腎皮質ホルモン
束状層:コルチゾール
球状層:アルドステロン(ナトリウムと水の再吸収の促進)
網状層:アンドロゲン(男性の第二次性徴発現)
October 16, 2025 at 12:39 PM
大腸がんのTMN分類
T:深達度
N:リンパ節転移
N:他臓器転移
October 15, 2025 at 4:53 PM
慢性副腎不全症の診断と治療の要点
October 2, 2025 at 11:19 AM
Ellsworth-Howard試験
October 2, 2025 at 11:11 AM
羽ばたき振戦は肝性脳症
手指振戦は甲状腺中毒症
October 2, 2025 at 11:08 AM
108D59
sheehan症候群
副腎不全の原発性/続発性の違い:原発性は副腎の球状帯も障害され鉱質ステロイドも欠乏するために高K血症を呈する。一方続発性は血清カリウムに以上はみられない。
コルチゾール↓→水利尿不全をきたし低Na血症
コルチゾール↓→好酸球分画が増加
October 2, 2025 at 5:22 AM
プロスタグランジンを雑に説明すると「痛みのもと」
October 1, 2025 at 2:37 AM
Bluesky のユーザー数は現在 1,000 万人を超えており、私は #3,304,535 番目でした。
September 20, 2024 at 3:26 PM
誰よりも好きな推しの先生
July 25, 2024 at 7:18 PM
大学の和室で1人日向ぼっこしてスヤスヤしている
May 10, 2024 at 6:50 AM
お小遣いを注ぎ込んでる
May 9, 2024 at 5:42 AM
初めからこういう攻めた靴じゃなくてフツーのローファーから始めるべきなんだろうけど、これめっちゃ美麗じゃない?ほしいなあ〜〜〜〜
May 6, 2024 at 3:45 PM
過失でテレビ壊しちゃった…………本当にショック
本当に悲しいよ辛い
May 6, 2024 at 1:38 AM
京都にはこの世の全てがある
February 7, 2024 at 5:19 PM