ER doc
banner
erdoc.bsky.social
ER doc
@erdoc.bsky.social
Emergency Medicine doc .
Medical technical advisor.
Opinion isn't medical advice
(and you shouldn't be getting medical advice from strangers on the internet anyway)
#foreignbody #xray #radsky
Who would remove this to where you work? #ent or #gi
#medsky
November 13, 2025 at 12:59 AM
#foreignbody #xray #radsky
Who would remove this to where you work? #ent or #gi
#medsky
November 13, 2025 at 12:55 AM
How I feel everyday
#medsky
October 28, 2025 at 1:33 AM
October 23, 2025 at 9:26 PM
How would you describe and treat this fracture ?
#ortho #orthosky #orthopedics #emergemcy #medaky #emedsky
October 14, 2025 at 1:57 AM
October 13, 2025 at 1:44 AM
October 5, 2025 at 6:54 PM
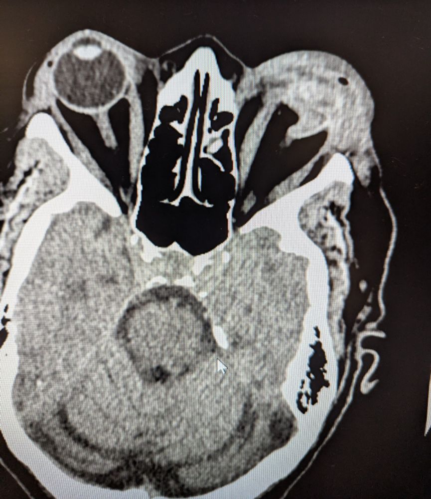
What do you think the cause is of this spontaneous cerebellar hemorrhage in a young female?
#medsky
#nuerosky
#radsky
October 1, 2025 at 9:04 PM
September 8, 2025 at 12:08 PM
Lunate dislocation
"Spilled teacup sign"
#medsky #orthosky #emedsky
July 30, 2025 at 8:59 PM
July 20, 2025 at 1:48 AM
How would you treat?
⚡ Or amiodarone or lido ?
#medsky
July 3, 2025 at 12:27 PM
How did he win the election with so many people in every state this upset?
June 10, 2025 at 8:13 PM
What symptoms would you expect with this?
#medsky #foamed #neurosky
June 10, 2025 at 2:31 AM
Which is most realistic ?
April 17, 2025 at 1:02 AM
Would you give antibiotics?

#smash finger
#emergencymedicine #orthopedics #medsky #emedsky
April 12, 2025 at 8:29 PM
What did they eat ( duodenal and cecal) radio opaque fb)
#medsky
#emedsky
#radsky
#wtf
April 9, 2025 at 11:55 PM
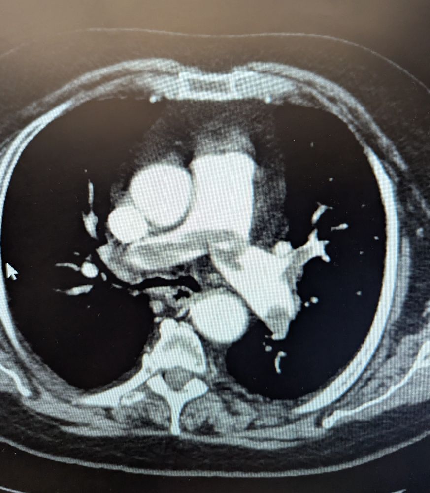
What would you treat this saddle embolism going into both right and left pulmonary arteries?
Systemic tpa? Intra arterial tpa? Interventional radiology? Ct surg for embolectomy?
#medsky #emedsky #radsky
March 27, 2025 at 1:47 AM
March 18, 2025 at 7:49 PM
February 27, 2025 at 10:34 PM
The arm bones connected to the.. wait. No it's not
#medsky #emedsky #traumasky #orthosky
February 21, 2025 at 9:19 PM
February 20, 2025 at 11:51 PM
At least I feel safe at work.... 😨
#medsky
#emedsky
February 18, 2025 at 4:50 AM
Thoughts? ( New procedures and 48 month programs )
#emedsky
#foamed
#medsky
February 12, 2025 at 1:46 AM