DeborahJRoss
deborahjross.bsky.social
DeborahJRoss
@deborahjross.bsky.social
I write and edit sf and fantasy. Fierce ally of People of Color, LGBTQI+ folks, immigrants. Child of pogrom survivor. Red Diaper baby. 25+ years kickass martial arts. When I'm not writing, I play classical piano, knit for charity, and hike in the redwoods.
Woman had her twin brother's XY chromosomes, but only in her blood. Her skin cell karyotype was XX. Doctors identified her condition as chimerism, in which the body contains at least two different sets of DNA across different cells. #sexchromosomes
buff.ly/TDgdKlo
Diagnostic dilemma: Woman had her twin brother's XY chromosomes — but only in her blood
Doctors discovered a woman had "blood chimerism" after examining the chromosomes of cells from different parts of her body.
buff.ly
November 28, 2025 at 3:30 PM
Rave reviews for my collection
“Two of my favorite Darkover stories ever.”
“Delightful stories, the last one had me laughing out loud!”
Kindle: buff.ly/Zhsh2lM
Barnes&Noble: tinyurl.com/mv2prmp5
Everywhere Else: buff.ly/iIbsfhH
buff.ly
November 26, 2025 at 1:30 PM
I love how this story combines invertebrate biology, psychology, animal training, engineering, music education...and love.
I taught an octopus piano (It took 6 months) buff.ly/CwGImn3 via @YouTube
I taught an octopus piano (It took 6 months)
JOIN DISCORD NOW Will see you there! https://discord.gg/MyrHY2CEmU Don’t follow me on Instagram https://bit.ly/3A6kYn2 I post every year! -------- Buy the Hammer Klavier VST (the hammer piano) and…
buff.ly
November 26, 2025 at 11:00 AM
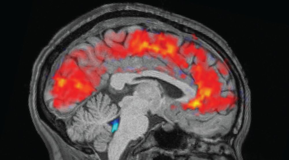
When you zone out after pulling an all-nighter, the brain flushes out cerebrospinal fluid (CSF), which surrounds the brain and spinal cord and is part of the brain's waste-disposal system. This CSF then floods back into the brain when you snap out of it.
buff.ly/bbUQ9mY
Study reveals why the brain 'zones out' when you're exhausted
Your sleep-deprived brain behaves as if you were about to nod off to sleep, even when you're awake.
buff.ly
November 25, 2025 at 1:02 PM
#Slavery’s brutal reality shocked Northerners before the Civil War, and is being whitewashed today by the White House. To look away or try to forget it means to ignore what it has to say about the complicated and often brutal history of the nation.
buff.ly/LFIREIW
Slavery’s brutal reality shocked Northerners before the Civil War − and is being whitewashed today by the White House
Abolitionists used hard facts to counter pro-slavery propaganda, forcing indifferent Americans to face ugly realities.
buff.ly
November 25, 2025 at 12:01 PM
Giant North American 'hell pigs' could crunch bones like lions 30 million years ago. Despite their vaguely hoggish appearance, Archaeotherium was more closely related to whales and hippos than to pigs.
#paleontology
Giant North American 'hell pigs' could crunch bones like lions 30 million years ago, tooth analysis reveals
Archaeotherium, or North American "hell pigs," had different feeding strategies depending on their size, according to preliminary research presented at the Society of Vertebrate Paleontology 2025…
buff.ly
November 24, 2025 at 1:30 PM
Woman had her twin brother's XY chromosomes — but only in her blood. Her skin cell karyotype was XX. Doctors identified her condition as chimerism, in which the body contains at least two different sets of DNA across different cells. #sexchromosomes
buff.ly/d6KMNBu
Diagnostic dilemma: Woman had her twin brother's XY chromosomes — but only in her blood
Doctors discovered a woman had "blood chimerism" after examining the chromosomes of cells from different parts of her body.
buff.ly
November 24, 2025 at 11:30 AM
#Slavery’s brutal reality shocked Northerners before the Civil War−and is being whitewashed today by the White House. To look away or try to forget it means to ignore what it has to say about the complicated and often brutal history of the nation.
buff.ly/LFIREIW
Slavery’s brutal reality shocked Northerners before the Civil War − and is being whitewashed today by the White House
Abolitionists used hard facts to counter pro-slavery propaganda, forcing indifferent Americans to face ugly realities.
buff.ly
November 23, 2025 at 1:30 PM
When you zone out after pulling an all-nighter, the brain flushes out cerebrospinal fluid (CSF), which surrounds the brain and spinal cord and is part of the brain's waste-disposal system. This CSF then floods back into the brain when you snap out of it.
buff.ly/bbUQ9mY
Study reveals why the brain 'zones out' when you're exhausted
Your sleep-deprived brain behaves as if you were about to nod off to sleep, even when you're awake.
buff.ly
November 21, 2025 at 1:30 PM
#Slavery’s brutal reality shocked Northerners before the Civil War and is being whitewashed today by the White House. To look away or try to forget it means to ignore what it has to say about the complicated and often brutal history of the nation.
buff.ly/LFIREIW
Slavery’s brutal reality shocked Northerners before the Civil War − and is being whitewashed today by the White House
Abolitionists used hard facts to counter pro-slavery propaganda, forcing indifferent Americans to face ugly realities.
buff.ly
November 20, 2025 at 10:00 AM
Rave reviews for my collection:
“Two of my favorite Darkover stories ever.”
“Delightful stories, the last one had me laughing out loud!”
Kindle: buff.ly/Zhsh2lM
Barnes&Noble: tinyurl.com/mv2prmp5
Everywhere Else: buff.ly/iIbsfhH
buff.ly
November 19, 2025 at 2:03 PM
Giant North American 'hell pigs' could crunch bones like lions 30 million years ago. Despite their vaguely hoggish appearance, Archaeotherium was more closely related to whales and hippos than to pigs. #paleontology
buff.ly/79teX5r
Giant North American 'hell pigs' could crunch bones like lions 30 million years ago, tooth analysis reveals
Archaeotherium, or North American "hell pigs," had different feeding strategies depending on their size, according to preliminary research presented at the Society of Vertebrate Paleontology 2025…
buff.ly
November 19, 2025 at 9:00 AM
Reposted by DeborahJRoss
NEW: Lindsey Halligan apparently told the grand jury in the Comey case that they should indict on promised future evidence, and that Comey is guilty until proven innocent. Check out my chat with @klasfeldreports.com about this incredible ruling today: www.muellershewrote.com/p/halligan-i...
Halligan is in DEEP trouble in the Comey case
A recording from Allison Gill's live video
www.muellershewrote.com
November 17, 2025 at 7:56 PM
Reposted by DeborahJRoss
Dear ICE: They don't let you wear a mask in your mug shot.
Great news. This is what an ICE agent looks like in a mugshot. Meet Gerardo Rodriguez, 45, of Temecula, courtesy of the Riverside County Sheriff’s Office. Arrested for "illegally detaining a minor at gunpoint while off duty last week." 🧵
November 17, 2025 at 8:17 PM
Reposted by DeborahJRoss
I think Americans are realizing that democracy is a participation sport, and the the government is ours if we want it to be. I feel like we got complacent and hoped some other third party would do the work for us. Seems like we have to learn that lesson every generation.
November 18, 2025 at 3:19 AM
Reposted by DeborahJRoss
Just a reminder: there was a Biden administration investigation into Epstein and Maxwell's co-conspirators. Trump killed it in January, fired the prosecutors, stole the files, & ordered Bondi to open a new sham investigation, led by a handpicked prosecutor, so DOJ wouldn't have to release the files.
November 18, 2025 at 6:15 PM
Reposted by DeborahJRoss
Three recent national polls now have Trump in the 30s, and his disapproval in the 60s....

Reuters/Ipsos 38%-60% (-22)
CNN/SRSS 37%-63% (-26)
AP/NORC 36%-62% (-26)

The thrill is gone, baby.
Trump takes big hit in two new polls released today:

Reuters/Ipsos
38% approve (-2)
60% disapprv (+2) 4 pt drop in past week
Echelon
42% approve (-4)
57% disapprv (+4) 8 pt drop since mid October

Ruh-roh Donnie boy!
November 18, 2025 at 10:53 PM
Reposted by DeborahJRoss
The Senate has agreed to pass the Epstein bill by unanimous consent.
November 18, 2025 at 10:51 PM
When you zone out after pulling an all-nighter, the brain flushes out cerebrospinal fluid (CSF), which surrounds the brain and spinal cord and is part of the brain's waste-disposal system. This CSF then floods back into the brain when you snap out of it.
buff.ly/bbUQ9mY
Study reveals why the brain 'zones out' when you're exhausted
Your sleep-deprived brain behaves as if you were about to nod off to sleep, even when you're awake.
www.livescience.com
November 18, 2025 at 8:24 PM
#Slavery’s brutal reality shocked Northerners before the Civil War − and is being whitewashed today by the White House. To look away or try to forget it means to ignore what it has to say about the complicated and often brutal history of the nation.

theconversation.com/slaverys-bru...
Slavery’s brutal reality shocked Northerners before the Civil War − and is being whitewashed today by the White House
Abolitionists used hard facts to counter pro-slavery propaganda, forcing indifferent Americans to face ugly realities.
theconversation.com
November 18, 2025 at 8:16 PM
Giant North American 'hell pigs' could crunch bones like lions 30 million years ago. Despite their vaguely hoggish appearance, Archaeotherium was more closely related to whales and hippos than to pigs. #paleontology
buff.ly/79teX5r
Giant North American 'hell pigs' could crunch bones like lions 30 million years ago, tooth analysis reveals
Archaeotherium, or North American "hell pigs," had different feeding strategies depending on their size, according to preliminary research presented at the Society of Vertebrate Paleontology 2025…
www.livescience.com
November 16, 2025 at 11:38 PM
Dutch voters have been seduced by positivity –- liberals elsewhere, take note! Progressives often treat patriotism as radioactive. Another approach is possible.
Dutch voters have been seduced by positivity – liberals elsewhere, take note | Simon van Teutem
By selling hope alongside progressive patriotism, the centrist D66 party widened its appeal and beat the far right, says Dutch journalist Simon van Teutem
buff.ly
November 9, 2025 at 11:26 PM
How the US cut climate-changing emissions while its economy more than doubled. Greenhouse gas emissions from electricity are down by almost 30% since 1995.
How the US cut climate-changing emissions while its economy more than doubled
A fast drop in coal use played a big role, but there was more, as these charts show.
buff.ly
November 9, 2025 at 11:26 PM
Reprint, What Can We Do After #NoKings? The end of American democracy is not a foregone conclusion, despite the unprecedented rate of its decline. It will depend, in part, on the choices made by every American. Here's a list of actions!
buff.ly/ji2mPGg
November 9, 2025 at 11:26 PM
Jupiter Saved Earth from Spiraling Into the Sun. Jupiter reshaped the Solar System by carving rings and gaps in the protoplanetary disk, leading to the formation of late-stage meteorites. #astronomy
buff.ly/1dK08yM
November 9, 2025 at 11:26 PM