American Society of Echocardiography
banner
ase360.bsky.social
American Society of Echocardiography
@ase360.bsky.social
ASE welcomes all #Echocardiography enthusiasts as the Society for #Cardiovascular #Ultrasound Professionals™
This next #SpookyEcho is doing its best Halloween Phantom impression! 🎃

This is a TTE showing a multilobed mass in the right atrium.
October 31, 2025 at 1:13 PM
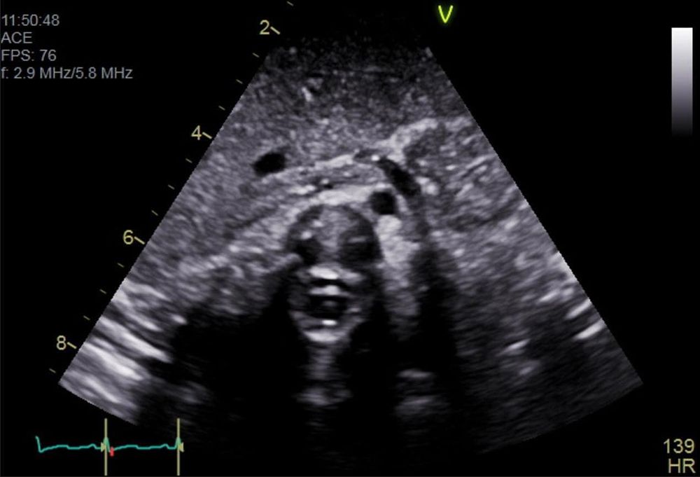
Do you see the face at the center of the image? 😱 #SpookyEcho

This is actually the spinal column as viewed from the subcostal situs sweep in a pediatric congenital echo.
October 31, 2025 at 1:13 PM
This discount is in addition to the savings you already receive on ASE products as a benefit of your membership—bringing your total savings to nearly 30% off!

*Some exclusions apply. #MUAM
October 30, 2025 at 6:06 PM