American College of Emergency Physicians
banner
acepnation.bsky.social
American College of Emergency Physicians
@acepnation.bsky.social
We see anyone, anywhere, any time.
We are 24/7/365.
We are emergency physicians.
https://linktr.ee/acepnation
Launching a new practice or scaling an existing one? 📈 Our upcoming webinar breaks down the real essentials such as funding, cash flow, & long-term stability. Learn what it takes to build a viable, competitive, democratic practice. Register here! 🔗

https://bit.ly/43RO8Hh
From Startup to Scale: Mastering the Finances of Democratic Practice from the Ground Up
The American College of Emergency Physicians promotes the highest quality of emergency care and is the leading advocate for emergency physicians, their patients, and the public.
bit.ly
November 28, 2025 at 4:09 PM
As EPs, talking w/ colleagues about your experiences can support your mental health & remind you that you're not alone. Click the 🔗 below to learn more about the ACEP peer support training program. Peer support isn't just a necessity, it's a lifeline.🫂

https://bit.ly/48dvqej
November 25, 2025 at 5:01 PM
FOAMed Case: Pregnant Woman W/ Intermittent Abdominal Pain

✍️ A woman at 12 weeks gestation w/ history of fibroids presented w/ pain & 2 days of vomiting.
✍️ Physical exam showed diffuse tenderness w/o peritoneal signs.

Learn more via the link ⬇️
🔗 https://bit.ly/4rhexIs
November 24, 2025 at 11:57 PM
Are you being paid fairly? ACEP partner @ResolveAgents can help. #acepnation members get 75% off Resolve’s Instant Compensation tools Nov 28–30 w/ code BLACKFRIDAY25. Just $49 for clear, reliable compensation benchmarks. Visit the link ⬇️ to learn more!

https://bit.ly/3XNzlJW
November 22, 2025 at 4:00 PM
We applaud CMS for including an important boarding measure – that ACEP members helped develop – in the CY 2026 OPPS final rule. Visit the link below to read more. 🔗

https://bit.ly/3X8j9mz
November 21, 2025 at 11:22 PM
In this study, researchers reviewed data from randomized trials comparing preoxygenation strategies for patients undergoing intubation in the ED, ICU, or surgical setting. Data included study characteristics, patient demos. & more. 🔗 below to read more!

https://bit.ly/4o7xUkC
Comparison of Preoxygenation Strategies for Intubation of Critically Ill Patients
The search yielded 4,153 unique reports, of which 15 randomized controlled trials (n=3,420) from 9 countries were included. The participants per study ranged from 38 to 1,301. The median age in the st...
bit.ly
November 21, 2025 at 12:12 PM
Congratulations to Dr. Kathleen Skeens on receiving the ACEP Medical Directors Section Resident Award! Cheers to you and all of your hard work. 👏 Thank you for all that you do!
November 20, 2025 at 9:44 PM
FOAMed Case: Older Man With Abdominal Pain

✍️ An 86-year-old man with history of aortic valve replacement had pain & vomiting after a procedure for cholangitis
✍️ Blood tests showed leukocytosis w/ a normal C-reactive protein.

🔗 below for more on this case!
https://bit.ly/47Qhw35
Older Man With Abdominal Pain
An 86-year-old man with a history of aortic valve replacement presented to the emergency department with right upper quadrant pain and vomiting 3 weeks after undergoing an endoscopic retrograde cholangiopancreatography with stent placement for cholangit...
www.annemergmed.com
November 20, 2025 at 5:06 PM
Older adults with and without delirium present notably different outcomes once discharged home. In this article researchers tested for delirium using the using the Delirium Triage Screen & other methods to assess data. Read more via the link below! 🔗

https://bit.ly/43BDMem
Outcomes of Older Adults With Delirium Discharged From the Emergency Department
To compare 30-day mortality and return emergency department (ED) visits among older adults with delirium who are discharged home with those discharged home without delirium and those who are admitted ...
www.annemergmed.com
November 19, 2025 at 12:49 AM
ACEP is deeply concerned about new proposed policies that will hinder access to care for immigrant patients and families. We firmly oppose reviving the “public charge policy.” More: https://bit.ly/48gfAAV
November 18, 2025 at 2:49 AM
Reposted by American College of Emergency Physicians
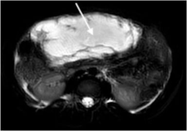
The question was posed: can ESR and CRP contribute useful diagnostic information for the evaluation of spinal epidural abscess?

My take in @acepnation.bsky.social ACEPNow!

(hint: nope!) #medsky
www.acepnow.com/article/is-t...
Is There Any Way Out for Spinal Epidural Abscess? - ACEP Now
Can ESR & CRP reliably rule out acute infectious spinal pathology? A new study explores using these markers to avoid MRI for spinal epidural abscess.
www.acepnow.com
November 17, 2025 at 7:27 PM
✍️ Because Nitazenes are illicit novel opioid agonists, data management and outcomes of nitazene opioid poisoning are limited. In this study, researchers describe their experience w/ analytically confirmed nitazene opioid exposures. Read more here! 🔗

https://bit.ly/3M0xcrI
Clinical Experiences With the Nitazene Class of Synthetic Opioids: A Cohort Study
Nitazenes are illicit novel opioid agonists, and data describing the clinical course, management, and outcome of nitazene opioid poisoning are limited. The aim of this study is to describe our clinica...
www.annemergmed.com
November 15, 2025 at 6:54 PM
Fellow designation speaks to your contributions to ACEP and highlights your commitment to emergency medicine.

Congratulations to some of our newest class of FACEP designees! #FACEPFridays 👏
November 14, 2025 at 12:12 PM
“The Pitt” brings the realities of EM to TNT beginning Monday, Dec 1. "We are incredibly proud of the show & grateful for the chance to be seen for who we are, the challenges we face, & the work we do every day.” L. Anthony Cirillo, MD, FACEP, ACEP Pres.

https://bit.ly/3XqjwJ1
“The Pitt” Brings the Realities of Emergency Medicine to a Wider Audience
The Emmy Award-winning medical drama “The Pitt” will reach new viewers when its complete first season airs on TNT beginning Monday, December 1.
bit.ly
November 13, 2025 at 8:05 PM
Call for State-of-the-Art (SOTA) Didactic Proposals for #ACEP26 Research Forum! 📣 These 50 min research-informed panel discussions will be held at Scientific Assembly & include engaging topics centered around EM. Submit your proposal via the 🔗 below!

https://bit.ly/47Be8ZN
November 12, 2025 at 2:00 PM
Tomorrow! 👀 Join ACEP president Dr. Tony Cirillo for his monthly chat with ACEP members. 💬 Come to connect, learn from and visit with your new ACEP President on all things EM. Visit the link below to sign up! 🔗

https://bit.ly/4oIKzeY
November 11, 2025 at 10:00 PM
With local & national leaders at all career levels, ACEP is the force evolving EM. 💪 By setting a national standard through our new ED accreditation program, this is where the future is shaped. 🌟 Ready to get involved? Join the movement! Join ACEP. 🔗

https://bit.ly/3JPNWkT
November 6, 2025 at 11:41 PM
Let's chat! 💬 Join ACEP president Dr. Tony Cirillo for his monthly Talk With Tony webinar for ACEP members. #acepnation the floor is yours. 🎙️ We want to hear from you, learn from you, & use this time to connect! Click the link below to sign up! 🔗

https://bit.ly/47sTuuE
November 5, 2025 at 6:10 PM
Emergency care is evolving and ACEP members are leading the way! From fair pay to safer shifts, we’re stronger together. 💪 Be part of the movement! Not a member? Join ACEP. 🌟 Visit the link below to learn more! 🔗

https://bit.ly/4qWyoN4
November 4, 2025 at 4:46 PM
ACEP’s got you covered! 🙌 Explore health insurance options made for 1099 members and those without group plans. These aren’t exchange policies and you can start anytime. Check out ACEP’s member plans via the link below! 🔗

https://www.insurancesolutionsusa.com/acep-information/
November 1, 2025 at 3:10 PM
Big week for #acepnation. 👏 From policy wins in CA to new updates on Medicare, AI, & vaccines, ACEP continues to stand strong for EM physicians & patients. 💪 Stay informed & join the next "Talk with Tony" Q&A on Nov 12! Click the link to sign up. 🔗

https://bit.ly/4qxGwDt
October 30, 2025 at 3:01 PM
Advancing Emergency Care is a journey you don’t have to go at alone. ACEP is your advocacy anchor fighting for fair pay, safer shifts, and more. This work is impactful and all thanks to ACEP members. Join the movement to advance EM! Not a member? Join us.

https://bit.ly/4p3uPmz
October 29, 2025 at 8:14 PM
Delirium in older adults can be complex, but better care starts in the ED. Join our upcoming webinar to explore evidence-based protocols, prevention strategies, and real-world case lessons. Sign up via the link below! 🔗

https://bit.ly/3WWXqOa
October 28, 2025 at 6:21 PM
Fellow designation speaks to your contributions to ACEP and highlights your commitment to emergency medicine.

Congratulations to some of our newest class of FACEP designees! #FACEPFridays 👏
October 24, 2025 at 3:32 PM
ACEP President Dr. Tony Cirillo opened the All-EM AI Summit with a clear charge: prepare for how AI will transform lifelong learning, bedside care, operations, and research across emergency medicine. The future is here—let’s build it responsibly together.
October 22, 2025 at 6:14 PM