Ryan Elliott
banner
ryanelliott.bsky.social
Ryan Elliott
@ryanelliott.bsky.social
Hematology Resident Physician | Former High School Teacher | Piano Enthusiast | Proud Newfoundlander | Just a general guy born in the 90s
https://buymeacoffee.com/ryanelliott
📚 This T-cell NHL diagnostic slide has been circulating and provides a nice framework
#medsky #hemesky #hemeonc #lymphoma #pathsky #hemepath #Tcells #cellmarkers #biology #hematology #medicine #pathology #oncology #oncsky #diagnostics #meded
September 17, 2025 at 9:20 AM
Lesson from this past week:

Isolated elevation of anticardiolipin IgM does not meet laboratory criteria for antiphospholipid syndrome! According to EULAR 2023 guidelines below. #medsky #IMsky #rheumsky #hemesky #antiphospholipid #thrombosis
August 6, 2025 at 3:34 AM
🔬🩸Hemoglobin development (some fundamentals!)

Embryo
Hb Gower I = ζ2ε2
Hb Gower II = α2ε2
Hb Portland = ζ2γ2

Fetus
HbF = α2γ2

Adult
HbA = α2β2 ~97%
HbA2 = α2δ2 ~2–3%
HbF <1%
#hemesky #medsky #IMsky #benignheme #hemoglobin #pediatrics
May 5, 2025 at 2:08 PM
💊 Abatacept

Humanized protein construct from recombinant DNA (CTLA4 + IgG1 Fc) grown in hamster ovary cells.

Selectively binds to CD80/86 on APCs, inhibiting CD80/86-CD28 costimulatory signal essential for full T-cell activation.

#medsky #IMsky #rheumsky #biologics
(Herrero-Beaumont et al., 2012)
February 6, 2025 at 12:21 PM
🩸Large Granular Lymphocytic Leukemia

Indolent clonal proliferation of mature cytotoxic T cells

- Neutropenia/anemia
- a/w autoimmunity
- CD8+ T cells w/ NK cell markers
- intrasinusoidal bone marrow/spleen/liver path
~50% STAT3 / STAT5b mutation
#hemesky #pathsly #hemepath #IMsky #medsky #leukemia
January 3, 2025 at 6:05 AM
🩸CML Treatment #ASCO2024

1. Assess (🫀,🫁,GI,comorbs)
2. Risk strat (Sokal, Hasford, EUTOS)
3. Treatment
- Low risk: Imatinib
- Int/high risk: 2nd-gen TKIs
4. Monitor (bcr-abl PCR🧪)

#hemesky #hemeonc #oncsky #CML #leukemia
December 23, 2024 at 10:37 AM
💊 Antiarrhythmics - Vaughan Williams Classification

🫀Class I (Ia, Ib, Ic) - Na+ Channel Blockers
🫀Class II - Beta Blockers
🫀Class III - K+ Channel Blockers
🫀Class IV - Ca2+ Channel Blockers
🫀Class V agents - Other
#medsky #IMsky #internalmedicine #cardiosky
December 22, 2024 at 11:07 PM
🩸AML Treatment (simplified)

Here’s a nice general framework to treatment in AML!
#hemesky #hemeonc #oncsky #medsky #AML #leukemia #ASCO24
December 20, 2024 at 1:54 AM
🩸Anticoagulant Reversal

Warfarin =🚫II,VII,IX,X
Reverse = Vitamin K, 4-PCC (II,VII, IX, X)

Heparin =🚫II,X
Reverse = Protamine (binds heparin)

Dabigatran =🚫II
Reverse = Idacrucizumab (anti-dabigatran mAb)

Xa inhibitors (Apixaban)
Reverse = Andexanet alfa (Xa decoy & binds drug)
#hemesky #medsky
December 19, 2024 at 2:40 PM
🩸 Febrile Non-Hemolytic (FNHTR):
- Time: ≤ 4 hours
- Cause: cytokines in donor blood
- Prevention: H2 blockers, antipyretics, leukoreduction
- Mgmt: stop infusion, antipyretrics, H2 blockers, meperidine (rigors), r/o other causes, notify blood bank

#hemesky #medsky #IMsky #internalmedicine
December 18, 2024 at 1:23 AM
💊 Chemotherapy: disrupting cancer cell cell growth and survival at multiple levels.

This handy diagram summarizes chemotherapy classes and where they fit according to their mechanism of action ⚙️

#oncsky #hemeonc #hemesky #pharmsky #medsky #IMsky #cancer #chemo
(Falzone et al., 2023. Cell)
December 15, 2024 at 1:29 PM
💊 This diagram covers the ~broad spectrum~ of antibiotic activity. #medsky #IMsky #internalmedicine #IDsky #punsky #puns #emimcc
December 15, 2024 at 6:37 AM
🩸Hematopoietic stem cell differentiation with cytokine regulation #hemesky #hemeonc #medsky #IMsky #internalmedicine #hemepath #pathsky #stemcells
December 14, 2024 at 1:00 PM
🩸Neutrophilic myelocyte

Cytoplasm slightly basophilic to cream-coloured
prominent red-purple azurophilic (primary) granules and numerous specific (secondary) granules
nucleoli absent usually
slightly indented nucleus w/ red blue and slightly condensed chromatin
#hemeky #hemepath #pathsky #IMsky
December 14, 2024 at 5:51 AM
🫀Cardiac tamponade vs constrictive pericarditis vs restrictive cardiomyopathy

A big thanks to #IMR for this handy comparison table. Good for reference down the road or for someone like myself currently studying for the #InternalMedicine Royal College exam here in Canada.
#cardiosky #medsky #IMsky
December 13, 2024 at 7:20 PM
🌡️ Fever of Unknown Origin (FUO) = temp >38.3C multiple times x 3 weeks without obvious cause

Infections: 20-40%.
Connective tissue disorders: 20%
Malignancy: 10-20%
Undiagnosed: 20%
Drugs (e.g., phenytoin): rare

#medsky #IMsky #internalmedicine #IDsky #hemeonc #hemesky #oncsky #rheumsky
December 13, 2024 at 11:36 AM
🫀 Mitral valve prolapse (MVP)
✨dynamic examination✨

⬆️ preload (squatting) > murmur soft + click late
⬇️ preload (standing) > murmur loud + click early
⬆️ afterload (handgrips) > murmur loud + click late
⬇️ afterload (initial Valsalva) > murmur soft + click early
#cardiosky #medsky #IMsky #emimcc
December 13, 2024 at 11:20 AM
🩸DOAC reversal agents
#hemesky #medsky #IMsky #internalmedicine
December 12, 2024 at 4:22 AM
December 11, 2024 at 11:29 AM
👋 Harrison’s really lends a *hand* here on this diagram! Associated diseases with pain in the joints of the hand and wrist.
#medsky #rheumsky #internalmedicine #medpuns #puns
December 11, 2024 at 11:18 AM
🩸 Flower cells - think ATL!

Adult T-cell leukemia/lymphoma (ATL)

A/w HTLV-1 infection, Japan, Caribbean (Jamaica, Trinidad)

Sxs:
LAD, HSM, cytopenias, ⬆️ Ca2+, lytic bone lesions, skin lesions.
Severity ranges from asymptomatic to fulminant.
#hemesky #hemeonc #hemepath #pathsky #medsky #IMsky
December 9, 2024 at 12:36 PM
🩸Acute Intermittent Porphyria

Cause: PBG deaminase deficiency leading to accumulation of prophyrins.

Sxs: abdominal pain, neurological disturbances, light sensitivity, skin lesions, red urine.

Ix: peri-attack urine porphyrins

Rx: hemin, pain ctrl, fluids, avoid provoking meds
#hemesky #porphryia
December 9, 2024 at 4:13 AM
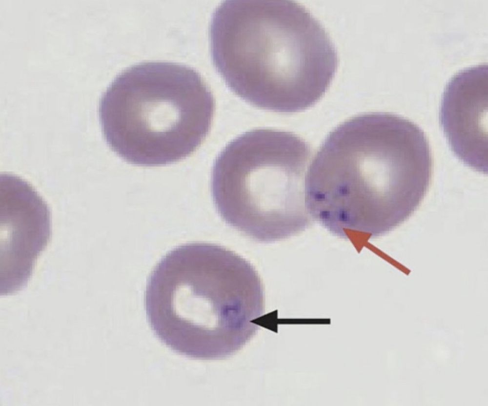
🩸Babesiosis
Babesia microti

Spread via deer tick (Ixodes scapularis)

Hemolytic anemia,⬇️Platelets

PB smear: classic Maltese cross in RBC

Rx = Atovaquone+Azithromycin
#hemesky #IDsky #medsky #ticksky #ticktalk
December 8, 2024 at 12:24 AM
🩸Erlichiosis

Ehrlichia chaffeensis
E. ewingii
Lone star tick (A. americanum)

Fevers, rash, myalgias
⬇️platelets+WBC

PB smear: morulae (microcolonies of Ehrlichiae) in cytoplasm of WBCs

E. chaffeensis infects monocytes
E. ewingii infects granulocytes

Rx: Doxycycline
#hemesky #IDsky #medsky
December 8, 2024 at 12:19 AM
🩸Anaplasmosis
Anaplasma phagocytophilum

Deer tick
Eastern (Ixodes scapularis)
Western (Ixodes pacificus)

Fevers, myalgias
⬇️platelets+WBC

PB smear: morulae in granulocytes

Rx: Doxycycline

Hard to distinguish between erlichiosis, good thing doxy covers both!
#hemesky #IDsky #medsky #IMsky
December 8, 2024 at 12:16 AM