James Murphy
banner
pseudokinase.bsky.social
James Murphy
@pseudokinase.bsky.social
Cell signaling, kinases, MLKL and other zombie proteins. NHMRC Leadership Fellow, Professor and Deputy Director at WEHI, Melbourne. He/him. Views my own
Reposted by James Murphy
Register today for our December 9 webinar on Mass Photometry, organized by Justin Benesch, University of Oxford.
www.proteinsociety.org/webinars
November 11, 2025 at 2:40 PM
Reposted by James Murphy
Who wants to discuss innate immunity and host defense?
Join us in Banff to share your exciting research.
www.keystonesymposia.org/conferences/...
Innate Immunity: Diversity in Host Defense and Disease | Keystone Symposia
Join us at the Keystone Symposia on Innate Immunity: Diversity in Host Defense and Disease, March 2026, in Banff, with field leaders!
www.keystonesymposia.org
November 11, 2025 at 2:55 PM
Reposted by James Murphy
Australia’s MRFF is sitting on billions of taxpayers’ dollars which was meant to be invested in world-leading, lifesaving health innovations.
November 4, 2025 at 12:40 AM
Reposted by James Murphy
The Wilkinson Lab is open for science! @mskcancercenter.bsky.social

🧬We'll be finding funky new RNA biology, mainly by looking at reverse transcriptases (i.e. the Best Enzymes In The World)🧬

annnd: I'm hiring - come join! Especially postdocs and PhD students - please get in touch (NYC is great)
Wilkinson Lab
We discover and study reverse transcriptases
wilkinsonlab.bio
October 31, 2025 at 7:00 PM
Reposted by James Murphy
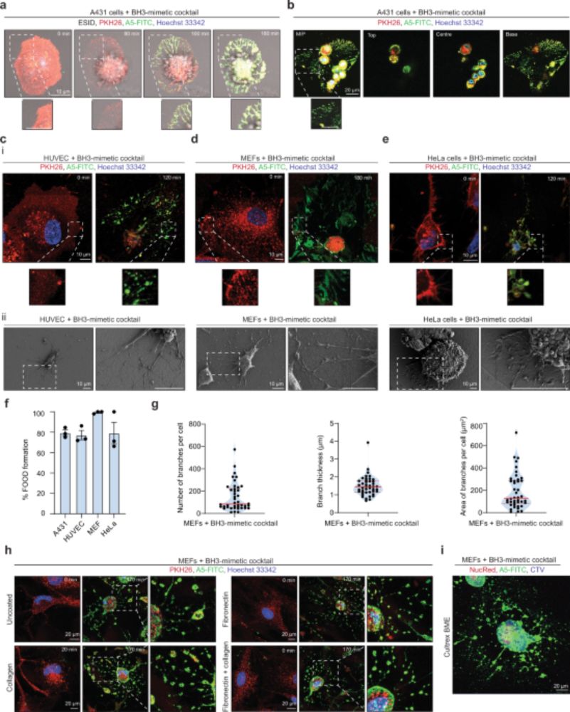
A really interesting new study from Ivan Poon and @someblondesci.bsky.social on the "footprint of death" - apoptotic cell remnants generated following apoptotic cell retraction.
The formation of the ‘footprint of death’ as a mechanism for generating large substrate-bound extracellular vesicles that mark the site of cell death - Nature Communications
Apoptotic cells often release extracellular vesicles that aid in their clearance and provide molecular information to cellular neighbours. Here, the authors show that some adherent apoptotic cells als...
www.nature.com
October 26, 2025 at 1:00 PM
Reposted by James Murphy
#InflammaZoom free Webinar is back on Monday October 20th! With James Murphy (WEHI, Melbourne, Australia) @pseudokinase.bsky.social and Jonathan Maelfait (VIB-UGent, Ghent, Belgium)

Register now: bit.ly/4iXGqjw
October 17, 2025 at 6:29 AM
Reposted by James Murphy
Want to see your artwork featured on the cover of a scientific journal?! Share your ideas at @cp-trendsbiochem.bsky.social!

🎉 Help us celebrate #TIBS50 and share your #CoverArt now! 📅 Deadline is October 31!

More information at: lnkd.in/e6db3_nr

#TIBSCelebrates50 #SciArt
October 16, 2025 at 3:22 PM
Reposted by James Murphy
9 days to go:
* 2 x open positions!
* Exceptional environment, competitive start-up package
* University of Toronto appointments
* Toronto has great (and peaceful) quality of life!
JOB ALERT 🚨 We are hiring TWO principal investigators in cell, molecular, systems, or chemical biology in Toronto, Canada at @sinaihealth.bsky.social. We provide a generous startup, fully funded salary and academic appointment at U of Toronto.

www.nature.com/naturecareer...

Please repost!
October 11, 2025 at 12:40 PM
Reposted by James Murphy
We have an open post-doc position in my group to study mRNA cleavage and polyadenylation using biochemical reconstitution and cryoEM.

Please get in touch if you are interested in joining this amazing team! 🔬🧬🤩
#RNA #cryoEM
September 27, 2025 at 11:07 AM
Thank you for “Open”. So beautiful and also so appropriate. Viva the death protein!
September 27, 2025 at 9:32 AM
Reposted by James Murphy
I am super excited to announce that we have a tenure-track faculty position in biophysics open in the Department of Physics at Carnegie Mellon! 🧪

Interfolio link: apply.interfolio.com/174360

PLEASE, share widely across the blue skies!

Let me briefly explain what we're looking for:

1/10
September 26, 2025 at 3:35 PM
Reposted by James Murphy
👇 We want you! Don’t miss out on our inaugural "Indigenous Researcher Award" from the Lorne Proteins conference. Full support to attend the 2026 conference. Deadline October 24.
www.lorneproteins.org/researcher
Indigenous Researcher Award — Lorne Proteins 2026
www.lorneproteins.org
September 18, 2025 at 5:36 AM
Reposted by James Murphy
🎓 Applications are now open for WEHI’s International PhD Scholar Initiative.

📅 Apply by Sunday 26 October 2025

🔗 Learn more about eligibility, scholarships and how to apply: wehi.edu.au/education/ph...

Help us spread the word by sharing with your networks!
September 10, 2025 at 2:08 AM
Reposted by James Murphy
Peer reviewers are exhausted. It's common to spend *months* inviting reviewers, getting refusals, inviting more, maybe 12 or more, then 2 agree but 1 doesn't complete, so you go again. That's why your paper is in limbo. I'm very sorry, it's awful, but it's also an untenable academic labour issue.
September 6, 2025 at 11:22 PM
Hard to believe that just over a week ago we wrapped the #iubmbKinases meeting. What an epic. Such a spectacular location with such spectacular people and science (and sheepdogs). Hat tip to @petermace.bsky.social for the hard yards. This one will be hard to top
August 30, 2025 at 6:25 AM
Onward into metabolism. Kicking off the pm session with Grace Gong (LMB) and John Burke (UVic) #iubmbKinases @iubmb.bsky.social We thank @biochemsoc.bsky.social #BiochemJ for their support of this session. The weather couldn’t even lure us away!
August 20, 2025 at 3:08 AM
Day 3 of #iubmbKinases @iubmb.bsky.social and many of us sprung up to take this photo through the conference room window - even during talks. Queenstown turning on a stunner of a day, matched only by some terrific science
August 19, 2025 at 11:42 PM
Another tremendous day in (pseudo)kinase paradise at #iubmbKinases in NZ courtesy of @iubmb.bsky.social Wrapping up the final session with Isa Lucet from @wehi-research.bsky.social kindly sponsored by our friends at Science Signaling @aaas.org
August 19, 2025 at 6:10 AM
Flying start to the #iubmbkinases meeting in beautiful Queenstown, NZ. Jubilee Award from IUBMB to Kevan Shokat yesterday, and a kinase masterclass from Susan Taylor this morning
August 18, 2025 at 9:16 PM
Petitioning the crowd out there. What’s our vibe around supporting society journals vs the for profit crowd? Maybe I got old, maybe I chair a publications committee for a union, maybe I am Editor in Chief for one of the society journals. But I’ve had enough of the obstruction from reviewers
August 13, 2025 at 8:49 AM
Reposted by James Murphy
Time is running out to submit your abstract for Plant Proteins: functions, regulation, production and utility! Join us in Leeds to hear from four #BiochemAwards winners, advance understanding of plant proteins and unlock new insights! 🧪Abstract deadline: 21 August www.eventsforce.net/biochemsoc/2...
August 12, 2025 at 8:54 AM
His government need to say “yes” to supporting innovation, R&D and discovery science. Otherwise I’ll see all of NZ’s finest here in Australia or further afield very soon. Most importantly, and simply, he should stop empowering his colleagues to say “no”. Science shouldn’t be a bloodsport
"National leader Christopher Luxon has told the party's annual conference that the country needs to "say yes" more."

Fair enough.

I say YES to a Labour-Greens-Te Pāti Māori coalition govt.

Gee, that was easy. Best idea ever, Luxo!👍

www.rnz.co.nz/news/nationa...
PM wants NZ to get behind development, progress, stem tide of Kiwis leaving for Oz
The prime minister has told National Party faithful that, if Australia shut down mining and energy industries, Kiwis wouldn't flock there.
www.rnz.co.nz
August 3, 2025 at 7:47 AM
Reposted by James Murphy
📣 New paper alert! Just out in Cell Reports! pubmed.ncbi.nlm.nih.gov/40644298/
Thrilled to share that we have discovered a brand-new anti-phage defense system! Bacteria have evolved various defense strategies (CRISPR etc) to counter phage attacks. We found a new one - fascinating and dramatic
⚔️🦠❄️🔬
August 2, 2025 at 3:01 PM
Reposted by James Murphy
Excited to see this work led by Cameron Reddington and Annabel Walsh out in @febsj.bsky.social — ASXL proteins share a PHD domain that is not a PHD domain, evolved to bind an MBD domain that is not an MBD domain!

febs.onlinelibrary.wiley.com/doi/10.1111/...
FEBS Press
A plant homeodomain (PHD) at the C terminus of additional sex combs-like (ASXL) proteins is recurrently truncated in disease. In the current study, the ASXL PHD was shown not to bind histone modifica...
febs.onlinelibrary.wiley.com
July 29, 2025 at 10:01 PM