Marcos Mestas Nuñez
mmestas.bsky.social
Marcos Mestas Nuñez
@mmestas.bsky.social
Chest Radiologist
Reposted by Marcos Mestas Nuñez
@mmestas.bsky.social @laurengroner.bsky.social

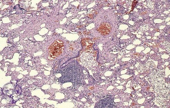
Just a perceptual teaser for your entertainment and edification:
April 16, 2025 at 2:13 AM
Finally, the time has come.

I'm just going through Rule #13 and really enjoying it.

Highly recommended for any radiologist (not to say mandatory).

@pmccoubrie.bsky.social
January 25, 2025 at 9:54 AM
Reposted by Marcos Mestas Nuñez
Lipoid pneumonia: Aspiration/inhalation of animal, vegetable, or mineral oils. Low CT attenuation dependent consolidation (-10 to -150 HU). Examine all lung lesions w/ mediastinal & bone windows - look for fat (80%).
Tx - avoid source of aspiration

#radiology
#radsky

@danielvargasmd.bsky.social
January 23, 2025 at 6:16 PM
Nice example of increased systemic arterial flow into the left pulmonay artery

Hypertrophied left bronchial artery in a patient with LUL lung cancer

See more here: pubs.rsna.org/doi/abs/10.1...

@howardm19.bsky.social you will like this one
January 21, 2025 at 1:30 PM
Reposted by Marcos Mestas Nuñez
Large pleural lipoma 🫁

- rare benign neoplasm
- asymptomatic
- can appear more opacified than fat on CXR
- two types: hour-glass (with extrathoracic extension) & intrathoracic

#radiology

@laurengroner.bsky.social
@thexraydoctor.org
@pulmpeeps.bsky.social
@chestdb.com
@mmestas.bsky.social
January 15, 2025 at 4:37 PM
Reposted by Marcos Mestas Nuñez
January 7, 2025 at 5:09 PM
Reposted by Marcos Mestas Nuñez
"But, that right focal consolidation and contralateral tiny nodules bother me though… *lepidic/muc adeno alert*"

Indeed!

Surgical Lung Biopsy: Diffuse adenocarcinoma with areas of lepidic growth.

A relevant citation below:
December 17, 2024 at 6:21 PM
Another morning arriving at Hospital del Mar 🤩
December 16, 2024 at 9:30 AM
Reposted by Marcos Mestas Nuñez
A clinical-imaging diagnosis of ILD was made in this patient.

How would you describe/report the (representative) CT images ?

I'll post a follow-up CT series later.

@mmestas.bsky.social
@tlhm-md.bsky.social
@danielvargas.bsky.social
@laurengroner.bsky.social

#radsky
#chestradsky
December 15, 2024 at 7:28 PM
Reposted by Marcos Mestas Nuñez
#Chestrad - Pulmonary alveolar microlithiasis 🫁

- idiopathic, F>M
- middle/lower lung predilection
- Look for 'crazy paving', calcified interlobular septa (virtually pathognomonic), small subpleural cysts/emphysema
- black pleura sign
- Tx: lung tx

#radiology
#radsky

@danielvargasmd.bsky.social
December 15, 2024 at 12:08 AM
Reposted by Marcos Mestas Nuñez
"Barely looking at the images purely to get on to the next case isn’t why we became doctors"
@pmccoubrie.bsky.social on @auntminnie.bsky.social

www.auntminnie.com/practice-man...
Moore’s Law for radiologists
In a new column, radiologist Paul McCoubrie weighs in on challenges facing radiology today.
www.auntminnie.com
December 15, 2024 at 3:58 AM
Reposted by Marcos Mestas Nuñez
Proud of my team and colleagues for our educational exhibits that earned Certificates of Merit at #RSNA24

✅ Gaps in the Heart: ASDs Revisited
✅ Radiologic Approach to Persistent Consolidations

@rsnasky.bsky.social @mmestas.bsky.social
December 8, 2024 at 8:56 PM
Reposted by Marcos Mestas Nuñez
Elastofibroma dorsi (bilateral): asymptomatic benign soft-tissue tumor (mean age: 65 - this pt was 62).

MC location - infrascapular regions, deep to serratus anterior & latissimus dorsi musculature. Mild-moderate FDG uptake on PET

#radiology
#radsky

@laurengroner.bsky.social
@mmestas.bsky.social
December 7, 2024 at 12:41 AM
Reposted by Marcos Mestas Nuñez
Non-Athersclerotic Vascular Disease by Drs Broncano, Ghoshhajra, @katehanneman.bsky.social , Robb

✅Remember diff patterns of involvement (TKA vs GCA)
✅Beading 📿 in FMD
✅Arch sidedness is determined by bronchus crossed
✅TAA in the young or unusual think of HTAD

#RSNA24 #cvrad #radsky #radiology
December 5, 2024 at 9:15 PM
Reposted by Marcos Mestas Nuñez
Immotile Cilia Syndrome (aka - Kartaganer): congenital, a/w situs inversus, impaired fertility

CXR: hyperinflation, airway thickening/bronchiectasis

CT: mid & lower lung bronchiectasis

#radiology #radsky

@laurengroner.bsky.social
@chestradiologist.bsky.social
@danielvargasmd.bsky.social
December 4, 2024 at 5:50 PM
Reposted by Marcos Mestas Nuñez
ICYMI 🔑 in CAD #yescct session by Drs Vliegenthart, Ghoshhajra, Agarwal, and Schoepf
✅ Qualify CAC in plain chest CT
✅ Use multiple views, especially in LM dx
✅ CADRADs score does not replace the impression, give context
✅ FFR-CT is helpful and seeing ⬆️ use
#RSNA24 #radsky #radiology
December 2, 2024 at 4:58 PM
Reposted by Marcos Mestas Nuñez
Another fantastically productive year with wonderful educational exhibits presented at #RSNA24

Amazing team of colleagues and trainees!

@katehanneman.bsky.social @mmestas.bsky.social @rsnasky.bsky.social
December 1, 2024 at 11:36 PM
#RSNA2024 starts today!

If you are there, check out our 3 exhibits on:
- Smoking Related Pulmonary Parenchymal Disease;
- Persistent Pulmonary Consolidations;
- Chest Wall Tumors

Hope you like them!

#radiology #Radsky
December 1, 2024 at 7:08 PM
Reposted by Marcos Mestas Nuñez