Francis Deng, MD
banner
francisdeng.medsky.social
Francis Deng, MD
@francisdeng.medsky.social
Neuro/head & neck radiologist | Asst Prof at Johns Hopkins | educator, editor, podcaster (AJR Podcast Series on Diagnostic Excellence and Error) | learn and teach something every day #MedEd #MedSky #RadSky #NeuroRad
https://about.me/francis_deng
Routine sinus CT in patients with fever and neutropenia has low clinical impact.

In this @theajnr.bsky.social video podcast, Rohini Nadgir explains: youtu.be/hYTjdb-lZxI?...
November 19, 2025 at 9:06 PM
Bad news: CTA head and CTA neck will be bundled into one CPT code starting in 2026, which portends a reimbursement cut (it was ~25% when CT abdomen+pelvis were bundled in 2011).

Good news: CT perfusion will have its own category I CPT code separate from CTA head, which may improve reimbursement.
May 7, 2025 at 2:28 PM
Head and neck radiology case review at 4pm EST today

RadDiscord members can register here us06web.zoom.us/meeting/regi...

Brand new content, 33 MCQs, 30s each, competition style.

My prior reviews here:
youtu.be/9RJr7h9dJVI
youtu.be/bepptfOXV2U
May 3, 2025 at 6:38 PM
Radiology in #ERAS2026 is changing to separate signals for integrated IR/DR (8 signals) and DR programs (6 gold and 9 silver signals).

I’d advise applicants looking to maximize their chances of matching to apply to both.

youtu.be/plryJQb6-qY?...
April 30, 2025 at 11:59 PM
Medical specialties differed in the degree to which residencies favored applicants from certain racial, ethnic, or nationality groups in the Match. @jennyxchen.bsky.social @jgmejournal.bsky.social meridian.allenpress.com/jgme/article...
April 22, 2025 at 3:17 AM
Med students applying to residency: check out this site for program rankings (from Doximity) and Step 2 averages (from Residency Explorer) in one place residency.admit.org/program-stat...
April 13, 2025 at 1:25 AM
At #AAR25 keynote, Desiree Morgan advises us in times of change to keep in view your ‘horizon point’ - who/what you want to be in the future, eg, “an influential radiologist” and what that means
March 12, 2025 at 5:28 PM
"Leaders and educators throughout medicine therefore have a
Herculean task: to optimize physician wellness while maintaining clinical excellence."

John Benson in AJNR www.ajnr.org/content/earl...
February 1, 2025 at 1:12 PM
Young woman with headaches. What is the radiological diagnosis?

This one has path proof (🤔)
Featured as @radiopaedia.org Case of the Day recently

doi.org/10.53347/rID...
January 5, 2025 at 4:30 AM
Half of cancer patients in this study experienced a care delay related to prior authorization for imaging.

Doi.org/10.1001/jamanetworkopen.2023.38182
December 29, 2024 at 5:23 PM
As the proportion of US medical school graduates is increasingly female, traditionally male-dominated specialties have also seen increases in female representation. But radiology is lagging others. Why?

https://buff.ly/3DBPagf Hunt et al. in JACR
December 29, 2024 at 2:20 PM
2024 Images in Radiology - editors' choices

1) disseminated cysticercosis (by Ilyas, Mahajan)
2) uremic leontiasis ossea (Lakhani, Deng)
3) diffuse cerebral proliferative angiopathy (Lakhani, Boo)

doi.org/10.1148/radi...
December 29, 2024 at 12:54 PM
Dilated internal vertebral venous plexus
(due to low CSF pressure from overshunting)
December 28, 2024 at 10:30 PM
Relevant quantitative/semi-quantitative descriptors for burst fractures:
-vertebral body height loss: here 70% ("severe": >40% per Genant system [see figure])
-spinal canal stenosis: here 50% ("moderate": 1/3 to 2/3 per NASS/ASSR/ASNR)
December 28, 2024 at 4:07 AM
What are the important descriptors of this spinal fracture? "Compression fracture" is not enough to convey severity/risk.

-both endplates involved
-posterior cortex distinctly involved, w/ retropulsion

Classification:
AO Spine: "complete burst" (A4)
AO Spine-DGOU Osteoporotic Fracture: OF4
#Radsky
December 28, 2024 at 4:07 AM
Patients can now read their reports through online portals. Perhaps there will be a greater role for radiologists in the future to write patient-friendly summaries and/or communicate results directly to the patient.
December 24, 2024 at 5:54 PM
This incident highlights that the process of diagnosis does not end with a radiologist signing off a report. That interpretation has to be translated, typically by another clinician, to the patient. The definition of diagnostic error includes failure to communicate a diagnosis to the patient.
December 24, 2024 at 5:54 PM
The autopsy indicated the cause of death was complications of the mediastinal mass, which was T-cell lymphoblastic lymphoma.

Had the result of mediastinal adenopathy been properly communicated, worked up, and managed in the hospital setting, plaintiffs alleged, the patient would not have died.
December 24, 2024 at 5:54 PM
Failure to effectively communicate

Teen presented to ED with chest pain and shortness of breath. A CXR was reported below but the pt/family were led to believe it was normal and discharged home. He died 3 days later.

Hospital accepted responsibility for misdiagnosis and settled for $16 million.
December 24, 2024 at 5:54 PM
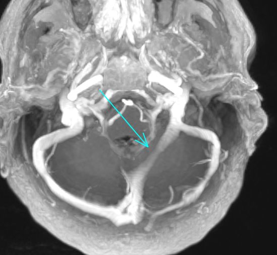
Do you know the name of the normal variant?

Answer: doi.org/10.1007/s00276-011-0831-9 #Radsky #neurorad
December 20, 2024 at 7:14 PM
50yo M presents with 6 days of declining visual acuity and is found to have bilateral optic disc edema. What is the likely diagnosis based on this image?

My case of the day on @radiopaedia.org
Answer: doi.org/10.53347/rID...
December 20, 2024 at 12:04 PM
"Vision-capable large language models cannot effectively use images to increase performance on radiology board-style examination questions." doi.org/10.1016/j.ac...
December 15, 2024 at 2:07 AM
Radiology residents and fellows can apply to join any of the RSNA journals’ trainee editorial board each year with apps open in April. Mark it on your calendar if you are interested in publishing and editorial work

#RSNA24 www.rsna.org/education/tr...
December 4, 2024 at 3:03 PM
One feature of a high reliability organization is a preoccupation with failure.

Jay Pahade at #RSNA24
December 4, 2024 at 2:54 PM
How to conduct a root cause analysis: Define what happened and keep asking “why?” — 5 times.

Nadja Kadom at #RSNA24
December 4, 2024 at 2:50 PM