Incoming PGY1 @UCSFPath
All views are my own
#CytoPath #PediPath #BSTPath #PathSky #Pathology
What is your interpretation?
A) NILM
B) HSIL
C) AIS
#CytoPath #Pathology
#PathSky #PathTwitter
What is your interpretation?
A) NILM
B) HSIL
C) AIS
#CytoPath #Pathology
#PathSky #PathTwitter
Interpretation:
A) Non-Diagnostic
B) Benign
#CytoPath #PathTwitter #Pathology #PathSky
Interpretation:
A) Non-Diagnostic
B) Benign
#CytoPath #PathTwitter #Pathology #PathSky
How would you interpret these glandular cells?
A) Metaplastic
B) Neoplastic
#CytoPath #PathSky #PathTwitter #Pathology#PapSmear
How would you interpret these glandular cells?
A) Metaplastic
B) Neoplastic
#CytoPath #PathSky #PathTwitter #Pathology#PapSmear
Her pap smear is shown. What is your interpretation?
A) Negative for malignancy
B) High grade
C) Squamous cell carcinoma
#CytoPath #Pathology #PathSky
Her pap smear is shown. What is your interpretation?
A) Negative for malignancy
B) High grade
C) Squamous cell carcinoma
#CytoPath #Pathology #PathSky
A) architectural
B) nuclear
#Thyroid #CytoPath #Pathology #PathTwitter #PathSky
A) architectural
B) nuclear
#Thyroid #CytoPath #Pathology #PathTwitter #PathSky
What is your interpretation of the FNA?🧐
A) Non-Diagnostic
B) Benign
C) Follicular neoplasm
D) Atypia of undetermined significance (AUS)
#CytoPath #PathTwitter #Pathology
What is your interpretation of the FNA?🧐
A) Non-Diagnostic
B) Benign
C) Follicular neoplasm
D) Atypia of undetermined significance (AUS)
#CytoPath #PathTwitter #Pathology
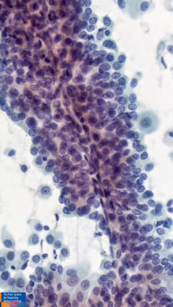
What is your interpretation? 🧐
A) High grade urothelial carcinoma (HGUC)
B) Atypical urothelial cells
C) Negative for HGUC
D) Non-urothelial malignancy
#CytoPath #PathTwitter #Pathology #GUPath
What is your interpretation? 🧐
A) High grade urothelial carcinoma (HGUC)
B) Atypical urothelial cells
C) Negative for HGUC
D) Non-urothelial malignancy
#CytoPath #PathTwitter #Pathology #GUPath
What is your interpretation?
A) Fibrocystic change
B) Intraductal papilloma
C) Apocrine adenosis
#BreastPath #PathSky #Pathology #PathTwitter
🔬 dpa-dapa.com/public/displ...
What is your interpretation?
A) Fibrocystic change
B) Intraductal papilloma
C) Apocrine adenosis
#BreastPath #PathSky #Pathology #PathTwitter
🔬 dpa-dapa.com/public/displ...
Where "we" includes you, me, and AI!
Submit your ideas for a $20K grant from the AMA
Deadline: June 13, 2025
www.cvent.com/c/abstracts/...
#MedEd #Pathology #PathTwitter #PathSky
Where "we" includes you, me, and AI!
Submit your ideas for a $20K grant from the AMA
Deadline: June 13, 2025
www.cvent.com/c/abstracts/...
#MedEd #Pathology #PathTwitter #PathSky
🧐🧐
A) Squamous cell carcinoma
B) Adenocarcinoma
C) Both
D) Neither
#ENTPath #HeadNeckPath #PathSky
rosai.secondslide.com/view/sem1142...
🧐🧐
A) Squamous cell carcinoma
B) Adenocarcinoma
C) Both
D) Neither
#ENTPath #HeadNeckPath #PathSky
rosai.secondslide.com/view/sem1142...
🤔
A) hyperplasia
B) dysplasia
C) carcinoma
#OralPath #HeadNeckPath #DermPath #PathSky #pathology
🔬 tumourclassification.iarc.who.int/Viewer/Index...
🤔
A) hyperplasia
B) dysplasia
C) carcinoma
#OralPath #HeadNeckPath #DermPath #PathSky #pathology
🔬 tumourclassification.iarc.who.int/Viewer/Index...
What do you think?🧐
A) Benign
B) Malignant
Could it be #TooFarToDiagnose??
#OralPath #PathSky #pathology
🔬 tumourclassification.iarc.who.int/Viewer/Index...
What do you think?🧐
A) Benign
B) Malignant
Could it be #TooFarToDiagnose??
#OralPath #PathSky #pathology
🔬 tumourclassification.iarc.who.int/Viewer/Index...
A) Myofibroblastoma
B) Myoid hamartoma
C) Fibrous mastopathy
D) Fibromatosis
#BreastPath #Pathology #PathTwiter #PathSky
🔬 dpa-dapa.com/public/displ...
A) Myofibroblastoma
B) Myoid hamartoma
C) Fibrous mastopathy
D) Fibromatosis
#BreastPath #Pathology #PathTwiter #PathSky
🔬 dpa-dapa.com/public/displ...
Pigmented skin lesion.
Is it #TooFarToDiagnose?
A) Benign nevus
B) Dysplastic nevus
#DermPath #Pathology #Dermatology
Pigmented skin lesion.
Is it #TooFarToDiagnose?
A) Benign nevus
B) Dysplastic nevus
#DermPath #Pathology #Dermatology
What do these cells represent?
A) Acinar cell carcinoma
B) Neuroendocrine tumor
C) Pancreatoblastoma
#PathSky #Pathology #GIPath #CytoPath
What do these cells represent?
A) Acinar cell carcinoma
B) Neuroendocrine tumor
C) Pancreatoblastoma
#PathSky #Pathology #GIPath #CytoPath
A) Melanoma in situ
B) Dysplastic nevus
#DermPath #Pathology #Dermatology
🔬 www.virtualpathology.leeds.ac.uk/slides/libra...
A) Melanoma in situ
B) Dysplastic nevus
#DermPath #Pathology #Dermatology
🔬 www.virtualpathology.leeds.ac.uk/slides/libra...
Is it #TooFarToDiagnosis?
A) Tubular carcinoma
B) Microglandular adenosis
C) Sclerosing adenosis
D) Radial scar
#PathSky #BreastPath #PathTwitter #Pathology
🔬 dpa-dapa.com/public/displ...
Is it #TooFarToDiagnosis?
A) Tubular carcinoma
B) Microglandular adenosis
C) Sclerosing adenosis
D) Radial scar
#PathSky #BreastPath #PathTwitter #Pathology
🔬 dpa-dapa.com/public/displ...
What do you think these cells represent?
A) Acinar cell carcinoma
B) Neuroendocrine tumor
C) Pancreatoblastoma
D) Solid pseudopapillary neoplasm
#PathSky #Pathology #GIPath #CytoPath
🔬 learn.mghpathology.org/index.php/WS...
What do you think these cells represent?
A) Acinar cell carcinoma
B) Neuroendocrine tumor
C) Pancreatoblastoma
D) Solid pseudopapillary neoplasm
#PathSky #Pathology #GIPath #CytoPath
🔬 learn.mghpathology.org/index.php/WS...
How would you interpret this core needle biopsy?
A) Flat epithelial atypia
B) Atypical ductal hyperplasia
C) Columnar cell change
🔬 pathpresenter.net/public/displ...
#BreastPath #PathSky #PathTwitter #Pathology
How would you interpret this core needle biopsy?
A) Flat epithelial atypia
B) Atypical ductal hyperplasia
C) Columnar cell change
🔬 pathpresenter.net/public/displ...
#BreastPath #PathSky #PathTwitter #Pathology
A) High grade squamous lesion (HSIL)
B) Atypical glandular cells (AGC)
C) Benign endometrial cells
D) Tubal metaplasia
#CytoPath #Pathology #PathTwitter #PathSky
A) High grade squamous lesion (HSIL)
B) Atypical glandular cells (AGC)
C) Benign endometrial cells
D) Tubal metaplasia
#CytoPath #Pathology #PathTwitter #PathSky
What would you call these cells?
🤔
A) High grade squamous lesion (HSIL)
B) Atypical glandular cells (AGC)
C) Benign endometrial cells
D) Tubal metaplasia
#CytoPath #Pathology
What would you call these cells?
🤔
A) High grade squamous lesion (HSIL)
B) Atypical glandular cells (AGC)
C) Benign endometrial cells
D) Tubal metaplasia
#CytoPath #Pathology
🧐🧐🧐
What is your interpretation of these spindle cells amid an inflamed stroma?
A) High grade urothelial carcinoma (HGUC)
B) Low-grade urothelial neoplasm (LGUN)
C) Negative for HGUC
D) Non-urothelial malignancy
#CytoPath #GUPath #Pathology #PathSky
🧐🧐🧐
What is your interpretation of these spindle cells amid an inflamed stroma?
A) High grade urothelial carcinoma (HGUC)
B) Low-grade urothelial neoplasm (LGUN)
C) Negative for HGUC
D) Non-urothelial malignancy
#CytoPath #GUPath #Pathology #PathSky
What do these cells represent?🧐🧐
A) Acinar cell carcinoma
B) Neuroendocrine tumor
C) Pancreatoblastoma
D) Solid pseudopapillary neoplasm
#PathSky #Pathology #GIPath #CytoPath
What do these cells represent?🧐🧐
A) Acinar cell carcinoma
B) Neuroendocrine tumor
C) Pancreatoblastoma
D) Solid pseudopapillary neoplasm
#PathSky #Pathology #GIPath #CytoPath
Or bacteria in the area 🦠?!
What do you see on this a Grocott methenamine silver (GMS) stain?
#Pathology #PathTwitter
Or bacteria in the area 🦠?!
What do you see on this a Grocott methenamine silver (GMS) stain?
#Pathology #PathTwitter